美容整形の症例写真(美容整形) 新着
症例写真一覧
表示件数:316984件 / 346629件
脂肪吸引 / Aquicell(アキーセル)脂肪吸引 他 No.358415
★顔の脂肪吸引 7年連続全国No.1 (2018~2024年)!※SBC内 脂肪吸引エキスパートドクターによる輪郭整形 ★脂肪吸引(頬+顎下)+ジョールファット★3ヶ月後のお写真★顔の脂肪吸引 7年連続全国No.1 (2018~2024年)!※SBC内 脂肪吸引エキスパートド…
AGA薄毛治療 / 毛根再生注射 他 No.358414
20代男性、毛根再生注射1回、ジェットメソ(2剤)3回、タブレットセット、Dスプレー、3ヶ月後
若返り / VOV(ボブ)リフト No.358413
リピート確定。重力に逆らう糸リフト。【糸リフト】
脂肪吸引 / 根こそぎVASER脂肪吸引 No.358412
近年相談件数の多い他院修正【脂肪吸引】
脂肪吸引 / 根こそぎVASER脂肪吸引 No.358411
【30代症例】なかなか痩せないフェイスライン、VASER脂肪吸引でほっそり小顔に【VASER脂肪吸引】
若返り / テスリフト No.358410
職員の方の糸リフト担当症例です!【長期経過】
脂肪吸引 / 根こそぎVASER脂肪吸引 No.358409
【30代症例】なかなか痩せないフェイスライン、VASER脂肪吸引でほっそり小顔に【VASER脂肪吸引】
脂肪吸引 / 根こそぎVASER脂肪吸引 No.358408
男性の脂肪吸引もお任せください
脂肪吸引 / エンブレイスRF 他 No.358407
最新のたるみ治療エンブレイスもお任せください!
美容歯科 / プレミアムダイヤモンドセラミック No.358406
【上8本下8本】ガタツキ、開口、突出感の改善
美容歯科 / プレミアムダイヤモンドセラミック No.358405
【上8本下8本】ガタツキ、開口、突出感の改善
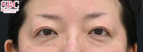
若返り / アイバックリムーブ法 他 No.358403
【若返り】【60代症例】☆症例数第1位!(アイバックリムーブ/2025年上半期/東日本)☆ 【アイバックリムーブ+ナノリッチ+コンデンスリッチフェイス】切る・切らない二つの視点からお客様にとって最適な治療を提案します!目の下のたるみ・クマをなくして-5歳に印象チェンジ!【施術…
二重・二重整形 / 線留めクロス二重術 No.358402
【二重・二重整形】3女性・線留めクロス二重術【術後1ヶ月】
脂肪吸引 / 根こそぎVASER脂肪吸引 No.358401
【脂肪吸引】女性・ベイザー脂肪吸引(二の腕/肩/肩甲骨横)【術後3ヶ月】
若返り / 裏ハムラ法 他 No.358399
【裏ハムラ法・ナチュラル脂肪注射ナノリッチ20代男性】目の下の膨らんだ脂肪をずらすことで皮膚がなだらかに。凹まずに治せるのがハムラの真骨頂。
若返り / VOV(ボブ)リフト 他 No.358398
60代のお客様【糸リフト】自然な小顔若返り・しょうこ先生の“全層治療”【ダウンタイム最小限だからお休みが取れなくても安心!】
二重・二重整形 / クイックコスメティーク・ダブルNeo No.358397
【ナチュラル二重】ナチュラルデザイナーDr.中溝によるクイックコスメティーク・ダブルは整形感ゼロで大人気!
脂肪吸引 / 根こそぎVASER脂肪吸引 他 No.358396
遠方からご来院!びっくりするほどへこみました!他院で断られたおなかの脂肪吸引後1ヶ月目
AGA薄毛治療 / 自毛植毛 他 No.358395
自毛植毛 1000グラフト 30代男性 約1年後
若返り / 裏ハムラ法 他 No.358394
【クマ取り】【ハムラ法】膨らんだ「眼窩脂肪」を凹みに移動してクマ解消!老け見え解消なら奥医師にお任せ!【施術3ヶ月後】【裏ハムラ法×ナチュラル脂肪注射ナノリッチ/コンデンスリッチ】
























































