美容整形の症例写真(美容整形) 新着
症例写真一覧
表示件数:316959件 / 346609件
脂肪吸引 / 美ボディ脂肪吸引 No.358854
ふりそでお肉にサヨウナラ。コスパ良く細腕にするなら美ボディ脂肪吸引一択。
若返り / 目の下の切らないクマ・たるみ(ふくらみ)取り 他 No.358853
【イテウォン】クマ撃退で第一印象アップ!イテウォンビューティークリニック恵比寿院
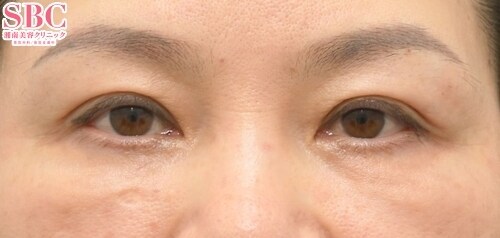
若返り / 目の下の切らないクマ・たるみ(ふくらみ)取り 他 No.358852
【イテウォン】クマ撃退で第一印象アップ!イテウォンビューティークリニック恵比寿院
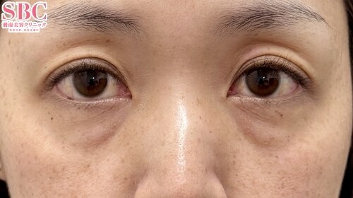
若返り / 目の下の切らないクマ・たるみ(ふくらみ)取り 他 No.358851
【イテウォン】クマ改善で明るく元気な目元に!イテウォンビューティークリニック恵比寿院
豊胸・バストの修正 / エルゴノミクス2+コンデンスハイブリッド No.358850
【りなてぃ先生のデコルテ豊胸】ハイブリッド豊胸1ヶ月目【コンデンスリッチ豊胸SBC内症例数 東日本女医No.1 (2025年上半期)】
若返り / 目の下の切らないクマ・たるみ(ふくらみ)取り 他 No.358849
【イテウォン】疲れ顔から脱却!若々しい目元へ!イテウォンビューティークリニック恵比寿院
美容歯科 / プレミアムダイヤモンドセラミック No.358848
セラミック治療でお口元激変!!
美容歯科 / プレミアムダイヤモンドセラミック 他 No.358847
【上6本】矯正後の後戻り・前歯の突出感改善
美容歯科 / プレミアムダイヤモンドセラミック 他 No.358846
【上6本】矯正後の後戻り・前歯の突出感改善
美容歯科 / プレミアムダイヤモンドセラミック 他 No.358845
【上6本】矯正後の後戻り・前歯の突出感改善
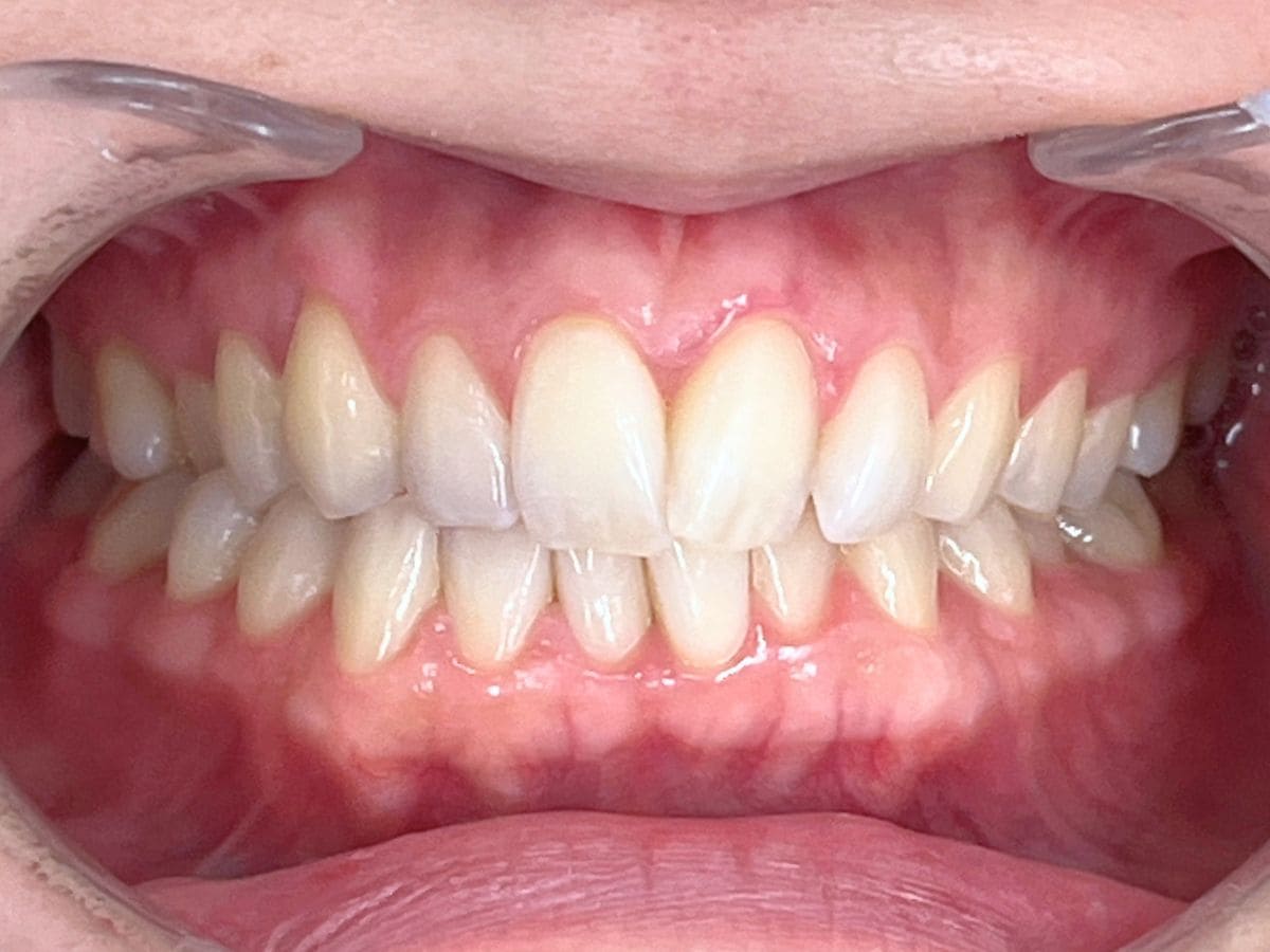
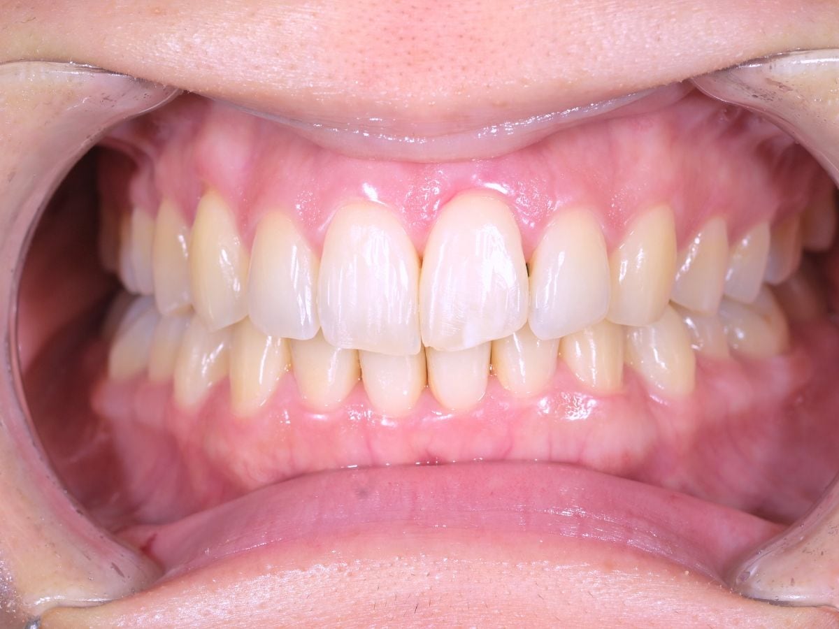
美容歯科 / プレミアムダイヤモンドセラミック No.358844
気になる歯並びと色をセラミックで改善!
アートメイク / mocci眉アートメイク(2Dパウダー) No.358843
【AGA新宿本院】眉アートメイク mocciパウダー技法 初回
若返り / 目の下の切らないクマ・たるみ(ふくらみ)取り 他 No.358842
【若返り】【50代症例】☆症例数第1位!(アイバックリムーブ/2025年上半期/東日本)☆ 【目の下の切らないたるみ取り+コンデンスリッチフェイス】切る・切らない二つの視点からお客様にとって最適な治療を提案します!目の下のたるみ・クマをなくして-5歳に印象チェンジ!【施術後3…
美容歯科 / NEOエナメル No.358841
■湘南歯科グループ技術指導医■見た目だけ綺麗にする治療は治療ではない!難症例のレスキュー医師☆柿野統史医師による【Neoエナメル】
美容歯科 / プレミアムダイヤモンドセラミック 他 No.358839
【上8本】捻じれ・色・形改善
美容歯科 / プレミアムダイヤモンドセラミック 他 No.358838
【上8本】捻じれ・色・形改善
脂肪吸引 / 美ボディ脂肪吸引 No.358837
【脂肪吸引注射 症例件数 No.1の実績】少ないダウンタイムで圧倒的変化ならDr.モテギにおまかせ☆リピーター続出中!※2024年下期 SBC内北海道・東北エリアNo.1
AGA薄毛治療 / 毛根再生注射 他 No.358836
50代男性。毛根再生注射1回、臍帯幹細胞上清液メソ3回、内服薬、外用薬、2か月後の変化。
若返り / 目の下の切らないクマ・たるみ(ふくらみ)取り No.358835
【クマ取り 症例件数No.2の実績】元大学病院外科医による自然な目元の若返り☆ ※2025上期 SBC内中四国
二重・二重整形 / 下眼瞼下制(皮膚切開法) No.358834
「目つき改善!目も大きくなる!」(タレ目)




















































