30万件突破!美容整形・美容外科の症例写真を探す
掲載枚数347148件公開中!(随時更新中)
診療科目別 症例写真
ドクターが選ぶ BEST SHOT AWARD
今月のベスト症例写真
ベストショットはこちら 鼻整形の
ベストショットはこちら シミ・しわ・たるみの
ベストショットはこちら フェイスラインの
ベストショットはこちら 豊胸・バストの修正の
ベストショットはこちら 脂肪吸引の
ベストショットはこちら
メディカルサイズダウン
ベスト症例写真
-
クールスカルプティング部門
施術名:クールスカルプティング
施術部位:二の腕 4エリア
施術回数:1回
年代:50代
-
トゥルースカルプiD部門
施術名:トゥルースカルプiD
施術部位:お腹、腰 8エリア
施術回数:1回
年代:30代
コメント
もともと皮下脂肪がそこまで多くないお客様でしたが、施術後はさらにお腹が薄くなってくびれも目立つようになっているのが分かりますね。
トゥルースカルプiDは加熱して脂肪細胞を破壊する施術ですが、痛みの少なさと施術時間の短さ、皮膚の引き締め作用などが特徴のマシンです。クールスカルプティングの痛みや施術時間の長さが気になる方はトゥルースカルプiDでの施術をおすすめします! -
脂肪吸引注射部門
施術名:小顔用脂肪吸引注射
施術部位:顔 2エリア
施術回数:1回
年代:20代
コメント
ジョールファットの小顔用脂肪吸引注射2エリアのお客様です。
ダウンタイムをなるべく少なく、頬のふっくらした感じを減らしたい、脂肪吸引ほどはダウンタイムが取れないけれど、脂肪溶解注射より効果が早く現れる施術がよいとご希望され、小顔用脂肪吸引注射を選択されました。 ダウンタイムを最小限に、頬の印象が変わりました。 -
コンビネーション治療部門
施術名:クールスカルプティング、BNLS Ultimate
施術部位:顔(アゴ下)
クルスカ2エリア、BNLS Ultimateアゴ下10cc・フェイスライン10cc
施術回数:2回
年代:20代
コメント
脂肪吸引なしでも2回の治療でここまでの変化を出すことができます!
二重アゴが気になるけど脂肪吸引はダウンタイムが心配という方も一度ご相談ください。
クールスカルプティング単独でもある程度の効果は出すことができますが、脂肪溶解注射を併用することでより大きな変化を出すことができますので、なるべく早く少ない回数で変化を出したい方は併用がおすすめです!
SBC新規導入施術
症例写真一覧
脂肪吸引 / 小顔用脂肪吸引注射 No.359469
【脂肪吸引/脂肪吸引注射】最小ダウンタイムで小顔になりたい方へ
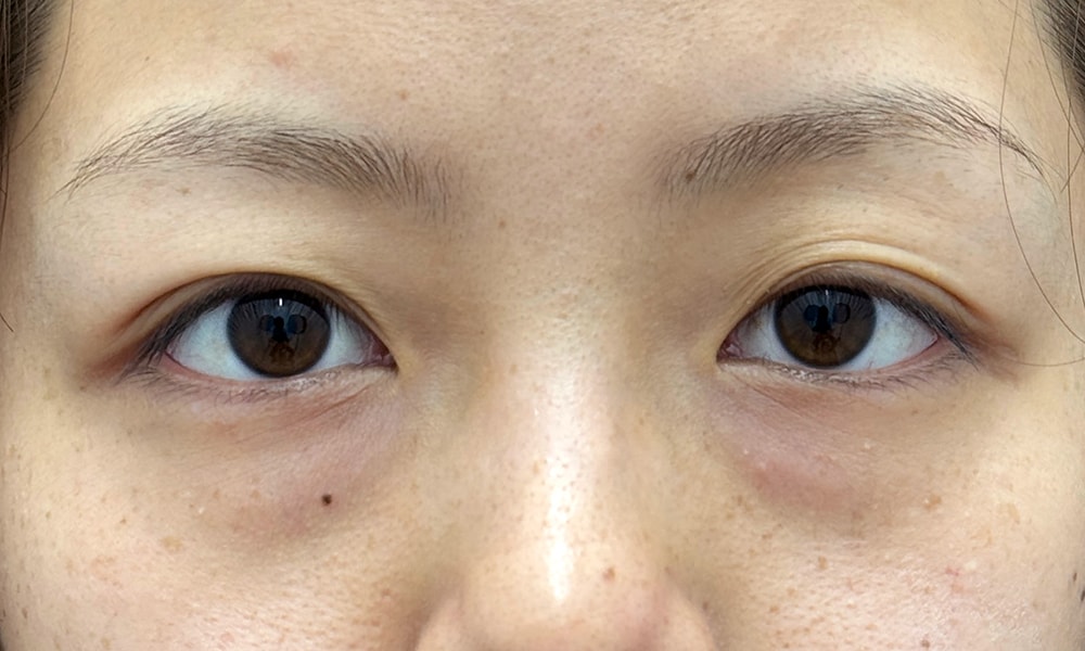
若返り / 目の下の切らないクマ・たるみ(ふくらみ)取り 他 No.356698
【若返り】【40代症例】☆症例数第2位!(2022年下半期/東京都のぞく関東)☆ 【目の下の切らないたるみ取り+ナノリッチ+コンデンスリッチフェイス】切る・切らない二つの視点からお客様にとって最適な治療を提案します!目の下のたるみ・クマをなくして-5歳に印象チェンジ!【施術後…
二重・二重整形 / クイックコスメティーク・ダブルNeo No.357031
【二重・二重整形】★2025上期 自然癒着セット症例数 九州沖縄エリアNo.1★目元に合わせたパッチリ二重に!【施術1ヶ月後】【クイックコスメティーク法ダブル】
若返り / コンデンスリッチフェイス脂肪注入全顔入れ放題 No.357129
【若返り】【脂肪注入】脂肪注入でお顔全体の若返りを実現!老け見え解消なら奥医師にお任せ!【施術3ヶ月後】【ナチュラル脂肪注射コンデンスリッチ全顔脂肪注入し放題】
若返り / 裏ハムラ法 No.357401
【クマ取り】【ハムラ法】膨らんだ「眼窩脂肪」を凹みに移動してクマ解消!老け見え解消なら奥医師にお任せ!【施術1ヶ月後】【裏ハムラ法】
豊胸・バストの修正 / Aquicell(アキーセル)併用コンデンスリッチ(脂肪注入豊胸) No.359467
【脂肪注入豊胸】胸の解剖を熟知した元胸部外科医による、もちふわ脂肪注入豊胸
若返り / 裏ハムラ法 他 No.359465
【クマ取り】膨らみの原因になっている脂肪を、切除せずに凹んでいる部分に再配置。クマ取りを毎日のように執刀しているベテラン医師にお任せください!
若返り / 切開ハムラ(表ハムラ)法 他 No.359464
【50代の症例】第一印象は目元で決まる!おうしょう先生のクマ取りで若々しい目元に!【くま取り】
二重・二重整形 / クイックコスメティーク・ダブルNeo No.358031
【埋没二重】【クイックコスメティーク・ダブルNeo】SNSからのご指名多数!!Dr.松浦による美曲線二重ライン。
二重・二重整形 / 線留めクロス二重術 No.359351
【埋没二重】【線留めクロス二重術】SNSからのご指名多数!!Dr.松浦による美曲線二重ライン。







































































コメント
二の腕のふりそでや付け根の部分の脂肪が気になると来院されたお客様です。
クールスカルプティングを用いて二の腕に4エリア施術を受けていただいた2ヶ月後のお写真です。
垂れ下がった印象だったふりそでがすっきりとしましたね!
脂肪のボリュームによっては満足いく結果が出るまでに複数回の施術が必要な場合がありますが、クールスカルプティングは脂肪吸引と比較し日常生活に制限なくお受けいただけるのがメリットです。