クリニック案内 東京都のクリニック 湘南美容クリニック 北千住院 特集記事 進藤先生関連 あなたのクマ、北千住院のクマ取りで解決しませんか?若返り専門の進藤院長がおすすめするお悩み別治療方法!

メニュー

SPECIAL特集記事

あなたのクマ、北千住院のクマ取りで解決しませんか?若返り専門の進藤院長がおすすめするお悩み別治療方法!

2022.12.17

進藤先生関連

クマがなくなるだけで、10歳若返る?!

湘南美容クリニック北千住院で出来る目の下のクマ治療をご紹介。「コンシーラーでうまく隠せない」、「夕方になると出てきて気になる」、「最近、疲れている?と聞かれがち」そんなお悩みをクマ取りで解決しましょう!

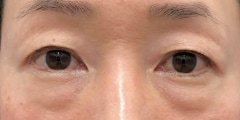
あなたのクマは、何クマ?

SELECT 01

茶グマさん

茶グマさん
茶グマさんは、メラニンの「色素沈着」によって茶色く見えてしまうクマです。
他の箇所に比べて、目元の皮膚は薄いので色素沈着になりやすい場所です。目元をこするなどの摩擦や、メイクの落としもれなどが原因で濃くなっていきます。

SELECT 02

青グマさん

青グマさん
青グマさんは、目の周りの血行不良によってできるクマです。
原因としては、【冷え】【睡眠不足】【眼精疲労】などによる血液の黒ずみと言われています。
ただ、脂肪が少なく皮膚が薄い方は生まれつき血管が透けて見えている場合もあります。
また、赤グマの方は、筋肉が透けて見えていることが多いです。

SELECT 03

影(たるみ)クマさん

影(たるみ)クマさん
影クマさんは、目の下のたるみやくぼみによる「影」が原因でできるクマです。
年齢と共に目を開閉する眼輪筋がゆるんでいくと、眼窩脂肪と呼ばれる瞳のクッションの役割をする脂肪が前に出てきてしまい、目の下に影を作ってしまうのです。眼窩脂肪のふくらみによって目の下が黒い影になっている状態なので黒クマとも呼ばれます。

北千住院でおすすめするお悩み別のクマ取り治療方法

RECOMMEND 01

茶グマさんにおすすめの治療は【ハイドロキノン】

茶グマさんにおすすめの治療は【ハイドロキノン】
色素沈着が原因の茶グマさんは、メラニン色素を薄くしてくれるハイドロキノンがおすすめ。
色素沈着に効果があるレーザー治療などは、目の下に照射することができません。
そのため塗り薬などで対応する必要があります。
日頃のケアとしてメイク落とし忘れがないようにし、しっかり保湿することも大事です。

RECOMMEND 02

青グマさんにおすすめの治療は【脂肪注入】

青グマさんにおすすめの治療は【脂肪注入】
血行不良で血液が透けて見える青グマさんには、色味を隠す脂肪注入がおすすめです。
脂肪注入の中でもナノリッチは、肌のハリ、血行を良くする、小じわの改善などの効果があります。
コンデンスリッチフェイスを併用するとさらに仕上がりが良くなります。
ふくらみやたるみがある方は、クマ取りを一緒にご提案することもあります。

RECOMMEND 03

影クマさんにおすすめの治療は【目の下の切らないクマ・たるみ取り×脂肪注入】

影クマさんにおすすめの治療は【目の下の切らないクマ・たるみ取り×脂肪注入】
眼窩脂肪が原因である影クマさんは、目の下の切らないクマ・たるみ取りがお勧めです。
また、ゴルゴ線に沿ってある凹みやクマの色味を改善するために
コンデンスリッチフェイスと言う脂肪注入を一緒にすることをおすすめしています。
特にふくらみが強い人は、脂肪を取ると風船が萎んだように皮ふ表面にシワが出てきてしまうので、
ナノリッチをさらに併用すると仕上がりが良くなります。

北千住院進藤院長が選ばれる2つのポイント

POINT 01

ひとりひとり向き合ってカウンセリング

ひとりひとり向き合ってカウンセリング
進藤院長は、お客さまのカウンセリングをしっかり時間をかけて行います。
お悩みやお目元に合わせて、適切な施術をご提案しますので、
無理なご提案や押し売りは行いません。
そのためか、とても進藤院長のファンが多くリピーターご指名される方も多くいらっしゃいます。
「美容医療って高い金額を請求されるのでは?」「医師って怖いんでしょう?」
と思っていらっしゃる方は、ご安心くださいませ!

POINT 02

スタッフからの信頼

スタッフからの信頼
スタッフからの信頼も高く、施術の指名を受ける進藤院長。
実際に施術を受けた受付カウンセラーにお話を聞きました!
編集者「なぜ進藤院長でクマ取りを受けたのですか?」
受付O 「まず、若返り施術が得意だからですね」
編集者「確かに、お客さまが受けられた経過を間近で見れるから信頼できますよね」
受付O 「そうですね。それにいつもスタッフに優しいので施術も安心出来ると思ったからです」
信頼できる技術と安心できる人柄で選ばれていることがわかりました。
ぜひ、進藤院長のカウンセリングを受けて実感してみてください!

クマ取りに関するよくある質問

QUESTION 01

ダウンタイムはどれくらいありますか?

ダウンタイムはどれくらいありますか?
※個人差がございますので、予めご了承ください。
クマ取りや脂肪注入に関しては、大体2-3週間ほどあります。
ダウンタイムの内容としては、目の下の内出血、目まわりの腫れ(浮腫み)があります。
お仕事のお休みは3日あればOK。できれば1週間あると安心。
あとは、メイクやメガネで隠す人が多いです。
進藤院長のクマ取りは、ダウンタイムが短いことで評判です!

QUESTION 02

脂肪注入なしでもクマ取りはできますか?

脂肪注入なしでもクマ取りはできますか?
はい、できます。目元のハリのある方ですと、クマ取りのみでご案内する場合があります。
ただ、影クマさんなどふくらみやたるみがある方は、
たるみやふくらみが残ったり、逆に凹んでしまうため、クマ取りだけでは難しいです。
ベテランの進藤院長であれば、しっかりとカウンセリングして
脂肪注入まで必要かどうか、適切なご提案いたしますのでご安心くださいませ。

QUESTION 03

当日に施術はできますか?

当日に施術はできますか?
通常できますが、当日の施術室の空き状況によります。
医師とのカウンセリング後、受付カウンセラーにご確認をお願いします。
また当日される場合、安全にお施術を受けていただくための諸注意事項がございます。
詳しくは、My SBCからお問合せくださいませ。

QUESTION 04

モニターは募集していますか?

モニターは募集していますか?
はい、募集しています!
カウンセリングは無料ですので、ご興味がある方はぜひご応募くださいませ。

現在、顔出しモニターを積極的に募集しております!!
下記リンクから詳細をご覧くださいませ!

進藤院長からのコメント

DOCTOR'S COMMENT 01

北千住院 院長 進藤彰人

北千住院 院長 進藤彰人
若返り治療を専門としている進藤です。
目元状態をしっかり診察し、あなたに合ったお施術をご提案いたします。
施術中は痛みに十分配慮しておりますので、ご安心ください。

BEFORE AFTER施術前と施術後の変化

  • 施術前

    1 ヶ月後

  • 施術前

    3 ヶ月後

  • 施術前

    1 ヶ月後

特集一覧に戻る

CLINICクリニック案内

所在地 東京都足立区千住3丁目74−1 第2 白亜ビル 2階
診療時間 AM10:00~PM7:00(最終カウンセリング予約/17:30)
※休診日:1月1日のみ
アクセス 北千住駅 徒歩4分

湘南美容クリニック北千住院は、若返り施術の実績が豊富な進藤院長が在籍。
そのほか、二重整形やクマ取り、糸リフト、眉下切開をはじめ、美容皮膚科の医療ハイフ、ヒアルロン酸、医療脱毛、シミ治療、ニキビ治療、ワキガ・多汗症など幅広い施術を取り扱っております。
「北千住駅」西口から徒歩4分です。
まずはお気軽に、お電話もしくはメールにてお問い合わせください。

監修医師紹介

進藤 彰人 医師
北千住院院長
進藤 彰人 医師
保有資格
日本耳鼻咽喉科学会認定専門医
経歴
2007年3月 東京慈恵会医科大学 卒業
- 慈恵会医科大学附属柏病院 勤務
- 国立病院機構 東京医療センター 勤務
- 牛久愛和総合病院 勤務
- 東芝病院 勤務 (その他、非常勤医として美容クリニックの勤務歴あり)
2019年1月 湘南美容クリニック入職
2021年12月 湘南美容クリニック 北千住院院長就任

SBCメディカルグループ クリニック一覧

北海道

東北地区

東京

関東

関東おすすめドクター

中部地区

関西地区

関西おすすめドクター

中国・四国地区

九州・沖縄地区

オンラインクリニック クリニック一覧

リッツ美容外科 クリニック一覧

ゴリラクリニック クリニック一覧

リゼクリニック クリニック一覧

海外 クリニック一覧

ベトナム

シンガポール

  • Chelsea Clinic
  • Chelsea Clinic Extension
  • Chelsea Asthetics
  • Gangnam Laser Clinic
  • SkinGo! Hougang Mall
  • SkinGo! Jewel Changi Airport
  • SkinGo! Junction 8
  • SkinGo! Jurong Point 2
  • SkinGo! NEX
  • SkinGo! North Point City
  • SkinGo! Pasir Ris Mall
  • SkinGo! Tampines 1
  • SkinGo! Tiong Bahru
  • SkinGo! Plaza Singapura
  • SkinGo! City Square Mall
  • SkinGo! Marina Square
  • SkinGo! Eastpoint
  • SkinGo! Stars of Kovan
  • SkinGo! United Square
  • Rochor Centre Clinic

様々な科目の専門医・学会会員が
在籍しています

湘南美容クリニックは日本美容外科学会(JSAPS)専門医、日本美容外科学会正会員、日本形成外科学会専門医 、先進医療医師会 参与、日本再生医療学会 理事長補佐、国際美容外科学会(International Society of Aesthetic Plastic Surgery)Active Member、医学博士、厚生労働省認定臨床研修指導医、日本整形外科学会・専門医、日本麻酔科学会認定医、厚生労働省麻酔科標榜医、日本外科学会専門医・正会員、日本胸部外科学会正会員、日本頭蓋顎顔面外科学会会員、日本静脈学会会員医学博士、日本医師会認定産業医、日本抗加齢医学会会員、日本マイクロサージャリー学会会員、GID(性同一性障害)学会会員、日本脂肪吸引学会会員、美容皮膚科学会正会員、日本レーザー治療学会会員などの資格を保有した医師が在籍しております。

当ページは医療広告ガイドラインを遵守し、医師監修のもと掲載しています

SBCメディカルグループでは、2018年6月1日に施行された医療広告ガイドラインを受け、ホームページ上からの体験談の削除を実施しました。また、症例写真を掲載する際には施術の説明、施術のリスク、施術の価格も表示させるようホームページを全面的に修正しております。当ホームページをご覧の患者様、お客様にはご迷惑、ご不便をおかけ致しますが、ご理解のほどよろしくお願い申し上げます。

×

当院におけるワクチン接種後の治療間隔(ガイドライン)

美容皮膚科、美容外科小手術

前後3日(手術日は含まず)、自覚する副反応がなければ可
安心麻酔を使用するものは接種後1週間は空ける

美容外科中、大手術

前後1週間
副反応が残っている場合は延期
接種部位と手術部位が同じ場合は2週間は空ける

×

お急ぎの方はお電話ください

0120-489-100

受付時間 / 10:00~23:00