若返りの症例写真(若返り)
ドクターが選ぶ BEST SHOT AWARD
症例写真一覧
表示件数:53373件 / 350320件
若返り / コンデンスリッチフェイス脂肪注入全顔入れ放題 他 No.362794
【顔の脂肪注入】おでこのゴツゴツ感や凹みをナチュラルにふっくら改善!武田有加院長の脂肪注入で自然な若返り
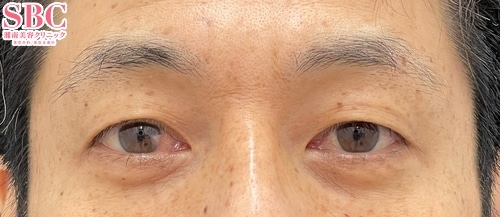
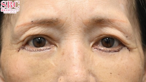
若返り / 切開ハムラ(表ハムラ)法 他 No.362791
【クマ取り】武田院長のクマ取りなら、目の下の膨らみ・凹み・色味もナチュラルに改善!
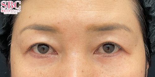
若返り / 目の下の切らないクマ・たるみ(ふくらみ)取り 他 No.362788
【若返り】【クマ取り×脂肪注入】脱脂×脂肪注入で目元の若返りを実現!老け見え解消なら奥医師にお任せ!【施術3ヶ月後】【目の下の切らないクマたるみ取り】【ナチュラル脂肪注射ナノリッチ/コンデンスリッチ】
若返り / ナチュラル脂肪注射コンデンスリッチ No.362786
★脂肪注入全国No.1(2025年)!※SBC内◆◆美容外科専門医 名倉が叶える 美顔術!! へこみを無くして美しい輪郭へ!! ◆脂肪注入(顎)1ヶ月後のお写真
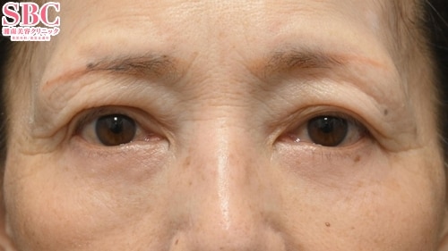
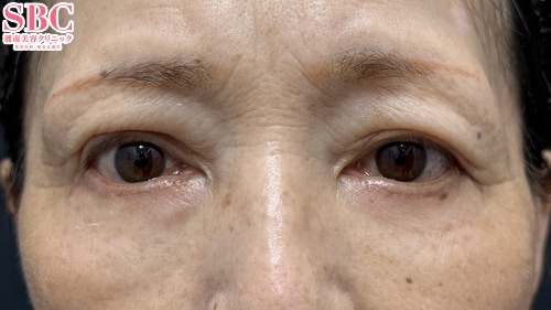
若返り / 眉下リフト(眉下切開) No.362782
◆◆目元切開厳選医師の名倉が叶える -5歳!! 眉下リフト◆◆瞼のたるみでお悩みの方必見!!1ヶ月後のお写真
若返り / 裏ハムラ法 No.362778
【クマ取り】Dr.五十嵐の裏ハムラで疲れ目卒業!
若返り / 裏ハムラ法 他 No.362775
Dr.五十嵐の裏ハムラで疲れ目卒業!
若返り / 切開ハムラ(表ハムラ)法 他 No.362769
【クマ取り/切開(表)ハムラ法症例数全国No.1〈2025年上半期SBC内〉】統括技術指導医/美容外科専門医/プレミアムドクター坂西執刀(横浜東口院)★クマ取りはベテランドクターにお任せください!『切開ハムラ法+ミッドフェイスリフト+貴族ヒアル』
若返り / 切開ハムラ(表ハムラ)法 他 No.362768
【クマ取り/切開(表)ハムラ法症例数全国No.1〈2025年上半期SBC内〉】統括技術指導医/美容外科専門医/プレミアムドクター坂西執刀(横浜東口院)★クマ取りはベテランドクターにお任せください!『切開ハムラ法+ミッドフェイスリフト+貴族ヒアル』
若返り / 切開ハムラ(表ハムラ)法 他 No.362767
【クマ取り/切開(表)ハムラ法症例数全国No.1〈2025年上半期SBC内〉】統括技術指導医/美容外科専門医/プレミアムドクター坂西執刀(横浜東口院)★クマ取りはベテランドクターにお任せください!『切開ハムラ法+ミッドフェイスリフト+貴族ヒアル』
若返り / 切開ハムラ(表ハムラ)法 他 No.362766
【クマ取り/切開(表)ハムラ法症例数全国No.1〈2025年上半期SBC内〉】統括技術指導医/美容外科専門医/プレミアムドクター坂西執刀(横浜東口院)★クマ取りはベテランドクターにお任せください!『切開ハムラ法+ミッドフェイスリフト+貴族ヒアル』
若返り / 切開ハムラ(表ハムラ)法 他 No.362765
【クマ取り/切開(表)ハムラ法症例数全国No.1〈2025年上半期SBC内〉】統括技術指導医/美容外科専門医/プレミアムドクター坂西執刀(横浜東口院)★クマ取りはベテランドクターにお任せください!『切開ハムラ法+ミッドフェイスリフト+貴族ヒアル』
若返り / 裏ハムラ法 No.362764
【裏ハムラ】目の下の脂肪を移動させてクマを改善!八王子院の櫻井医師へお任せください!
若返り / ビーナススレッドリフトプレミアム No.362762
池メト限定の最新糸リフト!顔のたるみは若返りの名医・美容外科医歴17年の古澤医師にお任せください!
若返り / SBCプレミアムPRP皮膚再生療法 No.362753
【プレミアムPRP】ぺたんこおでこからふっくらおでこへ!ナチュラルに顔の立体感を出したいならPRPがおすすめ【額+こめかみ】
若返り / ナチュラル脂肪注射コンデンスリッチ No.362745
◆◆美容外科専門医 名倉が叶える 美顔術!! へこみを無くして美しい輪郭へ!! ◆脂肪注入(額)1ヶ月後のお写真
若返り / 眉下リフト(眉下切開) No.362742
◆◆目元切開厳選医師の名倉が叶える -5歳!! 眉下リフト◆◆瞼のたるみでお悩みの方必見!!6ヶ月後のお写真
若返り / 目の下の切らないクマ・たるみ(ふくらみ)取り No.362741
◆◆美容外科専門医 名倉が叶える -5歳!! 目の下のたるみ取り+脂肪注入(目の下~ゴルゴ線)◆◆目の下のぷっくり、クマでお悩みの方必見!!◆3ヶ月後のお写真
若返り / プリマリフト No.362740
◆◆美容外科専門医 名倉が叶える小顔術!!糸リフト6年連続全国1位 (2019年~2024年)!※SBC内◆◆プリマリフト+脂肪吸引(頬+顎下)◆ 3ヶ月後のお写真
若返り / 裏ハムラ法 他 No.362721
【クマ取り】膨らみの原因になっている脂肪を、切除せずに凹んでいる部分に再配置。クマ取りを毎日のように執刀しているベテラン医師にお任せください!
































































