美容整形の症例写真(美容整形) 新着
症例写真一覧
表示件数:321736件 / 351781件
若返り / 目の下の切らないクマ・たるみ(ふくらみ)取り No.363870
◆◆美容外科専門医 名倉が叶える -5歳!! 目の下のたるみ取り+脂肪注入(目の下~ゴルゴ線)◆◆目の下のぷっくり、クマでお悩みの方必見!!◆1ヶ月後のお写真
若返り / プリマリフト No.363869
◆◆美容外科専門医 名倉が叶える小顔術!!糸リフト6年連続全国1位 (2019年~2024年)!※SBC内◆◆プリマリフト+脂肪吸引(頬+顎下)◆ 1ヶ月後のお写真
豊胸・バストの修正 / Motivaエルゴノミックス2(バッグ豊胸) 他 No.363868
LAST CALL神ドクター豊胸部門 DR.中村の美バスト症例 ≪シリコンバッグ豊胸(エルゴノミクス2 左右335cc使用)/術前→3ヶ月目≫
脂肪吸引 / Aquicell(アキーセル)脂肪吸引 他 No.363867
★顔の脂肪吸引 8年連続全国No.1 (2018~2025年)!※SBC内 脂肪吸引エキスパートドクターによる輪郭整形 ★脂肪吸引(頬+顎下)+ジョールファット★3ヶ月後のお写真
AGA薄毛治療 / 毛根再生注射 他 No.363866
20代男性、毛根再生注射+臍帯幹細胞上清液メソ+AGA薬、3ヶ月後
二重・二重整形 / クイックコスメティーク・ダブルNeo No.363865
【二重・二重整形】【埋没法】症例が美しすぎると話題の佐藤広太郎医師による”瞳を大きく魅せる”二重術
AGA薄毛治療 / 毛根再生注射 他 No.363864
毛根再生注射1回、臍帯幹細胞上清液メソ1回、ジェットメソ(2剤)3回、HRタブレットセット、HRアクアDスプレー、40代男性、3ヶ月後
美容皮膚科 / ベロテロリバイブ No.363863
肌質改善に特化したヒアルロン酸「ベロテロリバイブ」で、しわ改善と保湿をランニングコストよく!
美容皮膚科 / ベロテロリバイブ No.363862
肌質改善に特化したヒアルロン酸「ベロテロリバイブ」で、しわ改善と保湿をランニングコストよく!
豊胸・バストの修正 / Motivaエルゴノミックス2(バッグ豊胸) No.363861
夢だったGカップへ♪シリコン豊胸で3カップアップ!
AGA薄毛治療 / 毛根再生注射 他 No.363859
50代男性。毛根再生注射1回、臍帯幹細胞上清液メソ1回、エレクトロポレーションメソ1回、内服薬、外用薬。3か月後の変化。
美容歯科 / プレミアムダイヤモンドセラミック No.363858
【歯科統括院長 前田純】上6本プレミアムダイヤモンドセラミック
若返り / 目の下の切らないクマ・たるみ(ふくらみ)取り 他 No.363857
【クマ取り+脂肪注入】目元の若返りなら田中医師にお任せください!
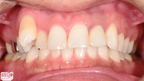
美容歯科 / マウスピース矯正 No.363856
すきっ歯をマウスピース矯正で改善!
脂肪吸引 / イテウォン脂肪吸引(美ボディ脂肪吸引) No.363855
【脂肪吸引】【イテウォン 小顔】あご下の厚みを減らす!イテウォンビューティークリニック恵比寿院
二重・二重整形 / フォーエバー二重術(R) No.363854
執刀数九州1位の二重術を宮崎の地で! 【TEEN二重術 九州沖縄エリア症例数1位 2025年上期】 コスパ重視、でも極上の仕上がり。
若返り / 目の下の切らないクマ・たるみ(ふくらみ)取り 他 No.363852
目の下の膨らみクマでお悩みの方必見!!目元のオペは圧倒的執刀数のドクター木下憶斗★Teen二重術 執刀数西日本2位(2025年上期SBC内!)★
若返り / 目の下の切らないクマ・たるみ(ふくらみ)取り 他 No.363851
【40代の症例】第一印象は目元で決まる!おうしょう先生のクマ取りで若々しい目元に!【くま取り】
若返り / ヒアルロン酸ジュビダームビスタ バイクロスシリーズ No.363850
顎形成(ヒアルロン酸+ボトックス)
若返り / ヒアルロン酸ジュビダームビスタ バイクロスシリーズ No.363849
顎形成(ヒアルロン酸+ボトックス)
























































