若返りの症例写真(若返り)
ドクターが選ぶ BEST SHOT AWARD
症例写真一覧
表示件数:53029件 / 348832件
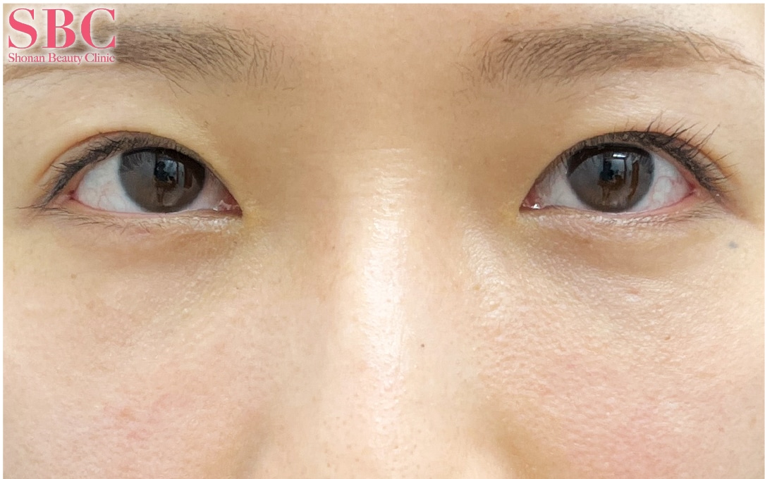
若返り / 裏ハムラ法 No.361248
目の下の切らないクマ治療、裏ハムラ法で圧倒的若返り体験を!
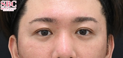
若返り / 裏ハムラ法 他 No.361227
裏ハムラ法
若返り / 裏ハムラ法 他 No.361226
裏ハムラ法
若返り / 裏ハムラ法 他 No.361225
裏ハムラ法
若返り / 目の下の切らないクマ・たるみ(ふくらみ)取り 他 No.361224
目の下の切らないクマ・たるみ取り
若返り / 目の下の切らないクマ・たるみ(ふくらみ)取り 他 No.361222
目の下の切らないクマ・たるみ取り
若返り / 目の下の切らないクマ・たるみ(ふくらみ)取り No.361219
【外科専門医・友池力】★★★結果と美しさにこだわる最高峰のクマ取り術!最小限のダウンタイムやアフターフォローもお客様満足度★★★目の下の切らないクマ取り:20代
若返り / 裏ハムラ法 他 No.361195
【若返り】【30代症例】☆症例数第1位!(アイバックリムーブ/2025年上半期/東日本)☆【裏ハムラ】切る・切らない二つの視点からお客様にとって最適な治療を提案します!目の下のたるみ・クマをなくして-5歳に印象チェンジ!【施術後3か月経過】
若返り / アイバックリムーブ法 他 No.361192
【アイバックリムーブ法症例数全国1位(2025年上半期下半期SBC内)】切るクマ取り+脂肪注入の若返り術!
若返り / アイバックリムーブ法 他 No.361185
【アイバックリムーブ法症例数全国1位(2025年上半期・下半期SBC内)】切るクマ取り+脂肪注入の若返り術!
若返り / ヒアルロン酸ジュビダームビスタ バイクロスシリーズ 他 No.361176
【ヒアルロン酸】ほうれい線改善!
若返り / ナチュラル脂肪注射コンデンスリッチ No.361158
◆◆美容外科専門医 名倉が叶える 美顔術!! へこみを無くして美しい輪郭へ!! ◆脂肪注入(額)1ヶ月後のお写真
若返り / 眉下リフト(眉下切開) No.361155
◆◆目元切開厳選医師の名倉が叶える -5歳!! 眉下リフト◆◆瞼のたるみでお悩みの方必見!!3ヶ月後のお写真
若返り / ナチュラル脂肪注射コンデンスリッチ 他 No.361154
◆◆美容外科専門医 名倉が叶える -5歳!! 目の下のたるみ取り+脂肪注入(目の下~ゴルゴ線)◆◆目の下のぷっくり、クマでお悩みの方必見!!◆3ヶ月後のお写真
若返り / プリマリフト No.361153
◆◆美容外科専門医 名倉が叶える小顔術!!糸リフト6年連続全国1位 (2019年~2024年)!※SBC内◆◆プリマリフト+脂肪吸引(頬+顎下)◆ 1年4ヶ月後のお写真
若返り / ナチュラル脂肪注射コンデンスリッチ No.361128
◆◆美容外科専門医 名倉が叶える 美顔術!! へこみを無くして美しい輪郭へ!! ◆脂肪注入(頬)1ヶ月後のお写真
若返り / 眉下リフト(眉下切開) No.361123
◆◆目元切開厳選医師の名倉が叶える -5歳!! 眉下リフト◆◆瞼のたるみでお悩みの方必見!!3ヶ月後のお写真
若返り / ナチュラル脂肪注射コンデンスリッチ 他 No.361122
◆◆美容外科専門医 名倉が叶える -5歳!! 目の下のたるみ取り+脂肪注入(目の下~ゴルゴ線)◆◆目の下のぷっくり、クマでお悩みの方必見!!◆3ヶ月後のお写真
若返り / プリマリフト No.361121
◆◆美容外科専門医 名倉が叶える小顔術!!糸リフト6年連続全国1位 (2019年~2024年)!※SBC内◆◆プリマリフト+脂肪吸引(頬+顎下)◆ 1ヶ月後のお写真
若返り / 裏ハムラ法 他 No.361103
【クマ取り】【ハムラ法】膨らんだ「眼窩脂肪」を凹みに移動してクマ解消!老け見え解消なら奥医師にお任せ!【施術3ヶ月後】【裏ハムラ法×ナノリッチ】































































