美容整形の症例写真(美容整形) 新着
症例写真一覧
表示件数:318720件 / 348421件
美容歯科 / プレミアムダイヤモンドセラミック 他 No.360410
整形シンデレラファイナリスト担当Drが貴方に贈る 「あなたの笑顔を最高の笑顔に。」〜The Perfect Smile〜 ジルコニアダイヤモンドセラミック
アートメイク / 医療アートメイク 他 No.360409
【AGA横浜院】【MOCCIパウダー技法】
AGA薄毛治療 / 自毛植毛 他 No.360408
スマートFUE植毛 650グラフト 40代男性 12ヶ月後
美容皮膚科 / ヒアルロン酸ジュビダームビスタ バイクロスシリーズ No.360407
30代のお客様【若返りヒアルロン酸】ほうれい線改善で若見え!美肌治療・自然な若返りなら美容皮膚科専属医のゆきこ先生にお任せくださいませ!
AGA薄毛治療 / 自毛植毛 No.360406
生え際1400Gの植毛で理想の額に�C 6か月でもこの完成度。
若返り / ナチュラル脂肪注射コンデンスリッチ No.360405
◆◆美容外科専門医 名倉が叶える 美顔術!! へこみを無くして美しい輪郭へ!! ◆脂肪注入(頬)1ヶ月後のお写真
脂肪吸引 / Aquicell(アキーセル)脂肪吸引 他 No.360404
★脂肪吸引症例数4年連続全国No1(2021-2024年)!※SBC内 No.1ドクター 名倉俊輔が叶える、ほっそりした太もも!★秋葉原院院長・他院長歴任 脂肪吸引・ボディーメイク専門 名倉俊輔 VASER脂肪吸引認定医 ☆吸引量・デザインへのこだわり☆ 脂肪吸引の真骨頂!!…
脂肪吸引 / Aquicell(アキーセル)脂肪吸引 他 No.360403
★脂肪吸引症例数4年連続全国No1(2021-2024年)※SBC内!No.1ドクター 名倉俊輔が叶える、ほっそりとした二の腕!★秋葉原院院長・他院長歴任 脂肪吸引・ボディーメイク専門 名倉俊輔 VASER脂肪吸引認定医 ☆吸引量・デザインへのこだわり☆ 脂肪吸引の真骨頂!!…
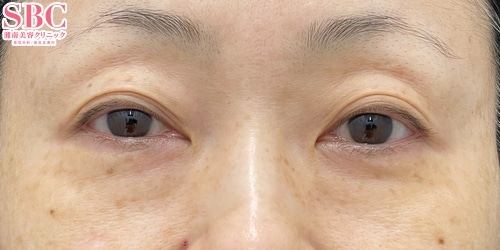
若返り / 眉下リフト(眉下切開) No.360402
◆◆目元切開厳選医師の名倉が叶える -5歳!! 眉下リフト◆◆瞼のたるみでお悩みの方必見!!6ヶ月後のお写真
AGA薄毛治療 / 自毛植毛 No.360401
生え際1400Gの植毛で理想の額に�B こめかみ植毛がポイント。
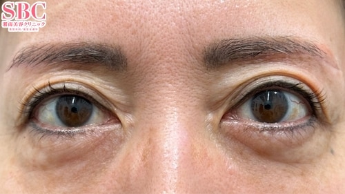
若返り / ナチュラル脂肪注射コンデンスリッチ 他 No.360400
◆◆美容外科専門医 名倉が叶える -5歳!! 目の下のたるみ取り+脂肪注入(目の下~ゴルゴ線)◆◆目の下のぷっくり、クマでお悩みの方必見!!◆1ヶ月後のお写真
AGA薄毛治療 / 自毛植毛 No.360399
生え際1400Gの植毛で理想の額に�A
若返り / プリマリフト No.360397
◆◆美容外科専門医 名倉が叶える小顔術!!糸リフト6年連続全国1位 (2019年~2024年)!※SBC内◆◆プリマリフト+脂肪吸引(頬+顎下)◆ 6ヶ月後のお写真
AGA薄毛治療 / 自毛植毛 No.360396
生え際1400Gの植毛で理想の額に�@
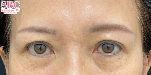
若返り / 切開ハムラ(表ハムラ)法 他 No.360395
【立川院】【クマ・たるみ改善】1ヶ月でここまで変われる!
脂肪吸引 / Aquicell(アキーセル)脂肪吸引 他 No.360394
★顔の脂肪吸引 7年連続全国No.1 (2018~2024年)!※SBC内 脂肪吸引エキスパートドクターによる輪郭整形 ★脂肪吸引(頬+顎下)+ジョールファット★3ヶ月後のお写真★顔の脂肪吸引 7年連続全国No.1 (2018~2024年)!※SBC内 脂肪吸引エキスパートド…
二重・二重整形 / 下眼瞼下制(結膜切開法) 他 No.360393
20代女性 目尻切開/下眼瞼下制(結膜切開/タレ目/たれ目/グラマラスライン)
二重・二重整形 / 下眼瞼下制(結膜切開法) 他 No.360391
20代女性 目尻切開/下眼瞼下制(結膜切開/タレ目/たれ目/グラマラスライン)
二重・二重整形 / 下眼瞼下制(結膜切開法) 他 No.360392
20代女性 目尻切開/下眼瞼下制(結膜切開/タレ目/たれ目/グラマラスライン)
二重・二重整形 / 下眼瞼下制(結膜切開法) 他 No.360390
20代女性 目尻切開/下眼瞼下制(結膜切開/タレ目/たれ目/グラマラスライン)

















































