症例写真(庄聡史)
症例写真一覧
表示件数:138件 / 348377件
二重・二重整形 / クイックコスメティーク・ダブルNeo 他 No.320697
“モテ幅 二重術”「クイックコスメティーク・ダブルNeo+自然癒着セット」
若返り / 裏ハムラ法 他 No.358823
【裏ハムラ】【脂肪注入】表面に傷跡が残る心配無し!目の下のクマ改善なら大分院の庄院長へ!
脂肪吸引 / 根こそぎVASER脂肪吸引 No.358751
【根こそぎとれるVASER脂肪吸引(二の腕・肩・肩甲骨横)】脂肪吸引もDr.庄にお任せください!
若返り / コンデンスリッチフェイス法(額・こめかみ脂肪注入) No.358651
【ナチュラル脂肪注入コンデンスリッチ】額・こめかみに脂肪注入で若々しく可愛らしい丸みを!脂肪のことなら庄院長にお任せ!
脂肪吸引 / 根こそぎVASER脂肪吸引 No.358648
【VASER脂肪吸引症例数 九州沖縄エリアNo.1ドクター】【根こそぎとれるVASER脂肪吸引(臀部+太もも+膝)】脂肪のことならDr.SHOにお任せください!
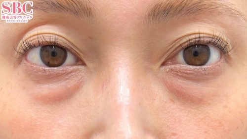
若返り / 眉下リフト(眉下切開) 他 No.358499
【眉下リフト/眉下切開】+【裏ハムラ】で目元の若返りセット!
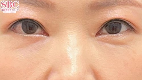
若返り / 切開ハムラ(表ハムラ)法 No.358498
【若返り】目の下のたるみ・クマ改善!庄院長の凄技で目元から若返り!
二重・二重整形 / クイックコスメティーク・ダブルNeo 他 No.358355
【モテ幅?二重術】&【目頭切開プレミアム】で理想の美しい目元に!
二重・二重整形 / クイックコスメティーク・ダブルNeo No.358273
二重整形するなら、Dr.SHOにお任せください!SBC最高峰のクイックコスメティークダブルNeoでお顔に似合う二重にしてみせます!
脂肪吸引 / 根こそぎVASER脂肪吸引 No.357664
【VASER脂肪吸引症例数 九州沖縄エリアNo.1ドクター】【麻酔科標榜医 庄聡史医師】安心・安全にお顔の脂肪吸引でスッキリフェイスライン
若返り / 裏ハムラ法 No.357662
【裏ハムラ】表面に傷跡が残る心配無し!目の下のクマ・色味改善なら大分院の庄院長へ!
若返り / 裏ハムラ法 他 No.357410
【裏ハムラ】【脂肪注入(ナノリッチ)】表面に傷跡が残る心配無し!目の下のクマ改善なら大分院の庄院長へ!
二重・二重整形 / 全切開法二重術 No.357406
【全切開二重術】圧倒的なデザインで半永久的な二重が作れる!切る二重術も庄院長にお任せ!
二重・二重整形 / クイックコスメティーク・ダブルNeo 他 No.357255
【モテ幅??二重術】&【目頭切開プレミアム】で理想の美しい目元に!
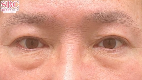
若返り / 眉下リフト(眉下切開) No.357253
【眉下リフト/眉下切開】目元の若返りするなら、目元整形のプロ大分院Dr.SHOにお任せください!
鼻整形 / 小鼻縮小(内側法+締め付け縫合) 他 No.357247
【鼻整形】美しい鼻になりたい方もDr.庄にお任せください!
二重・二重整形 / クイックコスメティーク・ダブルNeo 他 No.357039
【二重・二重整形】“モテ幅 二重術”「クイックコスメティーク・ダブルNeo+自然癒着セット」
若返り / 裏ハムラ法 他 No.357038
【裏ハムラ】【脂肪注入(ナノリッチ)】表面に傷跡が残る心配無し!目の下のクマ改善なら大分院の庄院長へ!
若返り / 裏ハムラ法 No.356620
【裏ハムラ】表面に傷跡が残る心配無し!目の下のクマ改善なら大分院の庄院長へ!
二重・二重整形 / クイックコスメティーク・ダブルNeo 他 No.356440
【二重・二重整形】“モテ幅 二重術”「クイックコスメティーク・ダブルNeo+自然癒着セット」










































