若返りの症例写真(若返り)
ドクターが選ぶ BEST SHOT AWARD
症例写真一覧
表示件数:52571件 / 346827件
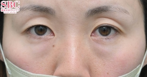
若返り / 裏ハムラ法 No.359107
【300代/女性/クマ取り】SBC公式切らない若返りの神業医師 小泉佑太による違和感ゼロのクマ取り
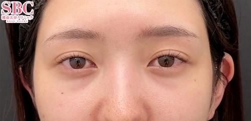
若返り / 裏ハムラ法 No.359100
【若返り】男性・裏ハムラ(クマ取り)【術後3ヶ月】
若返り / ナチュラル脂肪注射コンデンスリッチ No.359087
◆◆美容外科専門医 名倉が叶える 美顔術!! へこみを無くして美しい輪郭へ!! ◆脂肪注入(頬)3ヶ月後のお写真
若返り / 眉下リフト(眉下切開) No.359084
◆◆目元切開厳選医師の名倉が叶える -5歳!! 眉下リフト◆◆瞼のたるみでお悩みの方必見!!3ヶ月後のお写真
若返り / 裏ハムラ法 他 No.359076
【若返り】【20代症例】☆症例数第1位!(アイバックリムーブ/2025年上半期/東日本)☆【裏ハムラ+ナノリッチ】切る・切らない二つの視点からお客様にとって最適な治療を提案します!目の下のたるみ・クマをなくして-5歳に印象チェンジ!【施術後1か月経過】
若返り / エグゼクティブスマスフェイスリフト(SMAS切除+リガメント切除+神経刺激装置使用) 他 No.359068
50代女性 エグゼクティブスマスフェイスリフト(スマス下リガメントフル切除・神経刺激装置使用)+コメカミ&ネックリフト+ベイザー脂肪吸引(ジョールファット・頬・顎下)+創傷治癒PRP+MD式+全身麻酔(麻酔科専門医) 術後3ヶ月
若返り / エグゼクティブスマスフェイスリフト(SMAS切除+リガメント切除+神経刺激装置使用) 他 No.359065
50代女性 エグゼクティブスマスフェイスリフト(スマス下リガメントフル切除・神経刺激装置使用)+コメカミ&ネックリフト+ベイザー脂肪吸引(ジョールファット・頬・顎下)+創傷治癒PRP+MD式+全身麻酔(麻酔科専門医) 術後3ヶ月
若返り / 切開ハムラ(表ハムラ)法 他 No.359064
70代女性 切開ハムラ+PRP皮膚再生療法 術後3ヶ月 編集
若返り / 切開ハムラ(表ハムラ)法 他 No.359062
70代女性 切開ハムラ+PRP皮膚再生療法 術後3ヶ月
若返り / エグゼクティブスマスフェイスリフト(SMAS切除+リガメント切除+神経刺激装置使用) 他 No.359058
50代男性 エグゼクティブスマスフェイスリフト(スマス切除+リガメント切除・神経刺激装置使用)+ネックリフト+バッカルファット+創傷治癒PRP+MD式+全身麻酔(麻酔科専門医) 術後1ヶ月
若返り / エグゼクティブスマスフェイスリフト(SMAS切除+リガメント切除+神経刺激装置使用) 他 No.359057
50代男性 エグゼクティブスマスフェイスリフト(スマス切除+リガメント切除・神経刺激装置使用)+ネックリフト+バッカルファット+創傷治癒PRP+MD式+全身麻酔(麻酔科専門医) 術後1ヶ月
若返り / エグゼクティブスマスフェイスリフト(SMAS切除+リガメント切除+神経刺激装置使用) 他 No.359056
50代女性 エグゼクティブスマスフェイスリフト(スマス切除+リガメント切除・神経刺激装置使用)+コメカミ&ネックリフト+ベイザー脂肪吸引(ジョールファット・頬・顎下)+バッカルファット+創傷治癒PRP+MD式+全身麻酔(麻酔科専門医) 術後6ヶ月
若返り / エグゼクティブスマスフェイスリフト(SMAS切除+リガメント切除+神経刺激装置使用) 他 No.359055
50代女性 エグゼクティブスマスフェイスリフト(スマス切除+リガメント切除・神経刺激装置使用)+コメカミ&ネックリフト+ベイザー脂肪吸引(ジョールファット・頬・顎下)+バッカルファット+創傷治癒PRP+MD式+全身麻酔(麻酔科専門医) 術後6ヶ月
若返り / エグゼクティブスマスフェイスリフト(SMAS切除+リガメント切除+神経刺激装置使用) 他 No.359053
50代女性 エグゼクティブスマスフェイスリフト(スマス切除+リガメント切除・神経刺激装置使用)+コメカミ&ネックリフト+ベイザー脂肪吸引(ジョールファット・頬・顎下)+バッカルファット+創傷治癒PRP+MD式+全身麻酔(麻酔科専門医) 術後6ヶ月
若返り / テスリフト 他 No.359051
【土田式ハリウッド糸リフト】京都で切らない若返り・リフトアップならリテスリフト症例数関西No.2(※)の土田博之医師にお任せ!(SBC内症例数 2025年上半期)
若返り / ナチュラル脂肪注射コンデンスリッチ 他 No.359033
ナチュラル輪郭形成はお任せください!
若返り / 目の下の切らないクマ・たるみ(ふくらみ)取り 他 No.359027
【クマ取り】 岡山なら平田医師!クマ取り名医による目元の若返り / Case 20代
若返り / 裏ハムラ法 他 No.359026
【クマ取り】 岡山なら平田医師!クマ取り名医による目元の若返り / Case 20代
若返り / 裏ハムラ法 他 No.359025
【クマ取り】 岡山なら平田医師!クマ取り名医による目元の若返り / Case 20代
若返り / 裏ハムラ法 他 No.359024
【クマ取り】 岡山なら平田医師!クマ取り名医による目元の若返り / Case 20代































































