30万件突破!美容整形・美容外科の症例写真を探す
掲載枚数346417件公開中!(随時更新中)
診療科目別 症例写真
ドクターが選ぶ BEST SHOT AWARD
今月のベスト症例写真
ベストショットはこちら 鼻整形の
ベストショットはこちら シミ・しわ・たるみの
ベストショットはこちら フェイスラインの
ベストショットはこちら 豊胸・バストの修正の
ベストショットはこちら 脂肪吸引の
ベストショットはこちら
メディカルサイズダウン
ベスト症例写真
-
クールスカルプティング部門
施術名:クールスカルプティング
施術部位:二の腕 4エリア
施術回数:1回
年代:50代
-
トゥルースカルプiD部門
施術名:トゥルースカルプiD
施術部位:お腹、腰 8エリア
施術回数:1回
年代:30代
コメント
もともと皮下脂肪がそこまで多くないお客様でしたが、施術後はさらにお腹が薄くなってくびれも目立つようになっているのが分かりますね。
トゥルースカルプiDは加熱して脂肪細胞を破壊する施術ですが、痛みの少なさと施術時間の短さ、皮膚の引き締め作用などが特徴のマシンです。クールスカルプティングの痛みや施術時間の長さが気になる方はトゥルースカルプiDでの施術をおすすめします! -
脂肪吸引注射部門
施術名:小顔用脂肪吸引注射
施術部位:顔 2エリア
施術回数:1回
年代:20代
コメント
ジョールファットの小顔用脂肪吸引注射2エリアのお客様です。
ダウンタイムをなるべく少なく、頬のふっくらした感じを減らしたい、脂肪吸引ほどはダウンタイムが取れないけれど、脂肪溶解注射より効果が早く現れる施術がよいとご希望され、小顔用脂肪吸引注射を選択されました。 ダウンタイムを最小限に、頬の印象が変わりました。 -
コンビネーション治療部門
施術名:クールスカルプティング、BNLS Ultimate
施術部位:顔(アゴ下)
クルスカ2エリア、BNLS Ultimateアゴ下10cc・フェイスライン10cc
施術回数:2回
年代:20代
コメント
脂肪吸引なしでも2回の治療でここまでの変化を出すことができます!
二重アゴが気になるけど脂肪吸引はダウンタイムが心配という方も一度ご相談ください。
クールスカルプティング単独でもある程度の効果は出すことができますが、脂肪溶解注射を併用することでより大きな変化を出すことができますので、なるべく早く少ない回数で変化を出したい方は併用がおすすめです!
SBC新規導入施術
症例写真一覧
豊胸・バストの修正 / Motivaエルゴノミックス(バッグ豊胸) 他 No.339162
【豊胸・バストの修正】【この道24年の名人の豊胸術】265ccのシリコンバッグで3カップアップを!感触も天然のバストと違和感なく仕上がります 1週間目でもこれぐらいのダウンタイム!【湘南美容外科にも在籍16年し、新宿本院医長・立川院院長などを歴任のベテランDrによる安心治療で…
豊胸・バストの修正 / コンデンスリッチ(脂肪注入豊胸) No.342258
【脂肪豊胸】【この道23年の名人の豊胸術】バストアップを脂肪豊胸でしました【湘南美容外科にも在籍15年し、新宿本院医長・立川院院長などを歴任のベテランDrによる安心治療で、あらゆるバストの悩みを一度に解決!】
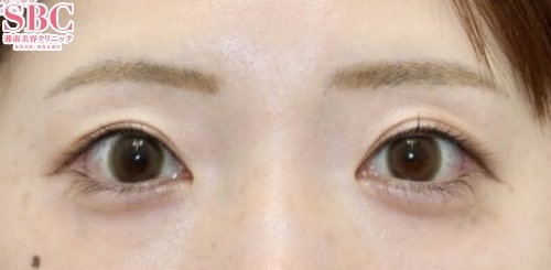
二重・二重整形 / クイックコスメティーク・ダブルNeo No.357031
【二重・二重整形】★2025上期 自然癒着セット症例数 九州沖縄エリアNo.1★目元に合わせたパッチリ二重に!【施術1ヶ月後】【クイックコスメティーク法ダブル】
若返り / コンデンスリッチフェイス脂肪注入全顔入れ放題 No.357129
【若返り】【脂肪注入】脂肪注入でお顔全体の若返りを実現!老け見え解消なら奥医師にお任せ!【施術3ヶ月後】【ナチュラル脂肪注射コンデンスリッチ全顔脂肪注入し放題】
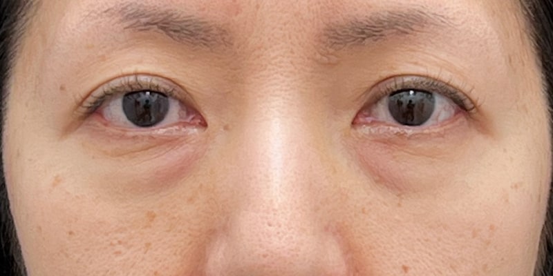
若返り / 裏ハムラ法 No.357401
【クマ取り】【ハムラ法】膨らんだ「眼窩脂肪」を凹みに移動してクマ解消!老け見え解消なら奥医師にお任せ!【施術1ヶ月後】【裏ハムラ法】
豊胸・バストの修正 / SBC幹細胞脂肪注入豊胸 他 No.357130
DR.中村の美バスト症例 ≪SBC幹細胞脂肪注入豊胸2回目 アキーセル併用 リジェネラ/術前→6ヶ月目≫
豊胸・バストの修正 / Aquicell(アキーセル)併用コンデンスリッチ(脂肪注入豊胸) No.357412
≪コンデンスリッチ豊胸2回目 アキーセル併用 コールマン式 /術前→6ヶ月目≫
豊胸・バストの修正 / Motivaエルゴノミックス2(バッグ豊胸) No.358117
DR.中村の美バスト症例 シリコンバッグ豊胸(Motivaエルゴノミックス2 右335cc/左335cc使用)/術前→10ヶ月目
若返り / ナチュラル脂肪注射コンデンスリッチ No.358702
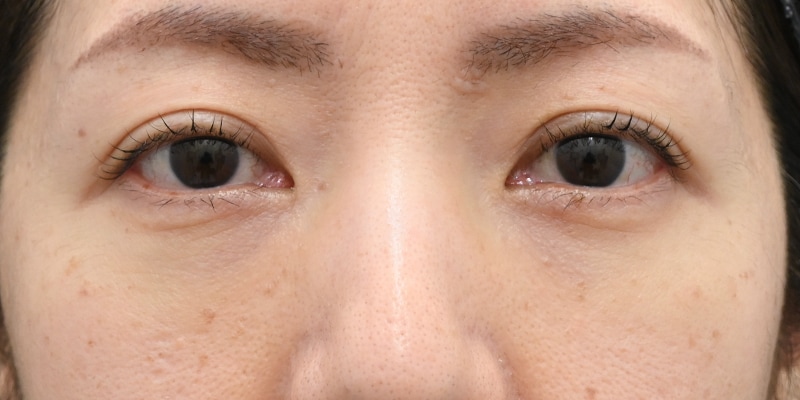
◆◆美容外科専門医 名倉が叶える -5歳!! 目の下のたるみ取り+脂肪注入(目の下~ゴルゴ線)◆◆目の下のぷっくり、クマでお悩みの方必見!!◆1ヶ月後のお写真
若返り / プリマリフト No.358701
◆◆美容外科専門医 名倉が叶える小顔術!!糸リフト6年連続全国1位 (2019年~2024年)!※SBC内◆◆プリマリフト+脂肪吸引(頬+顎下)◆6ヶ月後のお写真





































































コメント
二の腕のふりそでや付け根の部分の脂肪が気になると来院されたお客様です。
クールスカルプティングを用いて二の腕に4エリア施術を受けていただいた2ヶ月後のお写真です。
垂れ下がった印象だったふりそでがすっきりとしましたね!
脂肪のボリュームによっては満足いく結果が出るまでに複数回の施術が必要な場合がありますが、クールスカルプティングは脂肪吸引と比較し日常生活に制限なくお受けいただけるのがメリットです。