美容整形の症例写真(美容整形) 新着
症例写真一覧
表示件数:321736件 / 351781件
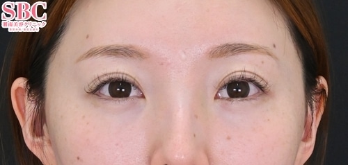
若返り / 裏ハムラ法 No.363891
【若返り】【30代症例】☆症例数第1位!(アイバックリムーブ/2025年上半期/東日本)☆【裏ハムラ】切る・切らない二つの視点からお客様にとって最適な治療を提案します!目の下のたるみ・クマをなくして-5歳に印象チェンジ!【施術後1ヶ月経過】
AGA薄毛治療 / 女性の薄毛治療 他 No.363890
内服+ FOLIX5回+ ジェットメソ(現エレクトロポレーションメソ)12回(2剤導入)
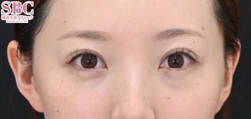
若返り / 裏ハムラ法 他 No.363889
【外科専門医の垢抜け裏ハムラ】目の下のクマのせいで、あなたの本来の美しさが隠れていませんか?お顔の印象を下げてしまうクマを、裏ハムラで無かったことに!
美容歯科 / プレミアムダイヤモンドセラミック 他 No.363888
【ツギハギ卒業】歯茎の痩せと黒ずみを解消。長年愛用した前歯を理想の白さへ
若返り / 裏ハムラ法 No.363887
【東大式クマ取り】切開ハムラ症例数”都内No.1”、SBCアワード2024”最優秀ドクター”である松阪佑介先生のクマ取り症例
美容歯科 / ダイヤモンドクラウン(ジルコニア) 他 No.363886
繰り返す前歯の詰め物から【卒業】理想の白さと正しい噛み合わせ
二重・二重整形 / クイックコスメティーク・ダブルNeo 他 No.363885
【二重・二重整形】★2025下期 自然癒着セット症例数 関東(東京除く)No.1★まつ毛の生え際が見えるパッチリ二重に!【施術1ヶ月後】【クイックコスメティーク法×目頭切開】
若返り / 裏ハムラ法 No.363884
【クマ取り】≪全てのクマ治療に対応≫上岡利一先生のクマ取り症例
二重・二重整形 / 週末二重(R) No.363883
【週末二重】二重埋没で自然に明るい目元へ
豊胸・バストの修正 / Motivaエルゴノミックス2(バッグ豊胸) No.363882
■シリコンバック豊胸■【バック豊胸症例数 全国女医症例数1位 2023年下期】経験豊富な女医・多田彩子(一般外科出身)による豊胸術!!シリコンバック豊胸術の綺麗な症例写真で人気◎ 脂肪注入豊胸、乳頭縮小術からバック豊胸まで出来る女医として選ばれています。
若返り / ヒアルロン酸 No.363881
【ヒアルロン酸】【理想を叶える注入技術】
若返り / ヒアルロン酸 No.363879
【ヒアルロン酸】【理想を叶える注入技術】
若返り / プリマリフト No.363878
★たるみを引き上げる|佐々木の糸リフトで自然なリフトアップに★《糸リフト/3ヶ月後》
若返り / ナチュラル脂肪注射コンデンスリッチ No.363877
◆◆美容外科専門医 名倉が叶える 美顔術!! へこみを無くして美しい輪郭へ!! ◆脂肪注入(額)1ヶ月後のお写真
脂肪吸引 / Aquicell(アキーセル)脂肪吸引 他 No.363876
★脂肪吸引症例数4年連続全国No1(2021-2024年)!※SBC内 No.1ドクター 名倉俊輔が叶える、ほっそりした太もも!★秋葉原院院長・他院長歴任 脂肪吸引・ボディーメイク専門 名倉俊輔 VASER脂肪吸引認定医 ☆吸引量・デザインへのこだわり☆ 脂肪吸引の真骨頂!!…
若返り / ヒアルロン酸 No.363875
【ヒアルロン酸】【理想をかなえる注入技術】
脂肪吸引 / Aquicell(アキーセル)脂肪吸引 他 No.363874
★脂肪吸引症例数4年連続全国No1(2021-2024年)※SBC内!No.1ドクター 名倉俊輔が叶える、ほっそりとした二の腕!★秋葉原院院長・他院長歴任 脂肪吸引・ボディーメイク専門 名倉俊輔 VASER脂肪吸引認定医 ☆吸引量・デザインへのこだわり☆ 脂肪吸引の真骨頂!!…
若返り / 眉下リフト(眉下切開) No.363873
◆◆目元切開厳選医師の名倉が叶える -5歳!! 眉下リフト◆◆瞼のたるみでお悩みの方必見!!1ヶ月後のお写真
AGA薄毛治療 / 毛根再生注射 他 No.363872
20代男性、毛根再生注射+臍帯幹細胞上清液メソ+AGA薬、3ヶ月後 �A
AGA薄毛治療 / 毛根再生注射 他 No.363871
20代男性、毛根再生注射+臍帯幹細胞上清液メソ+AGA薬、3ヶ月後 �@






















































