症例写真(加藤華子(歯科))
症例写真一覧
表示件数:23件 / 349973件
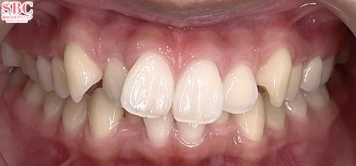
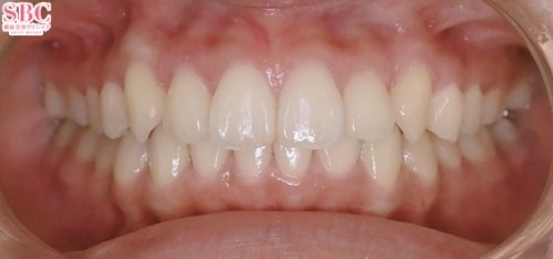
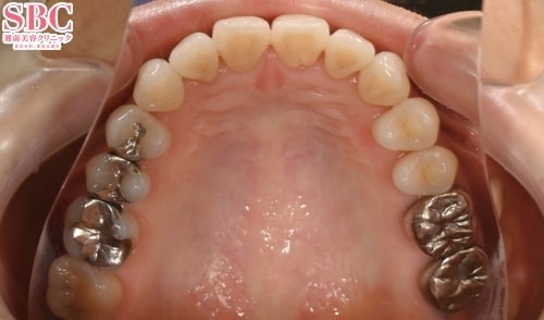
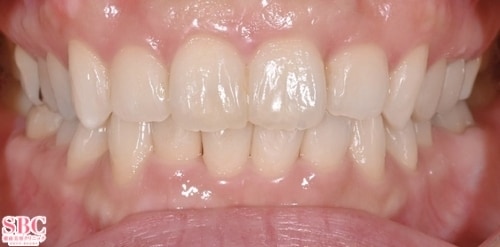
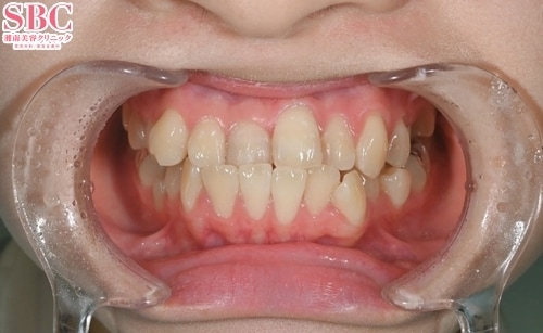
美容歯科 / マウスピース矯正 No.361861
出っ歯感が気になる!
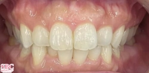
美容歯科 / マウスピース矯正 No.361823
歯のガタツキや隠れている歯をきれいに並べたい!
美容歯科 / マウスピース矯正 No.361819
歯のガタツキ改善☆
美容歯科 / マウスピース矯正 No.361700
歯のガタツキを綺麗な並びへ★
美容歯科 / マウスピース矯正 No.361516
前歯のかみ合わせと少しの段差を治したい!
美容歯科 / マウスピース矯正 No.361514
前歯の捻じれを治したい!
美容歯科 / プレミアムダイヤモンドセラミック No.359700
前歯の突出感と色味が気になる!
美容歯科 / マウスピース矯正 No.358840
少しの段差や、隙間を改善!
美容歯科 / マウスピース矯正 No.358601
上下の歯のガタツキ治したい!
美容歯科 / マウスピース矯正 No.358578
上下のガタツキやねじれが気になる!
美容歯科 / マウスピース矯正 No.358316
前歯の突出感をマウスピース矯正で改善!
美容歯科 / マウスピース矯正 No.357639
上下のガタツキをマウスピース矯正で改善★
美容歯科 / ダイヤモンドクラウン(ジルコニア) No.356866
前歯の出てる感じや色味を治したい!
美容歯科 / ダイヤモンドクラウン(ジルコニア) No.356504
笑った時の見た目を短期間で治したい!
美容歯科 / ダイヤモンドクラウン(ジルコニア) No.355419
歯が小さくて黄色いのが気になる・・・
美容歯科 / プレミアムダイヤモンドセラミック No.355417
保険で作った被せ物が気になる!
美容歯科 / マウスピース矯正 No.352515
隙間を閉じたい!
美容歯科 / セラミック No.350050
上の前歯が出てるのが気になる・・・でも矯正は時間かかるから・・・
美容歯科 / マウスピース矯正 No.349633
上下の前歯のガタツキが気になる!
美容歯科 / マウスピース矯正 No.348997
下の前歯の段差が気になる!










































