症例写真(山下昭悟、若返り)
症例写真一覧
表示件数:71件 / 352656件
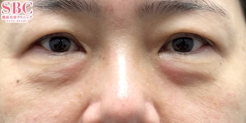
若返り / 裏ハムラ法 No.363354
【劇的変化】60代女性|たるみ・しわを同時に改善!確かな技術で選ばれるDr.山下【裏ハムラ法SBC内執刀数 関東No.1(2025年下期)】
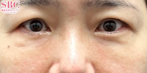
若返り / 裏ハムラ法 No.357937
【裏ハムラ法】【30代】自然に若見えするクマ取りが人気!神奈川県で選ばれる山下医師★SBC公式お薦めドクターに選出されました
若返り / 裏ハムラ法 他 No.347827
【裏ハムラ法/PRP】【40代】神奈川県でクマ取り治療なら山下医師へ★SBC公式お薦めドクター選出!
若返り / 裏ハムラ法 他 No.347870
【裏ハムラ法/PRP】【40代】神奈川県でクマ取り治療なら山下医師へ★SBC公式お薦めドクター選出!
若返り / 切開ハムラ(表ハムラ)法 他 No.319318
【眉下切開 / 切開ハムラ法】皮膚のたるみが大きい方も切開施術で改善!多くの術式を網羅した山下医師にご相談ください!【藤沢院】
若返り / 裏ハムラ法 No.317404
【クマ取り/裏ハムラ法】▲▽クマ取りバスター 山下院長のクマ治療△▼ 脂肪をどんなクマもお任せください!お得に施術が受けられるモニター様も大募集中です★
若返り / 裏ハムラ法 他 No.364855
【30代症例】自然に目の下のクマ・色味を改善☆神奈川・湘南エリアでクマ取りするならDr.山下
若返り / 裏ハムラ法 他 No.364854
【40代症例】気になる目の下の影、すっきり解消☆自然な目元若返りならDr.山下☆SBC公式お薦めドクターに選出
若返り / 裏ハムラ法 他 No.364603
【40代メンズの症例】疲れて見えるを自然に改善、第一印象アップ☆【裏ハムラ法SBC内執刀数 関東No.1(2025年下期)】
若返り / 裏ハムラ法 No.364562
「疲れて見える」を解消|脂肪移動で叶える自然な目元若返りならDr.山下☆SBC公式お薦めドクターに選出されました
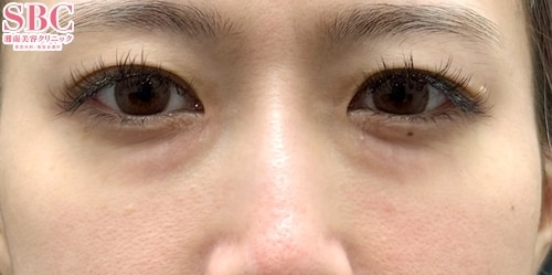
若返り / 裏ハムラ法 No.364555
【20代のクマ取り】コンシーラー卒業♪自然に目の下のクマを改善【裏ハムラ法SBC内執刀数 関東No.1(2025年下期)】
若返り / 裏ハムラ法 他 No.363355
【20代のクマ取り】目の下の気になるクマ・色味を自然に改善♪【裏ハムラ法SBC内執刀数 関東No.1(2025年下期)】
若返り / 裏ハムラ法 No.363352
クマ取りで若返り!50代女性|脂肪移動で叶える自然なクマ取り【裏ハムラ法SBC内執刀数 関東No.1(2025年下期)】
若返り / 裏ハムラ法 No.362632
【クマ取り】-1ヶ月でこの変化- 自然で違和感のない若返り治療ならDr.山下【裏ハムラ法SBC内執刀数 関東No.1(2025年下期)】
若返り / 裏ハムラ法 No.362320
「疲れて見える」を解消|脂肪移動で叶える自然な目元若返りならDr.山下☆SBC公式お薦めドクターに選出されました
若返り / 切開ハムラ(表ハムラ)法 他 No.362309
【切開ハムラ】クマのタイプによって適切な施術をご提案|目元の若返り治療ならDr.山下☆SBC公式お薦めドクターに選出されました
若返り / 裏ハムラ法 No.362308
【20代のクマ取り】目元がパッと明るい印象に|目元の若返り治療ならDr.山下☆SBC公式お薦めドクターに選出されました
若返り / 裏ハムラ法 No.361047
違和感のない仕上がりに感動|【神奈川】目元の若返り治療ならDr.山下☆SBC公式お薦めドクターに選出されました
若返り / 裏ハムラ法 No.361042
「疲れて見える」を解消|脂肪移動で叶える自然な目元若返りならDr.山下☆SBC公式お薦めドクターに選出されました
若返り / 裏ハムラ法 No.357935
【裏ハムラ法】【40代】幅広い年代の症例実績あり!40代の深いクマも自然にボリューム改善★SBC公式お薦めドクターに選出されました










































