【医師解説】裏ハムラ法で「老け見えクマ」と「面長」をW改善!湘南美容クリニック蒲田院 上岡院長が教える中顔面短縮の黄金比
「写真を撮ったとき、以前より顔がのっぺりして見える」
その悩み「老け見えクマ」と、それによって引き起こされる「面長印象」が原因かもしれません。
実はこの2つ、美容医療で同時に解決できるのをご存知ですか?
この記事では、そんな「老け見えクマ」と「面長印象」という、2つの大きな悩みに同時にアプローチする施術について、
湘南美容クリニック蒲田院で、クマ治療を得意とする上岡院長が徹底解説します。
2025.11.10


上岡院長が得意とする「裏ハムラ法」は、
クマを解消するだけでなく、中顔面を短く見せる効果も期待できる注目の施術。
さらに、相性抜群の施術を組み合わせることで、
理想の「目元」と「キュッと引き締まった中顔面」を手に入れる "黄金比" をご紹介します。
もうコンシーラーに頼らない、自信の持てる明るい表情を手に入れませんか?
なぜ?「老け見えクマ」と「面長印象」の深刻な関係
01
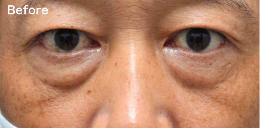
原因①:「老け見えクマ」の正体は「影」
しかし、メイクで隠しきれないクマの多くは、皮膚の「凹凸」によって生まれる「黒クマ(影クマ)」です。
💎目の下の「膨らみ」: 眼球を支えている脂肪(眼窩脂肪)が、加齢や骨格の影響で前に押し出されてきたもの。
💎目の下の「凹み」: 膨らみのすぐ下にある、頬との境界線。
この「膨らみ」と「凹み」の高低差が影を生み出し、「疲れている」「寝不足」「老けて見える」といった印象(=老け見えクマ)を作り出してしまうのです。
02
原因②:「面長印象」は「頬の重心」の低下
それは、目の下の「凹み」が目立つことで、視覚的な頬のトップ位置(一番高く見える位置)が下がって見えるためです。
頬の重心が下がると、目の下から口元までの距離(=中顔面)が間延びしたように見え、
結果として「のっぺりとした顔」「垢抜けない顔」「面長な印象」に繋がってしまいます。
つまり、「老け見えクマ」を根本的に解決することは、同時に「面長印象」の改善にも直結するのです。
蒲田院 上岡院長解説!「裏ハムラ法」の魅力
01
「裏ハムラ法」とは?
💎脂肪を「取る」のではない: 単純に脂肪を「除去」する(=脱脂)のではありません。
💎脂肪を「移動」させる: 膨らんでいる箇所の脂肪を、凹みの原因となっていた目の下の溝(頬との境界線)に移動させ、平らに固定します。
「裏ハムラ法」だから叶う3つのメリット
01
メリット1:クマの原因である『凹凸』を根本から解消
02
メリット2:自分の脂肪で『自然なボリューム』を再配置
『裏ハムラ法』は、凹んでいた部分にご自身の脂肪でボリュームを補うため、
目の下から頬にかけて自然な丸みが生まれ、若々しい印象を取り戻すことができます。
03
メリット3:頬の重心が上がり『中顔面短縮』への相乗効果
「面長印象」が解消され、キュッと引き締まった垢抜け顔に近づきます。
上岡院長推奨!中顔面短縮の「黄金比」を生む最強コンビネーション施術4選
01
①裏ハムラ×涙袋形成(ヒアルロン酸等)
裏ハムラ法で整えた土台に涙袋を作ることで、より魅力的で若々しい目元に。
02
②裏ハムラ×メーラファット除去
目の下の凹凸を整え、さらに頬をスッキリさせることで、立体感とシャープさを両立します。
03
③裏ハムラ × 脂肪注入(コンデンスリッチ等)
ご自身の脂肪で自然な丸みをプラスし、より若々しいリフトアップ効果を。
04
④裏ハムラ×糸リフト
裏ハムラ法のダウンタイムやリスクは?
01
02
主なダウンタイム
03
リスク・副作用
04
メイクや仕事
仕事:基本お休みしなくても大丈夫です
気になる方は翌日〜3日ほどお休みしていただければと思います◎
蒲田院 上岡院長のこだわり
01
裏ハムラ法は、ご自身の組織を最大限に活かす素晴らしい施術です。
さらに、一人ひとりの状態に合わせて最適な施術を組み合わせる『オーダーメイド治療』こそが、中顔面短縮成功の鍵です。
蒲田院では、丁寧なカウンセリングであなたの理想を伺い、ベストなご提案をいたします。
ぜひ一度、お気軽にご相談ください。
まとめ:「老け見えクマ」と「面長印象」は、蒲田院で同時改善!
01
コンプレックスを解消し、自信に満ちた明るい表情を手に入れませんか?
湘南美容クリニック蒲田院では、カウンセリング無料です。
まずは上岡院長にお悩みを相談してみましょう!
アクセス
01
蒲田院は神奈川県内・東京都内からのアクセスも抜群!
羽田空港最短!
▪️東京駅から23分
▪️横浜駅から18分
▪️川崎駅から5分
京浜東北線・東急池上線・東急多摩川線・京急も通ってます⭕️
JR蒲田駅 徒歩1分
京急蒲田駅 徒歩10分
たくさんのご来院お待ちしております😌
CLINICクリニック案内

女医在籍
モニター募集
駅チカ
| 所在地 | 東京都大田区蒲田5丁目17-2 ヒューリック蒲田ビル8F |
|---|---|
| 診療時間 |
診療時間/AM9:00~PM6:00 予約制 ※土・日・祝も毎日営業 |
| アクセス | ・JR蒲田駅 徒歩1分 ・京急蒲田駅 徒歩10分 |
湘南美容クリニック東京蒲田院では、二重整形や若返りなどの施術を中心に、クールスカルプティングなどの痩身治療、医療脱毛や医療ハイフをはじめとする医療レーザー治療や美容皮膚科治療まで幅広い施術を取り扱っております。
JR「蒲田駅」より徒歩1分、京急「蒲田駅」より徒歩10分です♪
まずはお気軽に、お電話もしくはメールにてお問い合わせください。
監修医師紹介
SBCメディカルグループ クリニック一覧
北海道
東北地区
東京
新宿本院
新宿南口院
新宿アネックス24
湘南美容皮フ科® 新宿東口院
湘南美容外科 新大久保院
銀座院
銀座一丁目院
Regno銀座院
新橋銀座口院
渋谷院
湘南美容皮フ科® 渋谷公園通り院
原宿院
SBC NEO Skin Clinic 恵比寿
イテウォンビューティークリニック 恵比寿院
イテウォンビューティークリニック 南青山院
表参道院
池袋東口院
池袋西口院
池袋メトロポリタン口院
品川院
湘南美容皮フ科® 五反田院
秋葉原院
上野院
御茶ノ水こどもレーザークリニック
(保険診療・形成外科・美容皮膚科・美容外科)
錦糸町院
豊洲院
東京蒲田院(大田区)
北千住院
自由が丘院
二子玉川院
赤羽院
吉祥寺院
調布院
立川院
町田院
湘南皮膚科クリニック町田院(美容皮膚科)
八王子院
SBCスキンLab(ラボ)新宿
レーザー西新宿院/スキンLab新宿
湘南歯科クリニック 新宿院
湘南歯科クリニック 池袋院
御茶ノ水こどもレーザークリニック
(こどものあざレーザー)
湘南皮膚科クリニック町田院(皮膚科・泌尿器科)
湘南AGAクリニック新宿本院
湘南AGAクリニック新宿サザンテラス口院
湘南AGAクリニック池袋院
新宿近視クリニック
六本木レディースクリニック六本木院
六本木レディースクリニック池袋院
SBC整形外科クリニック西新宿本院
湘南メディカル記念病院
関東
横浜院
横浜東口院
イオン横浜西口院
新横浜院
横浜青葉台院
川崎院
武蔵小杉院
新百合ヶ丘院
橋本院(神奈川県相模原市)
藤沢院(神奈川県藤沢市)
横須賀中央院
辻堂アカデミア
本厚木院
湘南美容皮フ科® 平塚院
小田原院
大宮東口院
大宮西口院
浦和院
川口院
南越谷院
所沢院
川越院
熊谷院
千葉センシティ院
湘南美容皮フ科® 千葉院
船橋院
松戸院
柏院
新浦安院
津田沼院
流山おおたかの森院
高崎院
宇都宮院
水戸院
SBC横浜駅前整形外科クリニック
湘南歯科クリニック 横浜院
湘南歯科クリニック 大宮院
湘南歯科クリニック 千葉院
湘南AGAクリニック横浜院
湘南AGAクリニック大宮東口院
神奈川ウィメンズクリニック
神奈川レディースクリニック
中部地区
名古屋駅本院
名古屋院
名古屋栄院
イテウォンビューティークリニック 名古屋栄院
金山院
豊田院
豊橋院
湘南美容皮フ科® 栄矢場町院
浜松院
静岡院
静岡南口院
新潟院
長岡院
富山院
金沢院
福井院
甲府院
長野院
岐阜院
四日市院
湘南歯科クリニック 名古屋院
湘南AGAクリニック名古屋院
関西地区
京都駅ビル院
京都院(11.4リニューアルOPEN)
湘南美容皮フ科® 京都四条院
大阪梅田本院
湘南美容皮フ科® 梅田茶屋町院
大阪駅前院(女性専用クリニック)
大阪心斎橋院
イテウォンビューティークリニック 大阪心斎橋院
大阪四ツ橋院
大阪なんば院
大阪あべの院
大阪京橋院
大阪堺東院
江坂院
枚方院
高槻院
神戸三宮院
イテウォンビューティークリニック 神戸院
明石院
姫路院
西宮北口院
奈良院
和歌山院
湘南歯科クリニック 大阪心斎橋院
湘南AGAクリニック大阪院
中国・四国地区
九州・沖縄地区
オンラインクリニック クリニック一覧
リッツ美容外科 クリニック一覧
ゴリラクリニック クリニック一覧
リゼクリニック クリニック一覧
海外 クリニック一覧
ベトナム
シンガポール
-
Chelsea Clinic
-
Chelsea Clinic Extension
-
Chelsea Asthetics
-
Gangnam Laser Clinic
-
SkinGo! Hougang Mall
-
SkinGo! Jewel Changi Airport
-
SkinGo! Junction 8
-
SkinGo! Jurong Point 2
-
SkinGo! NEX
-
SkinGo! North Point City
-
SkinGo! Pasir Ris Mall
-
SkinGo! Tampines 1
-
SkinGo! Tiong Bahru
-
SkinGo! Plaza Singapura
-
SkinGo! City Square Mall
-
SkinGo! Marina Square
-
SkinGo! Eastpoint
-
SkinGo! Stars of Kovan
-
SkinGo! United Square
-
Wen & Weng Family Clinic
-
Rochor Centre Clinic
様々な科目の専門医・学会会員が
在籍しています
湘南美容クリニックは日本美容外科学会(JSAPS)専門医、日本美容外科学会正会員、日本形成外科学会専門医 、先進医療医師会 参与、日本再生医療学会 理事長補佐、国際美容外科学会(International Society of Aesthetic Plastic Surgery)Active Member、医学博士、厚生労働省認定臨床研修指導医、日本整形外科学会・専門医、日本麻酔科学会認定医、厚生労働省麻酔科標榜医、日本外科学会専門医・正会員、日本胸部外科学会正会員、日本頭蓋顎顔面外科学会会員、日本静脈学会会員医学博士、日本医師会認定産業医、日本抗加齢医学会会員、日本マイクロサージャリー学会会員、GID(性同一性障害)学会会員、日本脂肪吸引学会会員、美容皮膚科学会正会員、日本レーザー治療学会会員などの資格を保有した医師が在籍しております。
当ページは医療広告ガイドラインを遵守し、医師監修のもと掲載しています
SBCメディカルグループでは、2018年6月1日に施行された医療広告ガイドラインを受け、ホームページ上からの体験談の削除を実施しました。また、症例写真を掲載する際には施術の説明、施術のリスク、施術の価格も表示させるようホームページを全面的に修正しております。当ホームページをご覧の患者様、お客様にはご迷惑、ご不便をおかけ致しますが、ご理解のほどよろしくお願い申し上げます。























