症例写真(多田彩子、二重・二重整形)
症例写真一覧
表示件数:187件 / 349963件
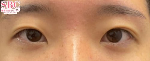
二重・二重整形 / クイックコスメティーク・ダブルNeo No.362384
■二重埋没法■Instagramの綺麗な症例写真で人気!!院長の実力!!安心の女医・多田彩子(一般外科出身)による埋没二重術!理想のお目元に仕上げます★
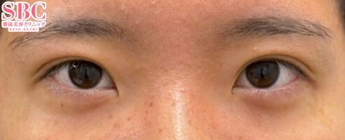
二重・二重整形 / クイックコスメティーク・ダブルNeo No.360280
■二重埋没法■Instagramの綺麗な症例写真で人気!!院長の実力!!安心の女医・多田彩子(一般外科出身)による埋没二重術!理想のお目元に仕上げます★
二重・二重整形 / クイックコスメティーク・ダブルNeo No.359823
■二重埋没法■Instagramの綺麗な症例写真で人気!!院長の実力!!安心の女医・多田彩子(一般外科出身)による埋没二重術!理想のお目元に仕上げます★
二重・二重整形 / クイックコスメティーク・ダブルNeo No.359808
■二重埋没法■Instagramの綺麗な症例写真で人気!!院長の実力!!安心の女医・多田彩子(一般外科出身)による埋没二重術!理想のお目元に仕上げます★
二重・二重整形 / クイックコスメティーク・ダブルNeo 他 No.359590
■二重埋没法■Instagramの綺麗な症例写真で人気!!院長の実力!!安心の女医・多田彩子(一般外科出身)による埋没二重術!理想のお目元に仕上げます★
二重・二重整形 / クイックコスメティーク・ダブルNeo No.359521
■二重埋没法■Instagramの綺麗な症例写真で人気!!院長の実力!!安心の女医・多田彩子(一般外科出身)による埋没二重術!理想のお目元に仕上げます★
二重・二重整形 / クイックコスメティーク・ダブルNeo 他 No.358543
■二重埋没法■Instagramの綺麗な症例写真で人気!!院長の実力!!安心の女医・多田彩子(一般外科出身)による埋没二重術!理想のお目元に仕上げます★■自然癒着法■
二重・二重整形 / 目頭切開プレミアム 他 No.356979
■二重埋没法■Instagramの綺麗な症例写真で人気!!院長の実力!!安心の女医・多田彩子(一般外科出身)による埋没二重術!理想のお目元に仕上げます★■目頭切開プレミアム■
二重・二重整形 / クイックコスメティーク・ダブルNeo No.356825
■二重埋没法■Instagramの綺麗な症例写真で人気!!院長の実力!!安心の女医・多田彩子(一般外科出身)による埋没二重術!理想のお目元に仕上げます★
二重・二重整形 / タルミ取り併用全切開法二重 他 No.356821
■全切開法二重術■Instagramの綺麗な症例写真で人気!!院長の実力!!安心の女医・多田彩子(一般外科出身)による埋没二重術!理想のお目元に仕上げます★
二重・二重整形 / クイックコスメティーク・ダブルNeo No.355072
■二重埋没法■Instagramの綺麗な症例写真で人気!!院長の実力!!安心の女医・多田彩子(一般外科出身)による埋没二重術!理想のお目元に仕上げます★【クイックコスメティーク法】
二重・二重整形 / クイックコスメティーク・ダブルNeo No.354669
■二重埋没法■Instagramの綺麗な症例写真で人気!!院長の実力!!安心の女医・多田彩子(一般外科出身)による埋没二重術!理想のお目元に仕上げます★【クイックコスメティーク法】
二重・二重整形 / クイックコスメティーク・ダブルNeo No.353964
■二重埋没法■Instagramの綺麗な症例写真で人気!!院長の実力!!安心の女医・多田彩子(一般外科出身)による埋没二重術!理想のお目元に仕上げます★【クイックコスメティーク法】
二重・二重整形 / クイックコスメティーク・ダブルNeo No.353260
■二重埋没法■Instagramの綺麗な症例写真で人気!!院長の実力!!安心の女医・多田彩子(一般外科出身)による埋没二重術!理想のお目元に仕上げます★【クイックコスメティーク法】
二重・二重整形 / 下眼瞼下制法(たれ目術) 他 No.353047
■目尻切開+下眼瞼下制法■キツい印象の目元を優しく可愛らしい目元へ! エリア統括ドクター兼池袋西口院院長 多田医師によるナチュラルたれ目術★
二重・二重整形 / クイックコスメティーク・ダブルNeo No.352916
■二重埋没法■Instagramの綺麗な症例写真で人気!!院長の実力!!安心の女医・多田彩子(一般外科出身)による埋没二重術!理想のお目元に仕上げます★【クイックコスメティーク法】
二重・二重整形 / クイックコスメティーク・ダブルNeo No.352692
■二重埋没法■Instagramの綺麗な症例写真で人気!!院長の実力!!安心の女医・多田彩子(一般外科出身)による埋没二重術!理想のお目元に仕上げます★【クイックコスメティーク法】
二重・二重整形 / クイックコスメティーク・シングルNeo No.352584
■二重埋没法■Instagramの綺麗な症例写真で人気!!院長の実力!!安心の女医・多田彩子(一般外科出身)による埋没二重術!理想のお目元に仕上げます★【クイックコスメティーク法】
二重・二重整形 / 眉下リフト(眉下切開) No.352453
■眉下リフト■たるみを改善しスッキリ若返りが叶う! エリア統括ドクター兼池袋西口院院長 多田医師による若返り眉下リフト★
二重・二重整形 / クイックコスメティーク・ダブルNeo No.352410
■二重埋没法■Instagramの綺麗な症例写真で人気!!院長の実力!!安心の女医・多田彩子(一般外科出身)による埋没二重術!理想のお目元に仕上げます★【クイックコスメティーク法】










































