若返りの症例写真(若返り)
ドクターが選ぶ BEST SHOT AWARD
症例写真一覧
表示件数:53506件 / 350994件
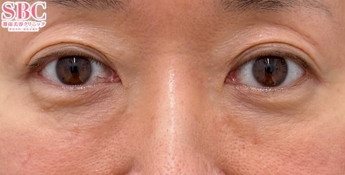
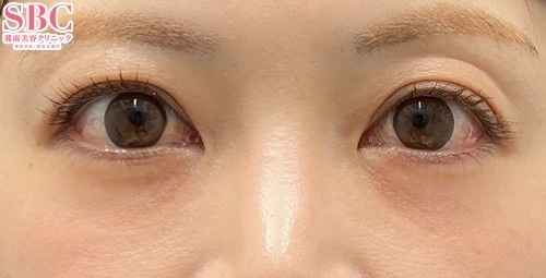
若返り / 目の下の切らないクマ・たるみ(ふくらみ)取り 他 No.259316
【目の下のクマ・たるみ】instagramを見てのご指名数多数♪目周りの自然な若返り(術後1ヶ月・正面)
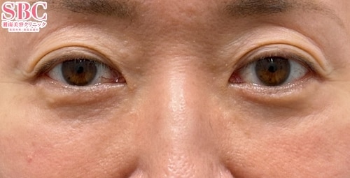
若返り / 目の下の切らないクマ・たるみ(ふくらみ)取り 他 No.258926
【目の下のクマ・たるみ】instagramを見てのご指名数多数♪目周りの自然な若返り(術後1ヶ月・斜位)
若返り / ナチュラル脂肪注射コンデンスリッチ 他 No.256566
【若返り】目の下の切らないたるみ取り+コンデンスリッチフェイス法(1ヶ月後) 九州で手術をお考えなら、美容外科医歴21年の私にお任せください。
若返り / シークレットリフト No.257175
脳神経外科専門医Dr.大野執刀【シークレットリフト28本】当日でも腫れが気にならず、しっかりと引きあがる糸リフトで、お顔の印象を若々しく♪【施術後1ヶ月経過】
若返り / 目の下の切らないクマ・たるみ(ふくらみ)取り 他 No.257515
脳神外科専門医Dr.大野執刀 【目の下の切らないたるみ取り+コンデンスリッチフェイス法(目の下~ゴルゴ線)】老けて見えるゴルゴ線は、脂肪を注入することでふっくら若返りますよ!【施術後1ヶ月経過/化粧あり】
若返り / ナチュラル脂肪注射コンデンスリッチ 他 No.256564
【若返り】目の下の切らないたるみ取り+コンデンスリッチフェイス法(1ヶ月後) 九州で手術をお考えなら、美容外科医歴21年の私にお任せください。
若返り / 目の下の切らないクマ・たるみ(ふくらみ)取り 他 No.256348
切らない若返り術!目周りの若返り症例写真です!(術後1ヶ月・斜位)
若返り / ナチュラル脂肪注射コンデンスリッチ No.255907
こけた頬を改善!たまご型のすっきりフェイスラインに(術後1ヶ月・斜位)
若返り / シークレットリフト No.255887
南山 里奈Dr.執刀【シークレットリフト】自然な若返り★(術前 → 3ヶ月後)☆★☆★若返りも南山Dr.にお任せ下さい☆★☆★
若返り / 目の下の切らないクマ・たるみ(ふくらみ)取り 他 No.238047
切らない若返り術!目周りの若返り症例写真です!
若返り / 目の下の切らないクマ・たるみ(ふくらみ)取り 他 No.238045
切らない若返り術!目周りの若返り症例写真です!
若返り / ナチュラル脂肪注射コンデンスリッチ No.253082
丁寧なカウンセリングで指名殺到中★元麻酔科医・植木健太医師担当【コンデンスリッチフェイス(額)】もう疲れてる??なんて言わせない!!!脂肪を注入することでふっくら愛されフェイスに★これであなたもイマドキ顔に★【術後1ヶ月】
若返り / ナチュラル脂肪注射コンデンスリッチ No.252776
インスタ指名殺到中!!スタッフからも大人気★後藤りえ医師担当【コンデンスリッチフェイス(頬・こめかみ・額)】もう疲れてる??なんて言わせない!!!脂肪を注入することでふっくら愛されフェイスに★これであなたもイマドキ顔に★【術後1週間】
若返り / マイクロCRF療法(FillerGeller、フィラーゲラー) 他 No.250722
目の下の切らないたるみ取り+マイクロCRFですっきり若々しい目元に♪
若返り / ナチュラル脂肪注射コンデンスリッチ No.250498
頬をふっくら若返り!『ホホリッチ』
若返り / ナチュラル脂肪注射コンデンスリッチ No.250497
頬をふっくら若返り!『ホホリッチ』
若返り / 目の下の切らないクマ・たるみ(ふくらみ)取り 他 No.247917
連日予約殺到!【横浜院院長の技術力】【信頼の実績&口コミ人気】お顔を傷つけずに目元若返り!「目の下の切らないクマ・たるみ取り」で老け見えの原因・クマとさよなら♪
若返り / プリマリフト 他 No.247393
【シークレットリフト 】 14本 術後1週間!! 糸リフトでスッキリフェイスライン!!
若返り / プリマリフト 他 No.247476
プリマリフトとヒアルロン酸のコンビネーション治療で、とことん「小顔」にこだわります
若返り / 目の下の切らないクマ・たるみ(ふくらみ)取り 他 No.245023
脳神外科専門医Dr.大野執刀 【目の下の切らないたるみ取り+コンデンスリッチフェイス法(目の下~ゴルゴ線・法令線・口角)】老けて見えるゴルゴ線は、脂肪を注入することでふっくら若返りますよ!【3ヶ月後】


































































