症例写真(山元亮士(歯科))
症例写真一覧
表示件数:82件 / 350355件
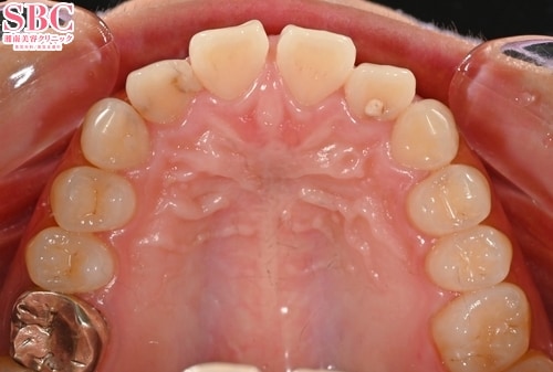
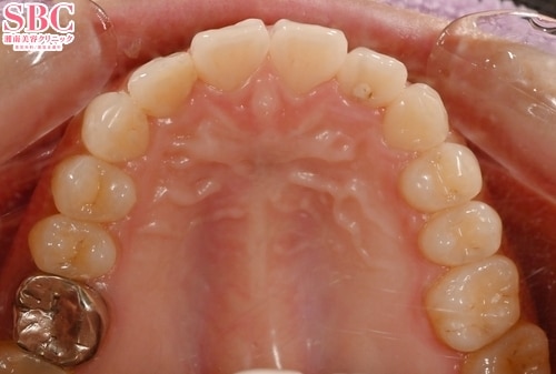
美容歯科 / マウスピース矯正 No.357732
【マウスピース矯正】インビザラインフルで歯のお悩みまとめて解決!
美容歯科 / ダイヤモンドクラウン(ジルコニア) No.359851
【セラミック治療】歯並び・歯の変色・銀歯もまとめてセラミックで解決
美容歯科 / マウスピース矯正 No.361734
【マウスピース矯正】内側に下げながら噛み合わせも一緒に改善!
美容歯科 / マウスピース矯正 No.361509
【マウスピース矯正】インビザラインGoですきっ歯は半年以内に治る
美容歯科 / マウスピース矯正 No.361505
【マウスピース矯正】インビザラインモデレートで気になる突出感(出っ歯)の悩みを解決!
美容歯科 / マウスピース矯正 No.361237
【マウスピース矯正】インビザラインGoで気になる前歯の悩みを解決!
美容歯科 / マウスピース矯正 No.360248
【マウスピース矯正】インビザラインGoで出っ歯とすきっ歯同時に治す
美容歯科 / ダイヤモンドクラウン(ジルコニア) No.359806
【セラミック治療】歯並び・歯の変色・銀歯もまとめてセラミックで解決
美容歯科 / マウスピース矯正 No.359005
【マウスピース矯正】インビザラインフルで歯のお悩みまとめて解決!
美容歯科 / マウスピース矯正 No.358615
【マウスピース矯正】インビザラインフルで歯のお悩みまとめて解決!
美容歯科 / ダイヤモンドクラウン(ジルコニア) No.356993
【セラミック治療】歯並びも噛み合わせも改善
美容歯科 / ダイヤモンドクラウン(ジルコニア) No.356585
【セラミック治療】歯の歪みと変色も綺麗に治る
美容歯科 / マウスピース矯正 No.356177
【マウスピース矯正】すきっ歯のお悩みも解決!
美容歯科 / マウスピース矯正 No.356089
【マウスピース矯正】すきっ歯のお悩みも解決!
美容歯科 / ダイヤモンドクラウン(ジルコニア) No.355521
【ダイヤモンドクラウン】昔の被せ物も白い歯に!
美容歯科 / プレミアムダイヤモンドセラミック No.355134
【プレミアムダイヤモンドセラミック】歯の変色をセラミックで治します
美容歯科 / マウスピース矯正 No.354760
前歯のねじれも綺麗に改善
美容歯科 / ダイヤモンドオーダーセラミック No.353579
ダイヤモンドオーダーセラミック
美容歯科 / プレミアムダイヤモンドセラミック No.353282
プレミアムダイヤモンドセラミック
美容歯科 / プレミアムダイヤモンドセラミック No.353281
プレミアムダイヤモンドセラミック










































