若返りの症例写真(若返り)
ドクターが選ぶ BEST SHOT AWARD
症例写真一覧
表示件数:52571件 / 346827件
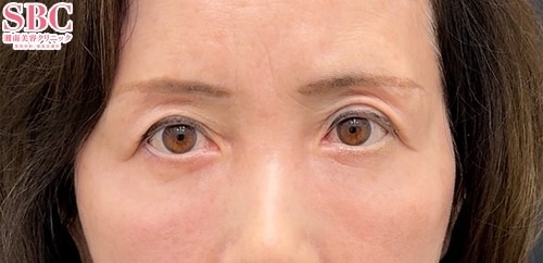
若返り / 裏ハムラ法 No.359023
【クマ取り】 岡山なら平田医師!クマ取り名医による目元の若返り / Case 30代男性
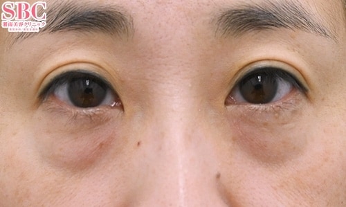
若返り / 裏ハムラ法 他 No.359022
【クマ取り】 岡山なら平田医師!クマ取り名医による目元の若返り / Case 30代 他院修正
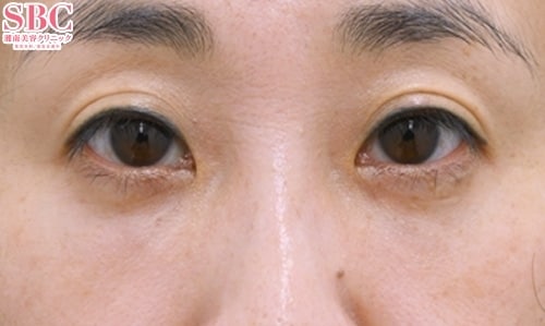
若返り / 裏ハムラ法 No.359021
【クマ取り】 岡山なら平田医師!クマ取り名医による目元の若返り / Case 30代
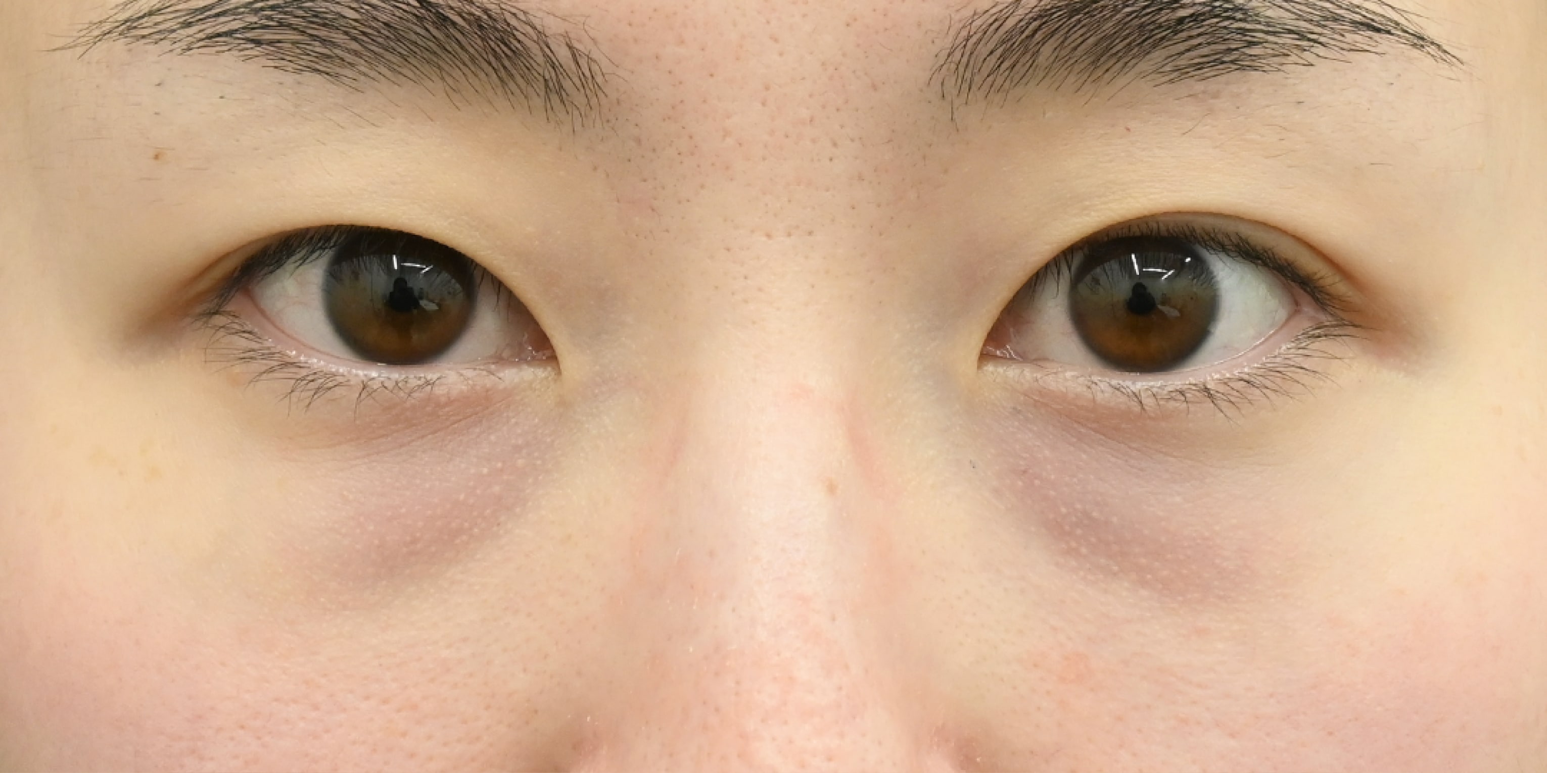
若返り / 裏ハムラ法 他 No.359020
【クマ取り】 岡山なら平田医師!クマ取り名医による目元の若返り / Case 30代
若返り / 裏ハムラ法 他 No.359019
【クマ取り】 岡山なら平田医師!クマ取り名医による目元の若返り / Case 40代
若返り / 裏ハムラ法 No.359018
【クマ取り】 岡山なら平田医師!クマ取り名医による目元の若返り / Case 50代
若返り / 裏ハムラ法 他 No.359017
【クマ取り】 岡山なら平田医師!クマ取り名医による目元の若返り / Case 60代
若返り / 目の下の切らないクマ・たるみ(ふくらみ)取り 他 No.359016
【51歳女性】目の下のクマ・たるみ取り+コンデンスリッチ(目の下・ゴルゴ)+ナノリッチ(目の下)+クイックコスメティークダブル
若返り / 目の下の切らないクマ・たるみ(ふくらみ)取り 他 No.359008
【49歳女性】目の下のクマ取り+コンデンスリッチ脂肪注入(目の下・ゴルゴ)+ナノリッチ(目の下)
若返り / 目の下の切らないクマ・たるみ(ふくらみ)取り 他 No.359003
【48歳女性】目の下の切らないクマたるみ取り+コンデンスリッチ(目の下・ゴルゴ)+ナノリッチ(目の下)
若返り / 目の下の切らないクマ・たるみ(ふくらみ)取り No.359002
【31歳女性】クイックコスメティークダブル+埋没糸抜糸+目の下の切らないクマ取り(脱脂術単体)
若返り / 裏ハムラ法 他 No.358998
【33歳女性】裏ハムラ+コンデンスリッチ(ゴルゴ)+ナノリッチ(目の下)
若返り / 眉下リフト(眉下切開) No.358996
目の上に乗っかった「たるみ」がなくなって若々しいお目元に【50代眉下切開】
若返り / 目の下の切らないクマ・たるみ(ふくらみ)取り 他 No.358995
【47歳女性】目の下のクマ取り+コンデンスリッチ脂肪注入+ナノリッチ脂肪注入
若返り / テスリフト 他 No.358993
糸リフト症例数関西SBC内No.1※2024年下半期【糸リフト】田村式ナチュラルリフト「自然に最大限引き上げ」
若返り / テスリフト 他 No.358989
糸リフト症例数関西SBC内No.1※2024年下半期【糸リフト】田村式ナチュラルリフト「自然に最大限引き上げ」
若返り / 目の下の切らないクマ・たるみ(ふくらみ)取り 他 No.358981
【クマ取り+脂肪注入】目元の若返りなら田中医師にお任せください!
若返り / 目の下の切らないクマ・たるみ(ふくらみ)取り 他 No.358979
【クマ取り+脂肪注入】目元の若返りなら田中医師にお任せください!
若返り / ナチュラル脂肪注射コンデンスリッチ No.358975
◆◆美容外科専門医 名倉が叶える 美顔術!! へこみを無くして美しい輪郭へ!! ◆脂肪注入(顎)6ヶ月後のお写真
若返り / 眉下リフト(眉下切開) No.358972
◆◆目元切開厳選医師の名倉が叶える -5歳!! 眉下リフト◆◆瞼のたるみでお悩みの方必見!!1ヶ月後のお写真





























































