若返りの症例写真(若返り)
ドクターが選ぶ BEST SHOT AWARD
症例写真一覧
表示件数:52465件 / 346366件
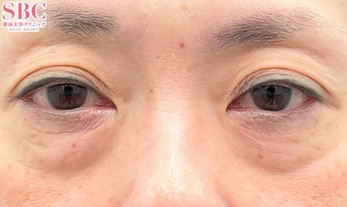
若返り / 裏ハムラ法 No.357937
【裏ハムラ法】【30代】自然に若見えするクマ取りが人気!神奈川県で選ばれる山下医師★SBC公式お薦めドクターに選出されました
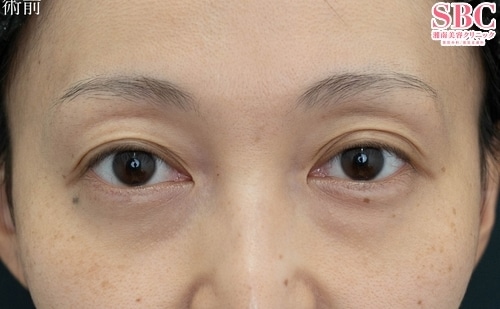
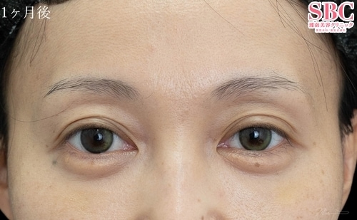
若返り / 目の下の切らないクマ・たるみ(ふくらみ)取り No.352503
【目の下の切らないクマ・たるみ取り+ナチュラル脂肪注射ナノリッチ・ナチュラル脂肪注射コンデンスリッチ】【1ヶ月後】2019年~2023年5年連続でSBC内 関東エリア症例数No.1!千葉センシティ院院長 高橋による若返り術!!老けた顔に見える原因となるクマ…その原因である眼窩…
若返り / 裏ハムラ法 No.355114
【クマ取り】【40代】【クマとたるみを根本改善】裏ハムラ法
若返り / 眉下リフト(眉下切開) No.358276
【眉下リフト】眉下リフトで目元の印象を明るく★瞼の厚みが気になる方は、サラ先生にお任せ★
若返り / 裏ハムラ法 No.358275
【クマ取り】【40代】【クマとたるみを根本改善】裏ハムラ法
若返り / コンデンスリッチフェイス脂肪注入全顔入れ放題 No.356828
【医師が選ぶBest shot Award 脂肪注入症例 優秀賞受賞】【30代/全顔脂肪注入】切らない若返りの神業医師 小泉佑太による若返り術
若返り / 目の下の切らないクマ・たるみ(ふくらみ)取り 他 No.358271
【40代/女性/クマ取り】SBC公式切らない若返りの神業医師 小泉佑太による違和感ゼロのクマ取り
若返り / 目の下の切らないクマ・たるみ(ふくらみ)取り No.358214
★外科医歴20年以上★【岩砂医師の大人気クマ取り!】安心の技術力で目元の若返り!【男性クマ取り(脂肪注入なし)】【術後1ヶ月】
若返り / プリマリフト 他 No.346086
シュッととする若返り整形【脂肪吸引注射、プリマリフト、ヒアルロン酸、術前ー直後ー翌日ー5ヶ月】【藤巻直人医師、美容外科学会認定専門医】【東京秋葉原】【n1402】
若返り / シークレットリフト 他 No.351326
シュッとする整形、若返り、輪郭【脂肪吸引、糸リフト、注射、他、6ヶ月】【藤巻直人医師、美容外科学会認定専門医】【東京秋葉原】【n1500】
若返り / ヒアルロン酸 No.358160
【唇ヒアル】インフルエンサー様から指名多数のヒアルロン酸注射
若返り / 切開ハムラ(表ハムラ)法 No.358145
【外科専門医の若返り切開ハムラ】まつ毛の際から皮膚を切除し、膨らんでいる部分からくぼんでいる部分に眼窩脂肪を移動!外科専門医担当だから傷も最小限でバレにくい切開ハムラ
若返り / 目の下の切らないクマ・たるみ(ふくらみ)取り 他 No.357585
【若返り】★外科医歴20年以上★【岩砂医師の大人気クマ取り!】安心の技術力で目元の若返り!【クマ取り×脂肪注入】【術後1ヶ月】
若返り / 目の下の切らないクマ・たるみ(ふくらみ)取り 他 No.357506
【立川院】【クマ・たるみ改善】クマ改善で-5歳の若返りを実現!
若返り / 裏ハムラ法 No.358098
【目の下のクマ治療】【裏ハムラ】目の下の脂肪を移動させてクマ改善!!レジェンドDr.が認める次世代エース★谷口院長!!
若返り / 裏ハムラ法 No.358094
【裏ハムラ】目の下の眼窩脂肪を移動させクマを改善!八王子院の櫻井医師へお任せください!
若返り / シークレットリフト 他 No.355088
【50代からの若返り♪】かおり先生でマイナス10歳を目指しましょう!
若返り / エグゼクティブスマスフェイスリフト(SMAS切除+リガメント切除+神経刺激装置使用) 他 No.358064
40代女性 エグゼクティブスマスフェイスリフト(SMAS切除+リガメント切除・神経刺激装置使用)+こめかみ&ネックリフト+ベイザー脂肪吸引(ジョールファット・頬・顎下)+バッカルファット切除&つり上げ固定+創傷治癒PRP+MD式+全身麻酔(麻酔専門医管理) 術後1ヶ月
若返り / エグゼクティブスマスフェイスリフト(SMAS切除+リガメント切除+神経刺激装置使用) 他 No.358069
30代男性 エグゼクティブスマスフェイスリフト (スマス切除+リガメント切除・神経刺激装置使用)+コメカミリフト・ネックリフト+ベイザー脂肪吸引(ジョールファット+頬+顎下)+バッカルファット除去+創傷治癒PRP+MD式+全身麻酔(麻酔専門医) 術後6ヶ月
若返り / 眉下リフト(眉下切開) 他 No.358073
50代女性 眉下リフト+roof切除+切開ハムラ+創傷治癒PRP皮膚再生療法 術後3ヶ月後




































































