美容整形の症例写真(美容整形) 新着
症例写真一覧
表示件数:320136件 / 350136件
AGA薄毛治療 / 毛根再生注射 他 No.362504
20代男性、毛根再生注射+発毛レーザーFOLIX+AGA治療薬、3ヶ月後
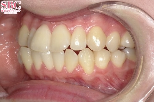
美容歯科 / マウスピース矯正 No.362503
【インビザライン GO】隙間をなくして美しい口元に。
美容歯科 / マウスピース矯正 No.362502
【インビザライン GO】噛み合わせが合っていない笑顔よりも合っている笑顔に!
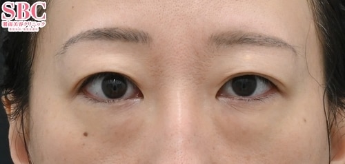
二重・二重整形 / クイックコスメティーク・トリプルNeo No.362501
【名古屋駅本院】クイックコスメティーク症例数中部1位(SBC内2016上期~2025年下期)脳外科出身プレミアムDr.ジュエル高川による緻密に計算された埋没法
美容歯科 / マウスピース矯正 No.362500
【インビザライン GO】ねじれを解消し綺麗な口元に!
アートメイク / 医療アートメイク 他 No.362499
【AGA横浜院】リップアートメイク
AGA薄毛治療 / 自毛植毛 No.362498
お薬で生えない箇所も植毛なら生やせます!
AGA薄毛治療 / スマートFUE植毛 他 No.362497
自毛植毛 100グラフト 40代男性 1年後
美容歯科 / プレミアムダイヤモンドセラミック 他 No.362496
整形シンデレラファイナリスト担当Drが貴方に贈る 「あなたの笑顔を最高の笑顔に。」〜The Perfect Smile〜 ジルコニアダイヤモンドセラミック
AGA薄毛治療 / 自毛植毛 No.362495
お薬の限界は植毛で超えましょう! 1650株。
AGA薄毛治療 / 自毛植毛 No.362494
未完成でもこの密度。生え際1650株。
脂肪吸引 / Aquicell(アキーセル)脂肪吸引 他 No.362493
★最優秀症例8度受賞!150000件以上の圧倒的執刀数 美容外科医歴25年以上の超ベテラン・プレミアムDr.須田陽一が叶える、くびれ!★新宿本院主任医長・脂肪吸引エグゼクティブDr. VASER脂肪吸引認定医☆吸引量・デザインへのこだわり★腹部+ウエスト+腰★1ヶ月後
脂肪吸引 / Aquicell(アキーセル)脂肪吸引 他 No.362492
★最優秀症例8度受賞!150000件以上の圧倒的執刀数 美容外科医歴25年以上の超ベテラン・プレミアムDr.須田陽一が叶える、美脚!★新宿本院主任医長・脂肪吸引エグゼクティブDr. VASER脂肪吸引認定医☆吸引量・デザインへのこだわり★太もも・膝★1ヶ月後
脂肪吸引 / 根こそぎVASER脂肪吸引 No.362491
脂肪吸引で確実に部分痩せして続かないダイエットとサヨナラ!下関院石井院長にぜひお任せください!
脂肪吸引 / 根こそぎVASER脂肪吸引 No.362490
脂肪吸引で確実に部分痩せして続かないダイエットとサヨナラ!下関院石井院長にぜひお任せください!
豊胸・バストの修正 / Aquicell(アキーセル)併用コンデンスリッチ(脂肪注入豊胸) 他 No.362489
■脂肪注入豊胸■ 【 脂肪豊胸症例数 東日本エリア3年連続女医1位 ※2022-24年】安心の女医・多田彩子(一般外科出身)による脂肪注入豊胸都心で経験豊富!要らない脂肪をお胸に移して、コンプレックス解消★
若返り / ナチュラル脂肪注射コンデンスリッチ No.362488
◆◆美容外科専門医 名倉が叶える 美顔術!! へこみを無くして美しい輪郭へ!! ◆脂肪注入(頬)3ヶ月後のお写真
脂肪吸引 / Aquicell(アキーセル)脂肪吸引 他 No.362487
★脂肪吸引症例数4年連続全国No1(2021-2024年)!※SBC内 No.1ドクター 名倉俊輔が叶える、ほっそりした太もも!★秋葉原院院長・他院長歴任 脂肪吸引・ボディーメイク専門 名倉俊輔 VASER脂肪吸引認定医 ☆吸引量・デザインへのこだわり☆ 脂肪吸引の真骨頂!!…
脂肪吸引 / Aquicell(アキーセル)脂肪吸引 他 No.362486
★脂肪吸引症例数4年連続全国No1(2021-2024年)※SBC内!No.1ドクター 名倉俊輔が叶える、ほっそりとした二の腕!★秋葉原院院長・他院長歴任 脂肪吸引・ボディーメイク専門 名倉俊輔 VASER脂肪吸引認定医 ☆吸引量・デザインへのこだわり☆ 脂肪吸引の真骨頂!!…
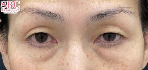
若返り / 眉下リフト(眉下切開) No.362485
◆◆目元切開厳選医師の名倉が叶える -5歳!! 眉下リフト◆◆瞼のたるみでお悩みの方必見!!3ヶ月後のお写真




















































