症例写真(完山依里子)
症例写真一覧
表示件数:68件 / 351736件
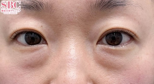
若返り / 目の下の切らないクマ・たるみ(ふくらみ)取り No.312885
若返りならベテラン女医にお任せください☆目の下のクマ取り
豊胸・バストの修正 / 乳頭縮小術 No.311641
乳首のお悩みお任せください☆大きく垂れた乳首を小さく!
豊胸・バストの修正 / 週末豊胸 -ピュアグラフト-(脂肪注入豊胸) No.308542
バストのお悩みお任せください☆脂肪注入でふわりとボリュームアップバスト!
豊胸・バストの修正 / 乳頭縮小術 No.361316
乳首のお悩みお任せください☆大きい乳頭、小さくできます!★乳頭縮小術 全国No.2 2025年下半期
豊胸・バストの修正 / 乳頭縮小術 他 No.361314
乳首のお悩みお任せください☆大きい乳頭、小さくできます!★乳頭縮小術 全国No.2 2025年下半期
若返り / 裏ハムラ法 No.361313
【クマ取り裏ハムラ】★裏ハムラ全国女医No.1☆2025年上半期SBC内症例数★
若返り / 目の下の切らないクマ・たるみ(ふくらみ)取り 他 No.361309
【切らないクマ取り+ナチュラル脂肪注射コンデンスナノリッチ】★切らないクマ取り全国女医No.1☆2024年下半期SBC内症例数★
若返り / 切開ハムラ(表ハムラ)法 他 No.360904
【クマ取り】【大宮西口】切開ハムラ クマとりならベテラン女医にお任せ★スピーディに美しく!
若返り / 裏ハムラ法 No.360903
【クマ取り裏ハムラ】★裏ハムラ全国女医No.1☆2025年上半期SBC内症例数★
若返り / 裏ハムラ法 No.360093
【クマ取り裏ハムラ】★裏ハムラ全国女医No.1☆2025年上半期SBC内症例数★
若返り / 目の下の切らないクマ・たるみ(ふくらみ)取り 他 No.358540
【切らないクマ取り+ナチュラル脂肪注射コンデンスリッチ】★切らないクマ取り全国女医No.1☆2024年下半期SBC内症例数★
若返り / 目の下の切らないクマ・たるみ(ふくらみ)取り 他 No.357739
【切らないクマ取り+ナチュラル脂肪注射コンデンスリッチ】★切らないクマ取り全国女医No.1☆2024年下半期SBC内症例数★
若返り / 裏ハムラ法 No.356969
【クマ取り裏ハムラ+ナチュラル脂肪注射ナノリッチ】★裏ハムラ全国女医No.1☆2025年上半期SBC内症例数★
若返り / 目の下の切らないクマ・たるみ(ふくらみ)取り 他 No.356394
【切らないクマ取り+ナチュラル脂肪注射コンデンスリッチ】★切らないクマ取り全国女医No.1☆2024年下半期SBC内症例数★
若返り / 裏ハムラ法 他 No.356391
【クマ取り裏ハムラ+ナチュラル脂肪注射ナノリッチ】★裏ハムラ全国女医No.1☆2025年上半期SBC内症例数★
若返り / 裏ハムラ法 他 No.356156
★2025年 裏ハムラ 全国女医No.1 目の下膨らみ解消!自然に若返り!【施術1ヶ月後】裏ハムラ法+脂肪注入
若返り / 裏ハムラ法 他 No.355954
★2025年 裏ハムラ 全国女医No.1 目の下膨らみ解消!自然に若返り!【施術1ヶ月後】裏ハムラ法+脂肪注入
若返り / コンデンスリッチフェイス法(額・こめかみ脂肪注入) No.355145
額こめかみの脂肪注入【ナチュラル脂肪注射コンデンスリッチ】全国女医No.1☆2024年下半期SBC内症例数
若返り / 裏ハムラ法 No.354692
★2025年 裏ハムラ 全国女医No.1 目の下膨らみ解消!自然に若返り!【施術3ヶ月後】裏ハムラ法
若返り / 目の下の切らないクマ・たるみ(ふくらみ)取り 他 No.353785
【切らないクマ取り】若返りもベテラン女医にお任せ★スピーディに美しく










































