美容整形の症例写真(美容整形) 新着
症例写真一覧
表示件数:316959件 / 346609件
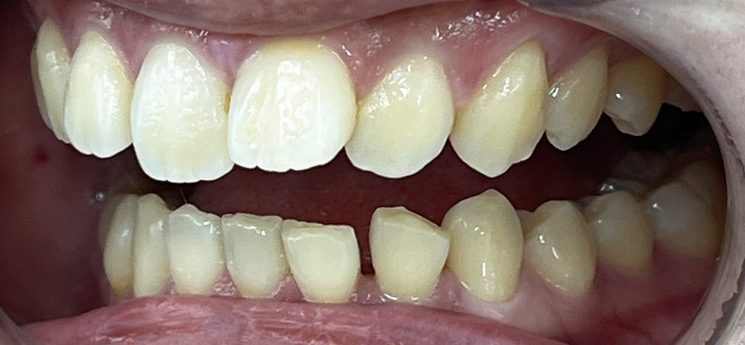
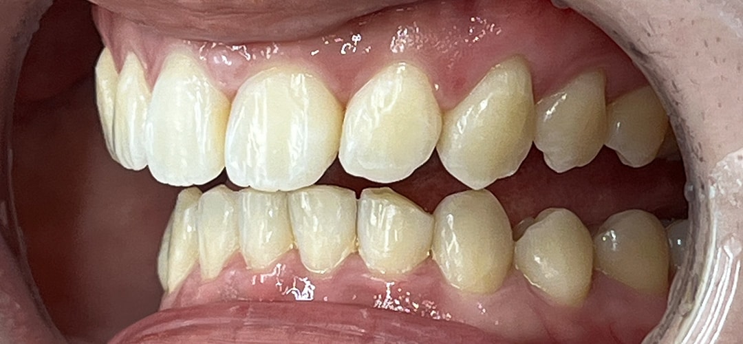
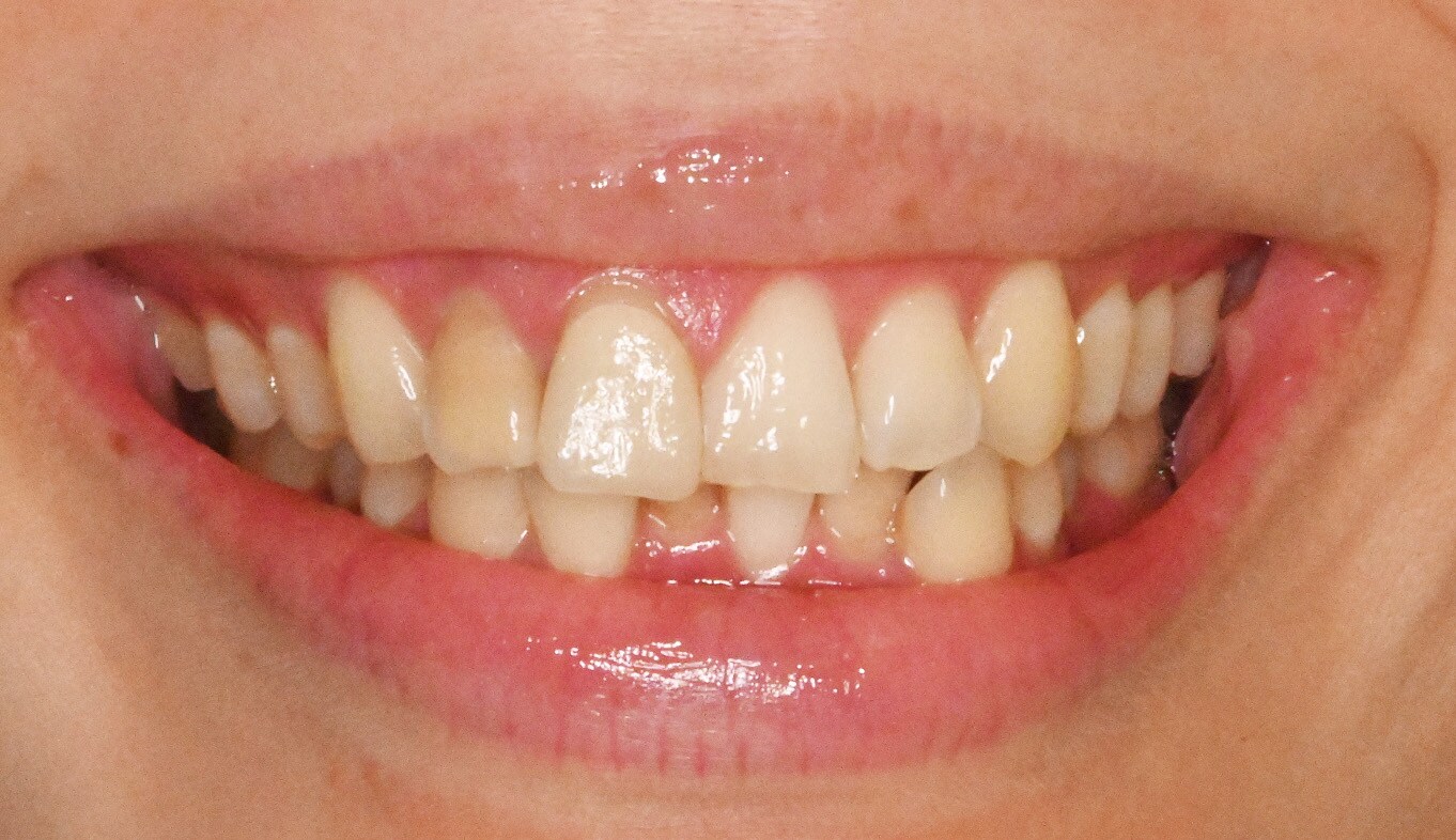
美容歯科 / マウスピース矯正 No.358875
【“似合う”歯並びをプロデュース】竹本先生があなたの笑顔をトータルデザイン!審美性と機能性を両立するマウスピース矯正【インビザラインGO(両顎)】
AGA薄毛治療 / 毛根再生注射 No.358874
毛根再生注射 約3ヶ月後 40代男性
AGA薄毛治療 / 毛根再生注射 他 No.358873
30代男性、毛根再生注射1回、ジェットメソ(2剤)3回、タブレットセット、Dスプレー、3ヶ月後
アートメイク / 医療アートメイク 他 No.358872
【AGA横浜院】【MOCCIパウダー技法】
豊胸・バストの修正 / Motivaエルゴノミックス2(バッグ豊胸) No.358871
■シリコンバック豊胸■【バック豊胸症例数 全国女医症例数1位 2023年下期】経験豊富な女医・多田彩子(一般外科出身)による豊胸術!!シリコンバック豊胸術の綺麗な症例写真で人気◎ 脂肪注入豊胸、乳頭縮小術からバック豊胸まで出来る女医として選ばれています。
若返り / ナチュラル脂肪注射コンデンスリッチ No.358870
◆◆美容外科専門医 名倉が叶える 美顔術!! へこみを無くして美しい輪郭へ!! ◆脂肪注入(頬)1ヶ月後のお写真
脂肪吸引 / Aquicell(アキーセル)脂肪吸引 他 No.358869
★脂肪吸引症例数4年連続全国No1(2021-2024年)!※SBC内 No.1ドクター 名倉俊輔が叶える、ほっそりした太もも!★秋葉原院院長・他院長歴任 脂肪吸引・ボディーメイク専門 名倉俊輔 VASER脂肪吸引認定医 ☆吸引量・デザインへのこだわり☆ 脂肪吸引の真骨頂!!…
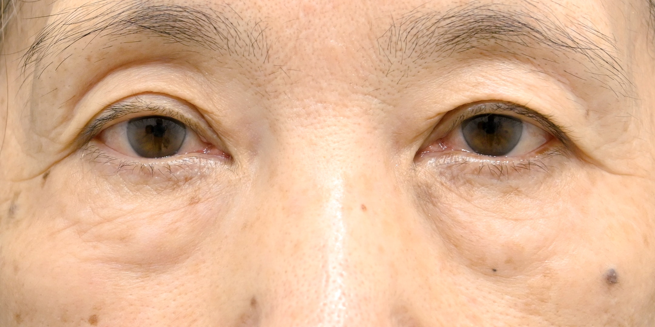
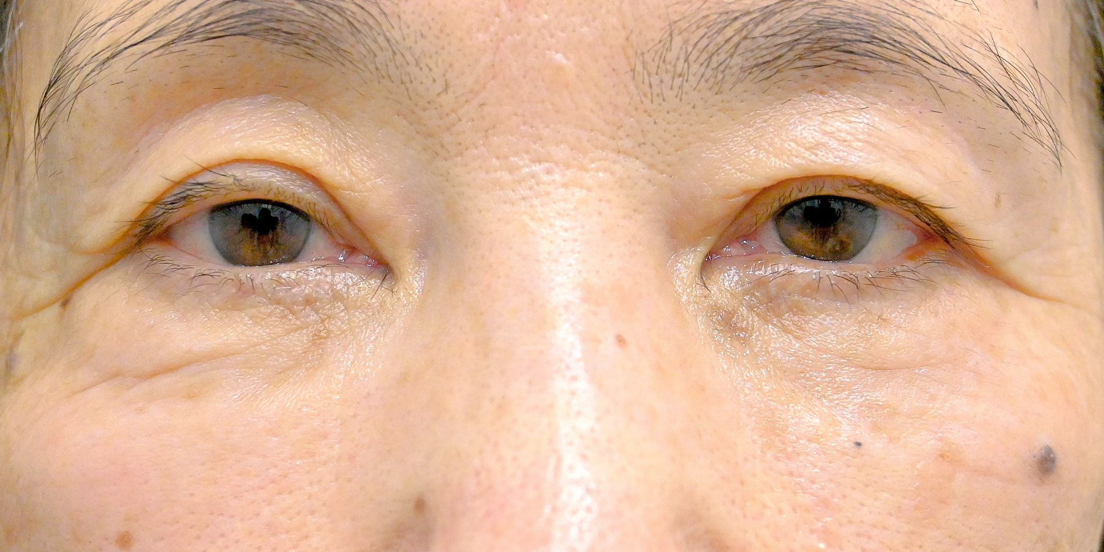
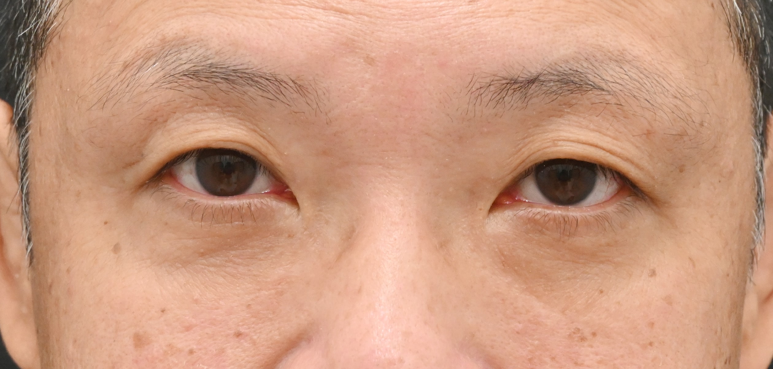
若返り / 裏ハムラ法 他 No.358868
【クマ取り】【ハムラ法】膨らんだ「眼窩脂肪」を凹みに移動してクマ解消!老け見え解消なら奥医師にお任せ!【施術3ヶ月後】【裏ハムラ法×ナチュラル脂肪注射ナノリッチ/コンデンスリッチ】
脂肪吸引 / Aquicell(アキーセル)脂肪吸引 他 No.358866
★脂肪吸引症例数4年連続全国No1(2021-2024年)※SBC内!No.1ドクター 名倉俊輔が叶える、ほっそりとした二の腕!★秋葉原院院長・他院長歴任 脂肪吸引・ボディーメイク専門 名倉俊輔 VASER脂肪吸引認定医 ☆吸引量・デザインへのこだわり☆ 脂肪吸引の真骨頂!!…
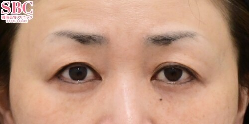
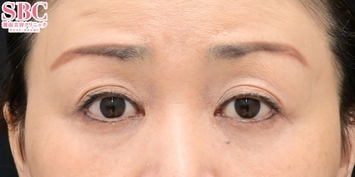
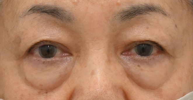
若返り / 眉下リフト(眉下切開) No.358865
◆◆目元切開厳選医師の名倉が叶える -5歳!! 眉下リフト◆◆瞼のたるみでお悩みの方必見!!3ヶ月後のお写真
若返り / ナチュラル脂肪注射コンデンスリッチ 他 No.358864
◆◆美容外科専門医 名倉が叶える -5歳!! 目の下のたるみ取り+脂肪注入(目の下~ゴルゴ線)◆◆目の下のぷっくり、クマでお悩みの方必見!!◆1ヶ月後のお写真
若返り / シークレットリフト 他 No.358863
【若返りMuse】もえか先生の若返り術|お客様一人ひとりに合わせたパーソナルプランで自然な若返り?
若返り / プリマリフト No.358862
◆◆美容外科専門医 名倉が叶える小顔術!!糸リフト6年連続全国1位 (2019年~2024年)!※SBC内◆◆プリマリフト+脂肪吸引(頬+顎下)◆6ヶ月後のお写真
脂肪吸引 / Aquicell(アキーセル)脂肪吸引 他 No.358861
★顔の脂肪吸引 7年連続全国No.1 (2018~2024年)!※SBC内 脂肪吸引エキスパートドクターによる輪郭整形 ★脂肪吸引(頬+顎下)+ジョールファット★3ヶ月後のお写真★顔の脂肪吸引 7年連続全国No.1 (2018~2024年)!※SBC内 脂肪吸引エキスパートド…
二重・二重整形 / グランドループ法 No.358860
【術前→術後1ヶ月】GL=グランドループ埋没法二重です◎ LIPO DESIGN by SHUKATOR【末広形】
二重・二重整形 / グランドループ法 No.358859
【術前→術後1ヶ月】GL=グランドループ埋没法二重です◎LIPO DESIGN by SKR【MIX型】
二重・二重整形 / グランドループ法 No.358858
【術前→術後1ヶ月】目元の印象が変わるGL=グランドループ埋没法二重です◎LIPO DESIGN by SKR【末広型】
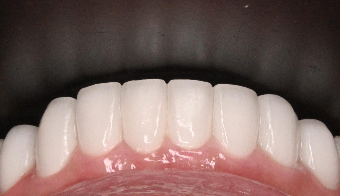
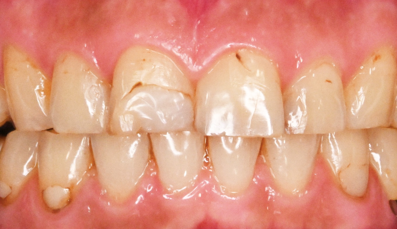
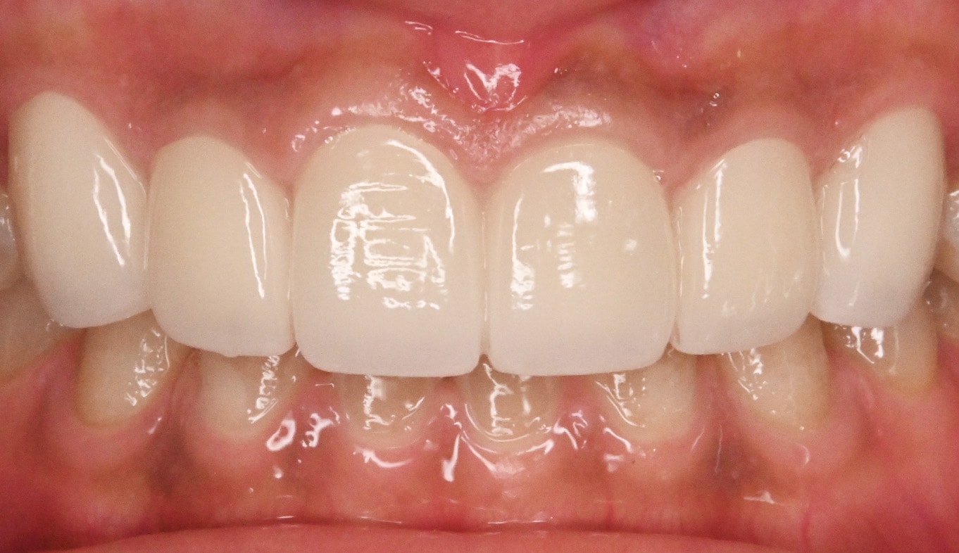
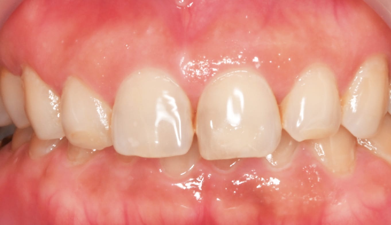
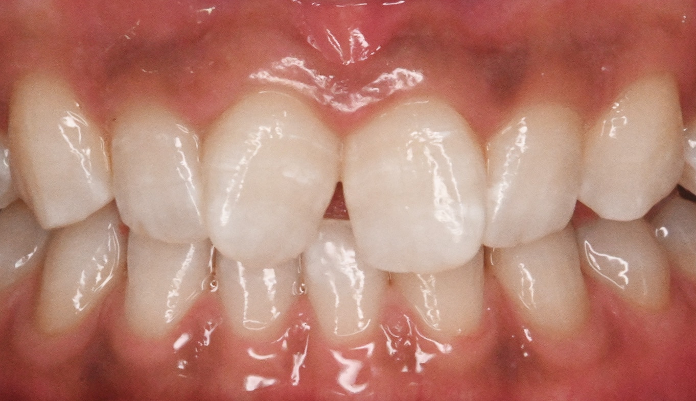
美容歯科 / NEOエナメル No.358857
■湘南歯科グループ技術指導医■見た目だけ綺麗にする治療は治療ではない!難症例のレスキュー医師☆柿野統史医師による【Neoエナメル】
豊胸・バストの修正 / 豊胸インプラントバッグMESMO(メスモ) 他 No.358856
DR.中村の美バスト症例 ≪シリコンバッグMESMO 左右255cc 術前→3ヶ月≫
AGA薄毛治療 / 毛根再生注射 他 No.358855
30代男性、毛根再生注射1回、ジェットメソ(2剤)3回、タブレットセット、Dスプレー、3ヶ月後




















































