症例写真(池井浩之)
症例写真一覧
表示件数:37件 / 346376件
若返り / プロファイロ No.357945
プロファイロでお肌の自然な若返りへ
若返り / プロファイロ No.357941
自然な美しさを手に入れる肌育治療「プロファイロ」
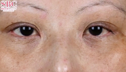
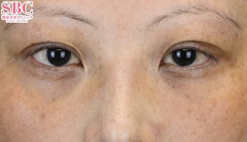
若返り / No.357940
リジュランHBで目の下の小じわ、赤みを改善
若返り / 女優注射(R)~リジュランHB+ボトックス~ No.357918
女優注射で綺麗なおでこへ
若返り / ジャルプロスーパーハイドロ No.357887
話題の次世代肌育ジャルプロスーパーハイドロ
美容皮膚科 / ボトックス(アラガン) No.357886
エラボトックスでエラの張りを軽減
医療ダイエット / クールスカルプティング(R)・ エリート(クルスカダブル) No.357820
クールスカルプティングで腹部の皮下脂肪を改善
医療ダイエット / オンダリフト・オンダリフトボディ No.357772
オンダリフトでフェイスラインのもたつきを改善
美容皮膚科 / ボトックス(アラガン) No.357771
肩ボトックスで肩のラインをスッキリ
医療ダイエット / オンダリフト・オンダリフトボディ No.357696
オンダリフトでフェイスラインのもたつきを改善
医療ダイエット / クールスカルプティング(R)・ エリート(クルスカダブル) No.357503
クールスカルプティングで腰の脂肪を撃退
医療レーザー外来 / デンシティ(DENSITY) No.357426
デンシティで上まぶたのたるみを改善
若返り / ヒアルロン酸 No.357364
ヒアルロン酸でほうれい線を改善
若返り / ヒアルロン酸 No.357363
ヒアルロン酸でこめかみの凹みを改善
若返り / ベビーコラーゲン(ヒューマラジェン) No.357362
ベビーコラーゲンで目の下の色味、凹みを改善
美容皮膚科 / ボトックス(アラガン) No.354906
ボトックスで額の表情時のシワを改善!
若返り / ジャルプロスーパーハイドロ No.354905
ジャルプロスーパーハイドロで自然な若返りを
若返り / ヒアルロン酸 No.354521
額の凹みにヒアルロン酸で自然な仕上がりへ
若返り / リジュランS 他 No.352563
首の小じわ・横じわにプロファイロ+リジュランS
若返り / くまぴたスレッド No.352544
目の下のくまに新治療「くまぴたスレッド」!










































