美容整形の症例写真(美容整形) 新着
症例写真一覧
表示件数:320135件 / 350135件
若返り / 裏ハムラ法 他 No.362523
目の下のクマを無くす!「疲れ目」から解放されませんか?新潟院なら選べる脱脂・脂肪注入・裏ハムラ!
若返り / 裏ハムラ法 他 No.362522
目の下のクマを無くす!「疲れ目」から解放されませんか?新潟院なら選べる脱脂・脂肪注入・裏ハムラ!
豊胸・バストの修正 / 週末豊胸 -ピュアグラフト-(脂肪注入豊胸) No.362521
脂肪豊胸|ナチュラル脂肪注射第2位!SBC関東エリア症例数(※東京除く)Dr.河邉の豊胸術
AGA薄毛治療 / 自毛植毛 他 No.362520
生え際とモミアゲを植毛術で埋めて、顔の輪郭をシャープにする。(その1)
AGA薄毛治療 / 自毛植毛 他 No.362519
生え際とモミアゲを植毛術で埋めて、顔の輪郭をシャープにする。(その2)
AGA薄毛治療 / 自毛植毛 他 No.362518
生え際とモミアゲを植毛術で埋めて、顔の輪郭をシャープにする。(その3)
AGA薄毛治療 / 自毛植毛 他 No.362517
生え際とモミアゲを植毛術で埋めて、顔の輪郭をシャープにする。(その4)
AGA薄毛治療 / AGA治療薬 他 No.362516
20代男性 AGA薬に加えて毛根再生注射!! 5か月の経過 劇的改善!!
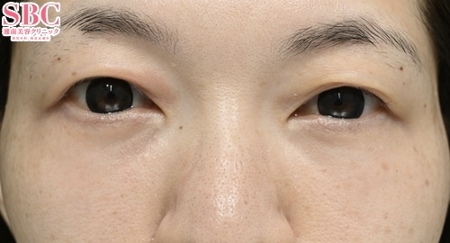
若返り / 目の下の切らないクマ・たるみ(ふくらみ)取り 他 No.362515
【若返り】【クマ取り×脂肪注入】脱脂×脂肪注入で目元の若返りを実現!老け見え解消なら奥医師にお任せ!【施術3ヶ月後】【目の下の切らないクマたるみ取り】【ナチュラル脂肪注射ナノリッチ/コンデンスリッチ】
AGA薄毛治療 / 毛根再生注射 他 No.362514
20代男性、毛根再生注射+エレクトロポレーションメソ+AGA薬内服、3ヶ月後 �A
AGA薄毛治療 / 毛根再生注射 他 No.362513
20代男性、毛根再生注射+エレクトロポレーションメソ+AGA薬内服、3ヶ月後 �@
若返り / 裏ハムラ法 他 No.362512
【指名多数の大人気ドクター】Dr.中川の若返り。ー若い時より美しく若返るー
二重・二重整形 / タルミ取り併用全切開法二重 他 No.362511
中川医師だから出来る垢抜け二重術「切開なのに自然な仕上がり」
二重・二重整形 / タルミ取り併用全切開法二重 他 No.362510
中川医師だから出来る垢抜け二重術「切開なのに自然な仕上がり」
二重・二重整形 / クイックコスメティーク・トリプルNeo No.362509
【SNSからの指名多数!】クイックコスメティーク・トリプルNeoで最小のダウンタイムで、最もきれいな平行二重。平行二重はお任せください
豊胸・バストの修正 / Motivaエルゴノミックス2(バッグ豊胸) No.362508
LAST CALL神ドクター豊胸部門 DR.中村の美バスト症例 ≪シリコンバッグ豊胸(エルゴノミクス2 左右335cc使用)/術前→3ヶ月目≫
二重・二重整形 / クイックコスメティーク・トリプルNeo No.362507
【SNSからの指名多数!】クイックコスメティーク・トリプルNeoで最小のダウンタイムで、最もきれいな平行二重。平行二重はお任せください
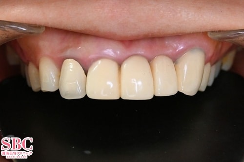
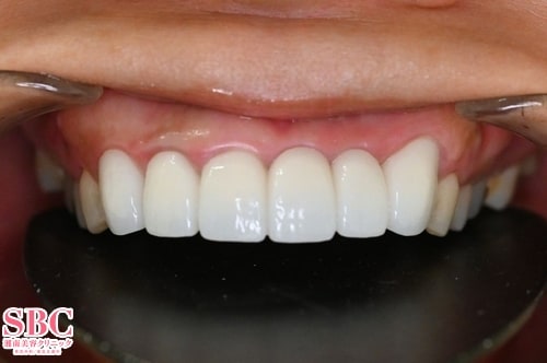
美容歯科 / ダイヤモンドクラウン(ジルコニア) No.362506
【ダイヤモンドクラウン】一気に明るく、華やかに、そして上品に、、、!!
美容歯科 / マウスピース矯正 No.362505
【インビザライン GO】矯正で口の大きさまでも改善できます??
AGA薄毛治療 / 毛根再生注射 他 No.362504
20代男性、毛根再生注射+発毛レーザーFOLIX+AGA治療薬、3ヶ月後


















































