若返りの症例写真(若返り) 新着
ドクターが選ぶ BEST SHOT AWARD
症例写真一覧
表示件数:52944件 / 348459件
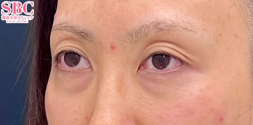
若返り / ナチュラル脂肪注射ナノリッチ 他 No.359834
40代女性 目の下の切らないクマ・たるみ取り/ナチュラル脂肪注射コンデンスリッチフェイス(目の上・目の下・ゴルゴ) /ナチュラル脂肪注射ナノリッチ(目の下・ゴルゴ)
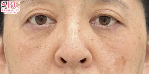
若返り / ナチュラル脂肪注射ナノリッチ 他 No.359833
40代女性 目の下の切らないクマ・たるみ取り/ナチュラル脂肪注射コンデンスリッチフェイス(目の上・目の下・ゴルゴ) /ナチュラル脂肪注射ナノリッチ(目の下・ゴルゴ)
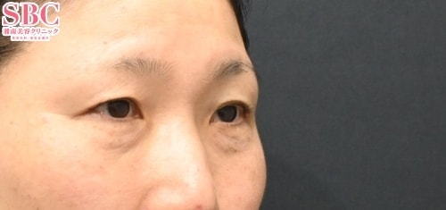
若返り / ナチュラル脂肪注射ナノリッチ 他 No.359832
40代女性 目の下の切らないクマ・たるみ取り/ナチュラル脂肪注射コンデンスリッチフェイス(目の上・目の下・ゴルゴ) /ナチュラル脂肪注射ナノリッチ(目の下・ゴルゴ)
若返り / ナチュラル脂肪注射ナノリッチ 他 No.359831
40代女性 目の下の切らないクマ・たるみ取り/ナチュラル脂肪注射コンデンスリッチフェイス(目の上・目の下・ゴルゴ) /ナチュラル脂肪注射ナノリッチ(目の下・ゴルゴ)
若返り / ナチュラル脂肪注射ナノリッチ 他 No.359830
40代女性 目の下の切らないクマ・たるみ取り/ナチュラル脂肪注射コンデンスリッチフェイス(目の上・目の下・ゴルゴ) /ナチュラル脂肪注射ナノリッチ(目の下・ゴルゴ)
若返り / ナチュラル脂肪注射ナノリッチ 他 No.359829
40代女性 目の下の切らないクマ・たるみ取り/ナチュラル脂肪注射コンデンスリッチフェイス(目の上・目の下・ゴルゴ) /ナチュラル脂肪注射ナノリッチ(目の下・ゴルゴ)
若返り / ヒアルロン酸 No.359828
【頬コケヒアルロン酸】滑らかな卵型輪郭に
若返り / 裏ハムラ法 No.359826
【術後3ヵ月】-裏ハムラ- 外科専門医×芸術センスで目元を美しく若返り!
若返り / ナチュラル脂肪注射コンデンスリッチ No.359820
◆◆美容外科専門医 名倉が叶える 美顔術!! へこみを無くして美しい輪郭へ!! ◆脂肪注入(頬)3ヶ月後のお写真
若返り / 眉下リフト(眉下切開) No.359817
◆◆目元切開厳選医師の名倉が叶える -5歳!! 眉下リフト◆◆瞼のたるみでお悩みの方必見!!1ヶ月後のお写真
若返り / ナチュラル脂肪注射コンデンスリッチ 他 No.359816
◆◆美容外科専門医 名倉が叶える -5歳!! 目の下のたるみ取り+脂肪注入(目の下~ゴルゴ線)◆◆目の下のぷっくり、クマでお悩みの方必見!!◆3ヶ月後のお写真
若返り / プリマリフト No.359815
◆◆美容外科専門医 名倉が叶える小顔術!!糸リフト6年連続全国1位 (2019年~2024年)!※SBC内◆◆プリマリフト+脂肪吸引(頬+顎下)◆ 6ヶ月後のお写真
若返り / 目の下の切らないクマ・たるみ(ふくらみ)取り 他 No.359810
【クマ取り+脂肪注入】目元の若返りなら田中医師にお任せください!
若返り / 切開ハムラ(表ハムラ)法 No.359803
【表(切開)ハムラ6ヶ月後】目元の若返りなら澁川医師にお任せください【-5歳も夢ではありません!】
若返り / 裏ハムラ法 No.359787
【垢抜け必至!クマ取りひとつで若返る】『形成外科と美容外科(JSAPS)のダブルライセンス!確かな知識や技術と豊富な経験によるクマ取り』形成外科/美容外科専門医(JSAPS)として眼瞼下垂や二重術、クマ手術症例多数!目元のスペシャリストえのもと医師にご相談ください
若返り / 目の下の切らないクマ・たるみ(ふくらみ)取り No.359776
【クマ取り】最安値クマ取り術。脱脂術と脂肪注入でここまで変わる。
若返り / ナチュラル脂肪注射入れ放題 他 No.359774
脂肪注入でフェイスラインをなめらかにした一例
若返り / 目の下の切らないクマ・たるみ(ふくらみ)取り 他 No.359760
【-10歳も夢じゃない?】切らないクマ取り+脂肪注入の若返り術!
若返り / ナチュラル脂肪注射ナノリッチ 他 No.359759
【-10歳も夢じゃない?】女性らしい丸みのあるフェイスラインへ!お顔の凹みに自分の脂肪を注入♪
若返り / 目の下の切らないクマ・たるみ(ふくらみ)取り 他 No.359758
【元・大学病院形成外科講師】形成外科専門医モリゾーが執刀する切らないクマとり+脂肪注入


































































