若返りの症例写真(若返り)
ドクターが選ぶ BEST SHOT AWARD
症例写真一覧
表示件数:53029件 / 348832件
若返り / ナチュラル脂肪注射コンデンスリッチ No.361096
◆◆美容外科専門医 名倉が叶える 美顔術!! へこみを無くして美しい輪郭へ!! ◆脂肪注入(顎)1ヶ月後のお写真
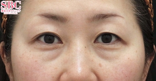
若返り / 眉下リフト(眉下切開) No.361092
◆◆目元切開厳選医師の名倉が叶える -5歳!! 眉下リフト◆◆瞼のたるみでお悩みの方必見!!3ヶ月後のお写真
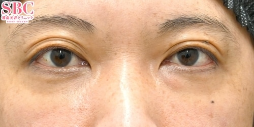
若返り / ナチュラル脂肪注射コンデンスリッチ 他 No.361091
◆◆美容外科専門医 名倉が叶える -5歳!! 目の下のたるみ取り+脂肪注入(目の下~ゴルゴ線)◆◆目の下のぷっくり、クマでお悩みの方必見!!◆6ヶ月後のお写真
若返り / プリマリフト No.361090
◆◆美容外科専門医 名倉が叶える小顔術!!糸リフト6年連続全国1位 (2019年~2024年)!※SBC内◆◆プリマリフト+脂肪吸引(頬+顎下)◆ 8ヶ月後のお写真
若返り / 目の下の切らないクマ・たるみ(ふくらみ)取り 他 No.361086
【元・大学病院形成外科講師】形成外科専門医モリゾーが執刀する切らないクマとり+脂肪注入
若返り / ミニ裏ハムラ法 No.361085
新治療【クマ取り/ミニ裏ハムラ法】統括技術指導医/美容外科専門医/プレミアムドクター坂西執刀(横浜東口院)★クマ取りはベテランドクターにお任せください!
若返り / ミニ裏ハムラ法 No.361084
新治療【クマ取り/ミニ裏ハムラ法】統括技術指導医/美容外科専門医/プレミアムドクター坂西執刀(横浜東口院)★クマ取りはベテランドクターにお任せください!
若返り / ミニ裏ハムラ法 No.361083
新治療【クマ取り/ミニ裏ハムラ法】統括技術指導医/美容外科専門医/プレミアムドクター坂西執刀(横浜東口院)★クマ取りはベテランドクターにお任せください!
若返り / ナチュラル脂肪注射コンデンスリッチ No.361081
◆◆美容外科専門医 名倉が叶える 美顔術!! へこみを無くして美しい輪郭へ!! ◆脂肪注入(額)1ヶ月後のお写真
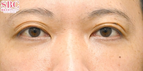
若返り / 眉下リフト(眉下切開) No.361078
◆◆目元切開厳選医師の名倉が叶える -5歳!! 眉下リフト◆◆瞼のたるみでお悩みの方必見!!1ヶ月後のお写真
若返り / ナチュラル脂肪注射コンデンスリッチ 他 No.361077
◆◆美容外科専門医 名倉が叶える -5歳!! 目の下のたるみ取り+脂肪注入(目の下~ゴルゴ線)◆◆目の下のぷっくり、クマでお悩みの方必見!!◆3ヶ月後のお写真
若返り / プリマリフト No.361076
◆◆美容外科専門医 名倉が叶える小顔術!!糸リフト6年連続全国1位 (2019年~2024年)!※SBC内◆◆プリマリフト+脂肪吸引(頬+顎下)◆ 3ヶ月後のお写真
若返り / 裏ハムラ法 他 No.361058
【クマ取り】【ハムラ法】膨らんだ「眼窩脂肪」を凹みに移動してクマ解消!老け見え解消なら奥医師にお任せ!【施術1ヶ月後】【裏ハムラ法×ナノリッチ】
若返り / 裏ハムラ法 No.361028
【元・大学病院形成外科講師】形成外科専門医モリゾーが執刀する裏ハムラ
若返り / 切開ハムラ(表ハムラ)法 No.361026
【若返り】【50代症例】☆症例数第1位!(アイバックリムーブ/2025年上半期/東日本)☆【切開ハムラ】切る・切らない二つの視点からお客様にとって最適な治療を提案します!目の下のたるみ・クマをなくして-5歳に印象チェンジ!【施術後3か月経過】
若返り / 目の下の切らないクマ・たるみ(ふくらみ)取り 他 No.361023
【目の下のクマ取り】【術後1ヶ月経過】【池袋東口院】池袋でクマ取りするなら高山医師にお任せください!
若返り / 裏ハムラ法 No.361012
目の下の切らないクマ治療、裏ハムラ法で圧倒的若返り体験を!
若返り / 裏ハムラ法 No.361011
目の下の切らないクマ治療、裏ハムラ法で圧倒的若返り体験を!
若返り / 裏ハムラ法 No.360997
目の下の切らないクマ治療、裏ハムラ法で圧倒的若返り体験を!
若返り / ナチュラル脂肪注射コンデンスリッチ No.360986
◆◆美容外科専門医 名倉が叶える 美顔術!! へこみを無くして美しい輪郭へ!! ◆脂肪注入(頬)1ヶ月後のお写真






























































