症例写真(竹迫真那子)
症例写真一覧
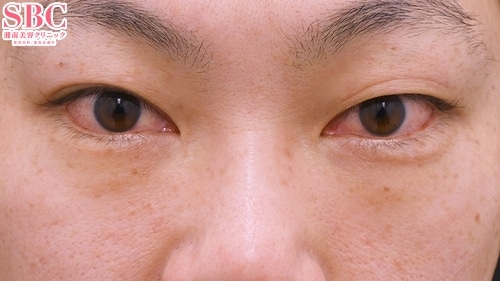
表示件数:132件 / 348179件
若返り / 目の下の切らないクマ・たるみ(ふくらみ)取り 他 No.357348
【26歳女性】目の下の切らないクマたるみ取り+脂肪注入
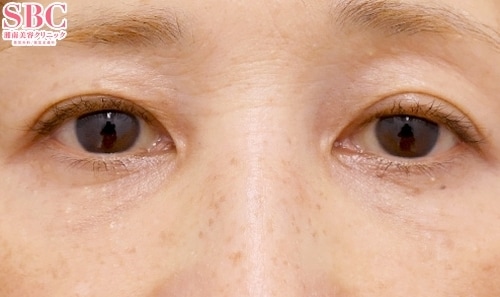
若返り / 目の下の切らないクマ・たるみ(ふくらみ)取り 他 No.357346
【51歳美女性】目の下のクマ取り+脂肪注入
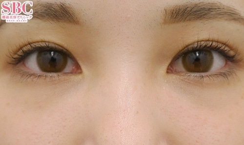
若返り / ナチュラル脂肪注射コンデンスリッチ 他 No.354889
【27歳美容ナース】目の下のクマ取り+全顔脂肪注入
若返り / ナチュラル脂肪注射コンデンスリッチ 他 No.354890
【27歳美容ナース】目の下のクマ取り+全顔脂肪注入
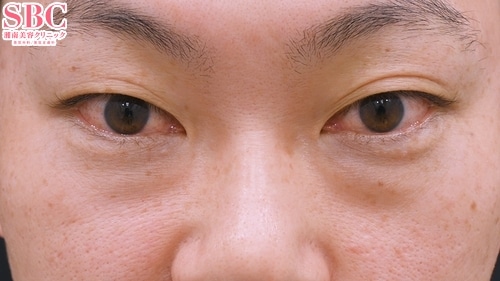
若返り / 目の下の切らないクマ・たるみ(ふくらみ)取り 他 No.352639
【40代女性】目の下のクマ取り
若返り / 目の下の切らないクマ・たるみ(ふくらみ)取り No.351322
【クマ取り+コンデンスリッチ+ナノリッチ】40代女性 クマ取りと脂肪注入で叶える愛されオージーカーブへ
若返り / 目の下の切らないクマ・たるみ(ふくらみ)取り 他 No.330582
老け顔脱出で印象UP!ダウンタイムの短いクマトリ【目の下の切らないクマ・たるみ取り+コンデンスリッチフェイス法(目の下・ゴルゴ)+ナノリッチ(目の下)】instagramで人気の竹迫真那子院長!女性ならではの繊細で丁寧な技術で不自然さを残さない目元の手術が得意です♪
二重・二重整形 / フォーエバー二重術(R) No.319716
憧れのぱっちり二重に♪フォーエバー二重術
若返り / 目の下の切らないクマ・たるみ(ふくらみ)取り 他 No.359016
【51歳女性】目の下のクマ・たるみ取り+コンデンスリッチ(目の下・ゴルゴ)+ナノリッチ(目の下)+クイックコスメティークダブル
若返り / 目の下の切らないクマ・たるみ(ふくらみ)取り 他 No.359008
【49歳女性】目の下のクマ取り+コンデンスリッチ脂肪注入(目の下・ゴルゴ)+ナノリッチ(目の下)
若返り / 目の下の切らないクマ・たるみ(ふくらみ)取り 他 No.359003
【48歳女性】目の下の切らないクマたるみ取り+コンデンスリッチ(目の下・ゴルゴ)+ナノリッチ(目の下)
若返り / 目の下の切らないクマ・たるみ(ふくらみ)取り No.359002
【31歳女性】クイックコスメティークダブル+埋没糸抜糸+目の下の切らないクマ取り(脱脂術単体)
若返り / 裏ハムラ法 他 No.358998
【33歳女性】裏ハムラ+コンデンスリッチ(ゴルゴ)+ナノリッチ(目の下)
若返り / 目の下の切らないクマ・たるみ(ふくらみ)取り 他 No.358995
【47歳女性】目の下のクマ取り+コンデンスリッチ脂肪注入+ナノリッチ脂肪注入
若返り / 目の下の切らないクマ・たるみ(ふくらみ)取り 他 No.357355
【28歳美容ナース】目の下のクマ取り+全顔脂肪注入
若返り / 目の下の切らないクマ・たるみ(ふくらみ)取り 他 No.357354
【55歳女性】目の下の切らないクマたるみ取り+脂肪注入
若返り / 目の下の切らないクマ・たるみ(ふくらみ)取り 他 No.357353
【28歳美容ナース】目の下のクマ取り+全顔脂肪注入
若返り / ナチュラル脂肪注射入れ放題 他 No.357352
【30歳美容ナース】目の下のクマ取り+全顔脂肪注入
若返り / 目の下の切らないクマ・たるみ(ふくらみ)取り 他 No.357351
【26歳女性】目の下のクマ取り+全顔脂肪注入
脂肪吸引 / 根こそぎVASER脂肪吸引 No.356234
【31歳女性】VASER脂肪吸引太ももフル









































