症例写真(森正徳)
症例写真一覧
表示件数:169件 / 351616件
豊胸・バストの修正 / コンデンスリッチ(脂肪注入豊胸) No.363737
【元・大学病院形成外科講師】形成外科専門医モリゾーが執刀するコンデンスリッチ豊胸
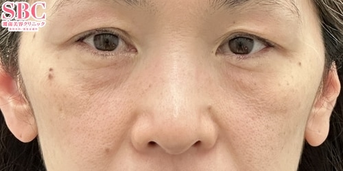
若返り / 裏ハムラ法 No.361028
【元・大学病院形成外科講師】形成外科専門医モリゾーが執刀する裏ハムラ
二重・二重整形 / タルミ取り併用全切開法二重 No.361218
【元・大学病院形成外科講師】形成外科専門医モリゾーが執刀する全切開他院修正
二重・二重整形 / タルミ取り併用全切開法二重 他 No.357392
【元・大学病院形成外科講師】形成外科専門医モリゾーが執刀するタルミ取り併用全切開+眼瞼下垂
二重・二重整形 / タルミ取り併用全切開法二重 他 No.357116
【元・大学病院形成外科講師】形成外科専門医モリゾーが執刀するタルミ取り併用全切開+眼瞼下垂
脂肪吸引 / 小顔用脂肪吸引注射 No.364034
【元・大学病院形成外科講師】形成外科モリゾーが執刀する脂肪吸引注射
若返り / 裏ハムラ法 No.363972
【元・大学病院形成外科講師】形成外科専門医モリゾーが執刀する裏ハムラ
二重・二重整形 / クイックコスメティーク・ダブルNeo No.363971
【元・大学病院形成外科講師】形成外科専門医モリゾーが執刀するクイックコスメティーク・ダブルNeo
若返り / ナチュラル脂肪注射コンデンスリッチ No.363940
【元・大学病院形成外科講師】形成外科専門医モリゾーが執刀するコンデンスリッチ脂肪注入
二重・二重整形 / クイックコスメティーク・ダブルNeo No.363939
【元・大学病院形成外科講師】形成外科専門医モリゾーが執刀するクイックコスメティーク・ダブルNeo
脂肪吸引 / 根こそぎVASER脂肪吸引 No.363735
【元・大学病院形成外科講師】形成外科専門医モリゾーが執刀するVASER脂肪吸引
若返り / 裏ハムラ法 No.363664
【元・大学病院形成外科講師】形成外科専門医モリゾーが執刀する裏ハムラ
若返り / ナチュラル脂肪注射コンデンスリッチ No.363256
【元・大学病院形成外科講師】形成外科専門医モリゾーが執刀するコンデンスリッチ脂肪注入(額〜こめかみ)
脂肪吸引 / 根こそぎVASER脂肪吸引 No.363194
【元・大学病院形成外科講師】形成外科専門医モリゾーが執刀するVASER脂肪吸引
二重・二重整形 / フォーエバー二重術(R) No.362394
【元・大学病院形成外科講師】形成外科専門医モリゾーが執刀するフォーエバー二重術
若返り / 裏ハムラ法 No.362075
【元・大学病院形成外科講師】形成外科専門医モリゾーが執刀する裏ハムラ
わきが・多汗症 / ベイザーシェービング法 No.361385
【元・大学病院形成外科講師】形成外科専門医が執刀するベイザーシェービング法
わきが・多汗症 / ベイザーシェービング法 No.361384
【元・大学病院形成外科講師】形成外科専門医が執刀するベイザーシェービング法
若返り / 眉下リフト(眉下切開) No.361296
【元・大学病院形成外科講師】形成外科専門医モリゾーが執刀する眉下リフト(眉下切開)
若返り / 裏ハムラ法 No.361290
【元・大学病院形成外科講師】形成外科専門医モリゾーが執刀する裏ハムラ










































