美容整形の症例写真(美容整形) 新着
症例写真一覧
表示件数:318671件 / 348377件
脂肪吸引 / 根こそぎVASER脂肪吸引 No.360738
30代 SBC女性スタッフ ベイザー脂肪吸引(二の腕全周・肩・肩甲骨横)
美容皮膚科 / XERF(ザーフ) 他 No.360737
【XERF、うるおいコラーゲンリフト、アゴボトックス】フェイスラインのもたつきを改善!
二重・二重整形 / クイックコスメティーク・トリプルNeo No.360736
【二重・二重整形】【二重】「インスタ見ました」のご指名多数!公式プロフェッショナルドクターのクイックコスメティーク・トリプルNeo
豊胸・バストの修正 / コンデンスリッチ(脂肪注入豊胸) No.360735
DR.中村の美バスト症例 ≪コンデンスリッチ豊胸 /術前→1ヶ月目≫
AGA薄毛治療 / 自毛植毛 他 No.360734
963Gノンシェーブン植毛にて、M字が希望通りに埋まりました!!(その1)
AGA薄毛治療 / 自毛植毛 他 No.360733
963Gノンシェーブン植毛にて、M字が希望通りに埋まりました!!(その2)
AGA薄毛治療 / 自毛植毛 他 No.360732
963Gノンシェーブン植毛にて、M字が希望通りに埋まりました!!(その3)
AGA薄毛治療 / 自毛植毛 他 No.360731
963Gノンシェーブン植毛にて、M字が希望通りに埋まりました!!(その4)
二重・二重整形 / クイックコスメティーク・トリプルNeo No.360730
【クイックコスメティーク・トリプルNEO】インスタからのご指名多数!似合わせ幅の二重ならりう医師へご相談ください
二重・二重整形 / クイックコスメティーク・ダブルNeo No.360729
【20代症例】医師歴30年!Dr.大野執刀 【クイックコスメティークダブルNeo】糸の結び目が表に出ず傷が出来ない!当日からのメイクも可能! 腫れづらくバレづらい二重術!【施術後1カ月経過】
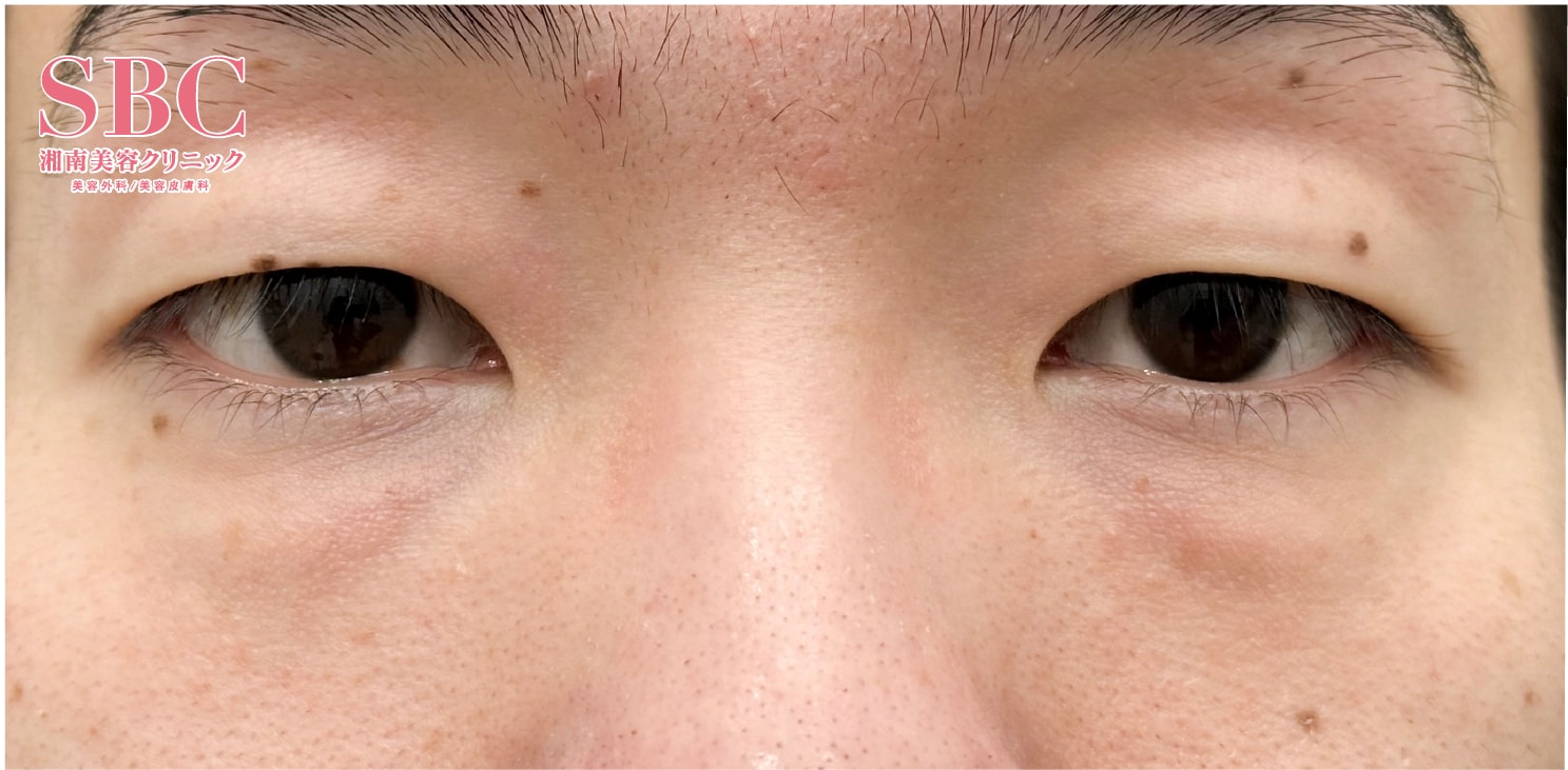
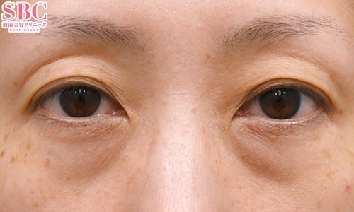
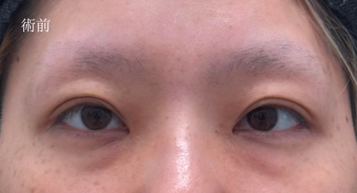
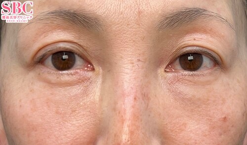
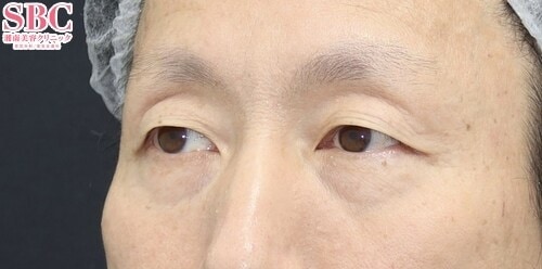
若返り / 目の下の切らないクマ・たるみ(ふくらみ)取り 他 No.360728
【クマ取り】Dr.五十嵐のクマ取りで疲れ目卒業!
二重・二重整形 / クイックコスメティーク・ダブルNeo No.360727
仕上がりの綺麗さと長持ちの両方を兼ね備えたクイックコスメティークダブル!
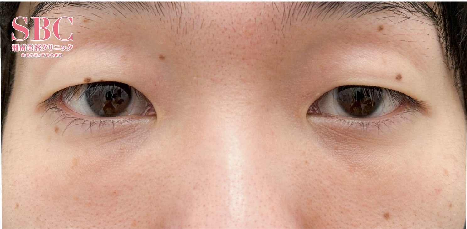
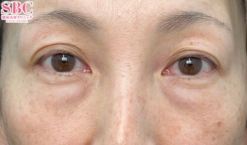
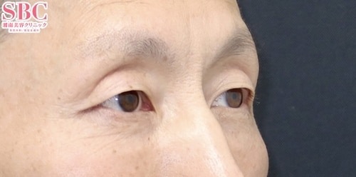
若返り / 目の下の切らないクマ・たるみ(ふくらみ)取り 他 No.360726
【クマ取り】Dr.五十嵐のクマ取りで老け目卒業!
アートメイク / mocci眉アートメイク(2Dパウダー) 他 No.360725
「薄眉さん必見!すっぴんでも盛れる目元に!」韓国発のmocci技法
豊胸・バストの修正 / コンデンスリッチ(脂肪注入豊胸) No.360724
DR.中村の美バスト症例 ≪コンデンスリッチ豊胸 /術前→1ヶ月目≫
美容歯科 / プレミアムダイヤモンドセラミック 他 No.360723
【マウスピース、セラミック両方】歯茎ラインを見せないようにすることで若々しい印象に!!!
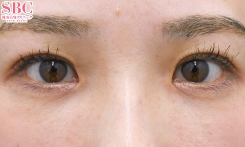
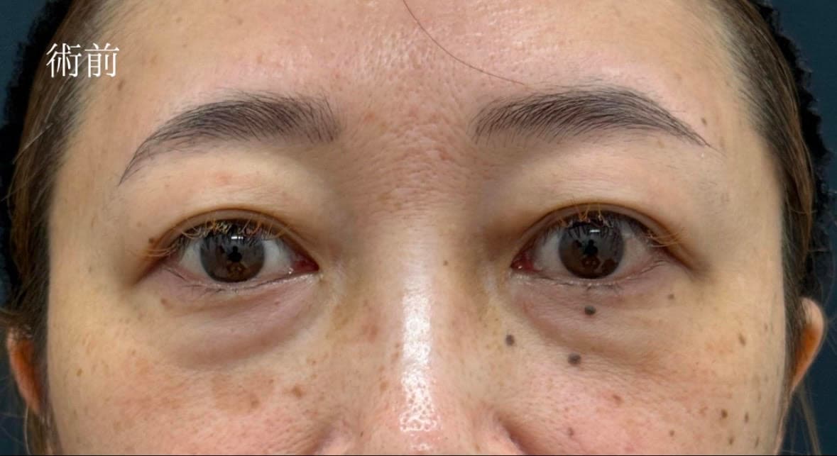
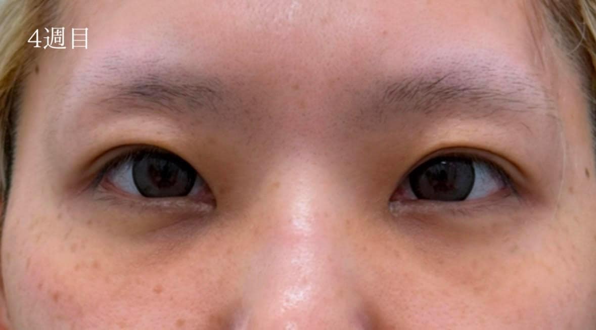
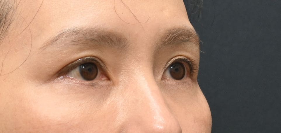
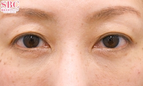
若返り / 裏ハムラ法 No.360722
【28歳美容ナース】目の下のクマ取り+全顔脂肪注入
若返り / 目の下の切らないクマ・たるみ(ふくらみ)取り 他 No.360721
【30歳女性】クマ取り×コンデンスリッチ×ナノリッチ
若返り / ナチュラル脂肪注射コンデンスリッチ 他 No.360720
【38歳男性】クマ取り×コンデンスリッチ(目の下・ゴルゴ)×ナノリッチ(目の下)
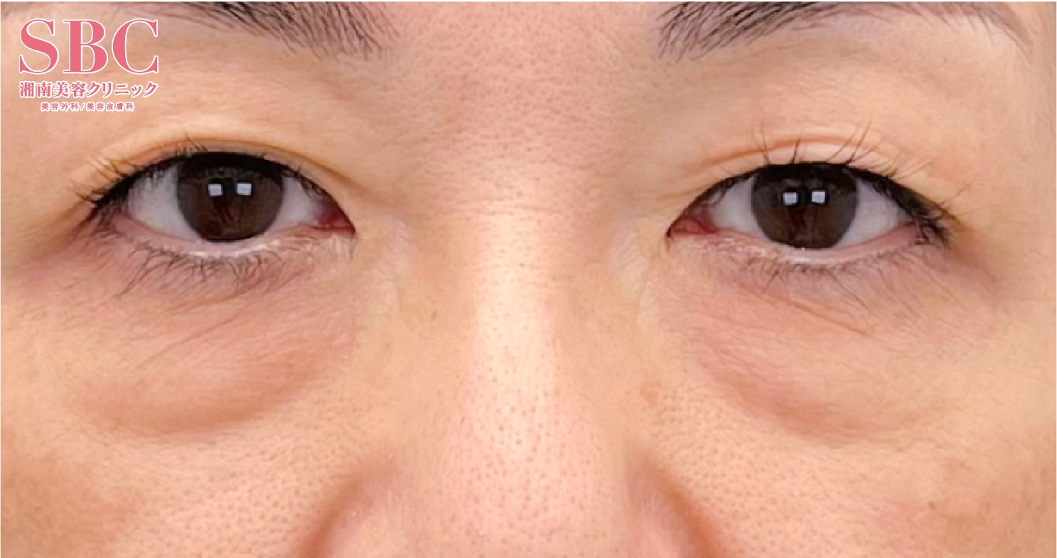
若返り / 裏ハムラ法 No.360719
【47歳女性】裏ハムラ




















































