症例写真(梅澤麻以子)
症例写真一覧
表示件数:22件 / 346432件
二重・二重整形 / 線留めクロス二重術 No.358318
【埋没二重】目元が変わると人生変わるかも!?
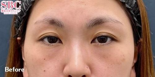
若返り / 目の下の切らないクマ・たるみ(ふくらみ)取り 他 No.358297
【クマ取り×脂肪注入】目元のお疲れ感どこへ!?一気に若返り!!
若返り / シークレットリフト 他 No.358293
引き上げ×コラーゲン生成でエイジングサインに多角的アプローチ
若返り / ヒアルロン酸ジュビダームビスタ バイクロスシリーズ No.354924
【うめヒアル】ヒアルロン酸で叶う即日リフトアップ&ナチュラルな若返り
若返り / ヒアルロン酸ジュビダームビスタ バイクロスシリーズ No.354923
【うめヒアル】ヒアルロン酸で叶う即日リフトアップ&ナチュラルな若返り
若返り / プロファイロ No.353206
【プロファイロ】首のシワ、ふっくら解決。
若返り / VOV(ボブ)リフト No.353012
【脂肪吸引×糸リフト】スリム&リフトで最短小顔
若返り / プロファイロ No.353010
【プロファイロ】自分の肌が好きになる。プロファイロで素肌力を底上げ。
若返り / ヒアルロン酸ジュビダームビスタ バイクロスシリーズ No.352935
【うめヒアル】ヒアルロン酸で叶える自然な若返り
若返り / プリマリフト No.352930
【脂肪吸引×糸リフト】もたつき解消&自然な小顔へ
若返り / VOV(ボブ)リフト No.350879
うめちゃん先生が提案する『たるみ補正×美の再構築』
二重・二重整形 / 線留めクロス二重術 No.350878
うめちゃん先生が手掛けるナチュ盛り二重術
若返り / 目の下の切らないクマ・たるみ(ふくらみ)取り No.349011
【クマ取り】疲れた印象、、もしかしてクマが原因かも!?
二重・二重整形 / 線留めクロス二重術 No.349010
【埋没二重】線留めクロス二重術で長年のお悩み解消しませんか?
若返り / VOV(ボブ)リフト 他 No.348148
【糸リフト+うるコラ】コラーゲン産生でハリアップ!リフトアップ!
二重・二重整形 / 線留めクロス二重術 No.347797
【埋没二重で垢抜けEYEに☆】フォーエバー二重術
若返り / 目の下の切らないクマ・たるみ(ふくらみ)取り 他 No.347526
【クマ取り&脂肪注入】クマをなくして、より魅力的なお目元へ!
美容皮膚科 / アクネライト(R)(ステラM22) 他 No.346351
【ニキビ治療】アクネライト+ベビースキンのゴールデンコンビ!
二重・二重整形 / 線留めクロス二重術 No.346156
【埋没二重】フォーエバー二重術
若返り / 目の下の切らないクマ・たるみ(ふくらみ)取り 他 No.346016
【クマ取り+脂肪注入】クマがないだけでここまで印象が変わる!若返りは梅澤Dr.にお任せ!










































