若返りの症例写真(若返り)
ドクターが選ぶ BEST SHOT AWARD
症例写真一覧
表示件数:53511件 / 351009件
若返り / ナチュラル脂肪注射コンデンスリッチ No.363432
◆◆美容外科専門医 名倉が叶える 美顔術!! へこみを無くして美しい輪郭へ!! ◆脂肪注入(頬)6ヶ月後のお写真
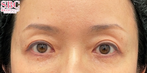
若返り / 眉下リフト(眉下切開) No.363429
◆◆目元切開厳選医師の名倉が叶える -5歳!! 眉下リフト◆◆瞼のたるみでお悩みの方必見!!1ヶ月後のお写真
若返り / 目の下の切らないクマ・たるみ(ふくらみ)取り No.363428
◆◆美容外科専門医 名倉が叶える -5歳!! 目の下のたるみ取り+脂肪注入(目の下~ゴルゴ線)◆◆目の下のぷっくり、クマでお悩みの方必見!!◆1ヶ月後のお写真
若返り / プリマリフト No.363427
◆◆美容外科専門医 名倉が叶える小顔術!!糸リフト6年連続全国1位 (2019年~2024年)!※SBC内◆◆プリマリフト+脂肪吸引(頬+顎下)◆ 3ヶ月後のお写真
若返り / 裏ハムラ法 No.363423
【若返り】【30代症例】☆症例数第1位!(アイバックリムーブ/2025年上半期/東日本)☆【裏ハムラ】切る・切らない二つの視点からお客様にとって最適な治療を提案します!目の下のたるみ・クマをなくして-5歳に印象チェンジ!【施術後1ヶ月経過】
若返り / プリマリフト No.363421
糸リフトの魔術師Drとみやまたかひろ!プリマリフトで最大級の変化をあなたに!!
若返り / ナチュラル脂肪注射コンデンスリッチ No.363420
【脂肪注入】若返りもボリュームアップも脂肪注入で叶える!
若返り / ウルセラプライム No.363386
【ウルセラプライム】頬・フェイスライン・目元のたるみ改善&リフトアップ!
若返り / 裏ハムラ法 他 No.363372
【クマ取り 症例件数No.2の実績】元大学病院外科医による自然な目元の若返り☆ ※2025上期 SBC内中四国
若返り / 裏ハムラ法 他 No.363370
【クマ取り 症例件数No.2の実績】元大学病院外科医による自然な目元の若返り☆ ※2025上期 SBC内中四国
若返り / ウルセラプライム No.363364
【ウルセラプライム】頬・フェイスライン・目元のたるみ改善&リフトアップ!
若返り / ウルセラプライム No.363363
【ウルセラプライム】頬・フェイスライン・目元のたるみ改善&リフトアップ!
若返り / 裏ハムラ法 他 No.363359
【クマ取り 症例件数No.2の実績】元大学病院外科医による自然な目元の若返り☆ ※2025上期 SBC内中四国
若返り / 裏ハムラ法 No.363340
【若返り】【50代症例】☆症例数第1位!(アイバックリムーブ/2025年上半期/東日本)☆【裏ハムラ】切る・切らない二つの視点からお客様にとって最適な治療を提案します!目の下のたるみ・クマをなくして-5歳に印象チェンジ!【施術後1か月経過】
若返り / ナチュラル脂肪注射コンデンスリッチ No.363334
★脂肪注入全国No.1(2025年)!※SBC内◆◆美容外科専門医 名倉が叶える 美顔術!! へこみを無くして美しい輪郭へ!! ◆脂肪注入(顎)1ヶ月後のお写真
若返り / 眉下リフト(眉下切開) No.363330
◆◆目元切開厳選医師の名倉が叶える -5歳!! 眉下リフト◆◆瞼のたるみでお悩みの方必見!!1ヶ月後のお写真
若返り / 目の下の切らないクマ・たるみ(ふくらみ)取り 他 No.363329
■若返り■目の下の切らないクマ・たるみ取り!Instagramの綺麗な症例写真で人気!!院長の実力!!安心の女医・多田彩子によるクマ取り!理想のお目元に仕上げます★【クマ取り】【コンデンスリッチフェイス(額・こめかみ)】
若返り / 目の下の切らないクマ・たるみ(ふくらみ)取り No.363328
◆◆美容外科専門医 名倉が叶える -5歳!! 目の下のたるみ取り+脂肪注入(目の下~ゴルゴ線)◆◆目の下のぷっくり、クマでお悩みの方必見!!◆1ヶ月後のお写真
若返り / プリマリフト No.363327
◆◆美容外科専門医 名倉が叶える小顔術!!糸リフト6年連続全国1位 (2019年~2024年)!※SBC内◆◆プリマリフト+脂肪吸引(頬+顎下)◆ 3ヶ月後のお写真
若返り / 裏ハムラ法 他 No.363317
【クマ取り】【ハムラ法】膨らんだ「眼窩脂肪」を凹みに移動してクマ解消!老け見え解消なら奥医師にお任せ!【施術3ヶ月後】【裏ハムラ法×ナチュラル脂肪注射ナノリッチ】































































