若返りの症例写真(若返り) 新着
ドクターが選ぶ BEST SHOT AWARD
症例写真一覧
表示件数:52470件 / 346387件
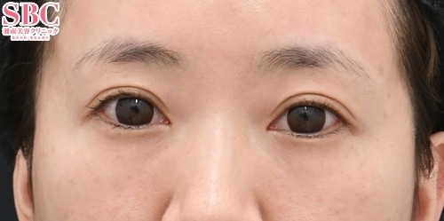
若返り / 目の下の切らないクマ・たるみ(ふくらみ)取り 他 No.357245
【若返り】【クマ取り×脂肪注入】脱脂×脂肪注入で目元の若返りを実現!老け見え解消なら奥医師にお任せ!【施術3ヶ月後】【目の下の切らないクマたるみ取り】【ナチュラル脂肪注射ナノリッチ/コンデンスリッチ】
若返り / プリマリフト 他 No.357240
【若返りMuse】もえか先生の若返り術|お客様一人ひとりに合わせたパーソナルプランで自然な若返り?
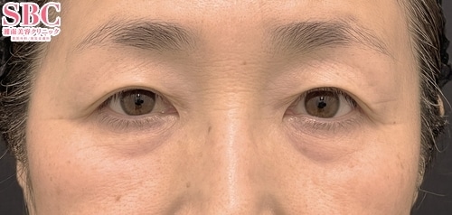
若返り / 裏ハムラ法 他 No.357231
【若返り】【30代症例】☆症例数第1位!(アイバックリムーブ/2025年上半期/東日本)☆【裏ハムラ+ナノリッチ】切る・切らない二つの視点からお客様にとって最適な治療を提案します!目の下のたるみ・クマをなくして-5歳に印象チェンジ!【施術後1か月経過】
若返り / 切開ハムラ(表ハムラ)法 No.357210
【切開ハムラ法】関西おすすめドクターによる目元の若返り術
若返り / ナチュラル脂肪注射コンデンスリッチ No.357208
◆◆美容外科専門医 名倉が叶える 美顔術!! へこみを無くして美しい輪郭へ!! ◆脂肪注入(頬)3ヶ月後のお写真
若返り / 裏ハムラ法 他 No.357205
【ハムラ法/クマ治療】新時代のクマ治療であるハムラ法もお任せください!クマトリならDr中溝!
若返り / 眉下リフト(眉下切開) No.357203
◆◆目元切開厳選医師の名倉が叶える -5歳!! 眉下リフト◆◆瞼のたるみでお悩みの方必見!!1週間後のお写真
若返り / プリマリフト 他 No.357202
【若返りMuse】もえか先生の若返り術|お客様一人ひとりに合わせたパーソナルプランで自然な若返り?
若返り / ナチュラル脂肪注射コンデンスリッチ 他 No.357201
◆◆美容外科専門医 名倉が叶える -5歳!! 目の下のたるみ取り+脂肪注入(目の下~ゴルゴ線)◆◆目の下のぷっくり、クマでお悩みの方必見!!◆3ヶ月後のお写真
若返り / プリマリフト No.357200
◆◆美容外科専門医 名倉が叶える小顔術!!糸リフト6年連続全国1位 (2019年~2024年)!※SBC内◆◆プリマリフト+脂肪吸引(頬+顎下)◆1年2ヶ月後のお写真
若返り / 裏ハムラ法 他 No.357189
【目の下のクマ治療!裏ハムラ+糸リフト=ハムラリフト】中顔面もふっくら上がった印象に!全国おすすめクマ治療Dr.選抜のDr.ルークひのきにお任せ!【ミッドチークリフト】
若返り / 裏ハムラ法 他 No.357187
【目の下のクマ治療!裏ハムラ+糸リフト=ハムラリフト】中顔面もふっくら上がった印象に!全国おすすめクマ治療Dr.選抜のDr.ルークひのきにお任せ!【ミッドチークリフト】
若返り / アイバックリムーブ法 他 No.357186
【若返り】【50代症例】☆症例数第1位!(アイバックリムーブ/2025年上半期/東日本)☆ 【アイバックリムーブ+ナノリッチ+コンデンスリッチフェイス】切る・切らない二つの視点からお客様にとって最適な治療を提案します!目の下のたるみ・クマをなくして-5歳に印象チェンジ!【施術…
若返り / 目の下の切らないクマ・たるみ(ふくらみ)取り 他 No.357185
【30代の症例】第一印象は目元で決まる!おうしょう先生のクマ取りで若々しい目元に!【くま取り】
若返り / 目の下の切らないクマ・たるみ(ふくらみ)取り 他 No.357173
【美しい仕上がりで紹介多数】北千住院院長の進藤彰人医師による目の下の切らないクマたるみ取り+脂肪注入☆目の下・ゴルゴへの脂肪注入でコンシーラーいらずの目元へ【50代のクマ取り】
若返り / シークレットリフト No.357163
【イテウォン 糸リフトのみ】切らずにたるみ改善、糸リフトで若返り!イテウォンビューティークリニック恵比寿院
若返り / ヒアルロン酸 他 No.357159
【美容皮膚科】【40代女性】☆SBC技術指導医 池内院長の若返り術☆ ヒアルロン酸で-10歳の唇に!
若返り / ナチュラル脂肪注射コンデンスリッチ No.357155
◆◆美容外科専門医 名倉が叶える 美顔術!! へこみを無くして美しい輪郭へ!! ◆脂肪注入(顎)3年後のお写真
若返り / 眉下リフト(眉下切開) No.357151
◆◆目元切開厳選医師の名倉が叶える -5歳!! 眉下リフト◆◆瞼のたるみでお悩みの方必見!!2ヶ月後のお写真
若返り / ナチュラル脂肪注射コンデンスリッチ 他 No.357150
◆◆美容外科専門医 名倉が叶える -5歳!! 目の下のたるみ取り+脂肪注入(目の下~ゴルゴ線)◆◆目の下のぷっくり、クマでお悩みの方必見!!◆1ヶ月後のお写真


































































