若返りの症例写真(若返り) 新着
ドクターが選ぶ BEST SHOT AWARD
症例写真一覧
表示件数:52535件 / 346653件
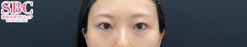
若返り / ナチュラル脂肪注射コンデンスリッチ 他 No.357708
◆◆美容外科専門医 名倉が叶える -5歳!! 目の下のたるみ取り+脂肪注入(目の下~ゴルゴ線)◆◆目の下のぷっくり、クマでお悩みの方必見!!◆1年3ヶ月後のお写真
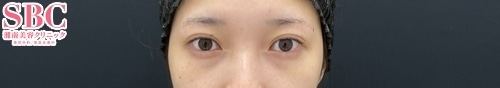
若返り / プリマリフト No.357707
◆◆美容外科専門医 名倉が叶える小顔術!!糸リフト6年連続全国1位 (2019年~2024年)!※SBC内◆◆プリマリフト+脂肪吸引(頬+顎下)◆7ヶ月後のお写真
若返り / 裏ハムラ法 No.357695
【若返り】【30代症例】☆症例数第1位!(アイバックリムーブ/2025年上半期/東日本)☆【裏ハムラ】切る・切らない二つの視点からお客様にとって最適な治療を提案します!目の下のたるみ・クマをなくして-5歳に印象チェンジ!【施術後1か月経過】
若返り / テスリフト 他 No.357676
【糸リフトSBC公式おすすめDr/テスリフトSBC内症例数中部No1※】【20代/糸リフト】切らない小顔のプロフェッショナル小泉による劇的Before&after ※2025年上半期
若返り / 裏ハムラ法 他 No.357663
【2019.01〜2024上半期[4年半連続]裏ハムラ法(再発しにくいクマ取り)症例数 全国No.1!(SBC内)】目の下の膨らみを改善!40代前半 裏ハムラ法+結膜ミッドフェイスリフト 術後1ヶ月目 栄院院長中野施術
若返り / 裏ハムラ法 No.357662
【裏ハムラ】表面に傷跡が残る心配無し!目の下のクマ・色味改善なら大分院の庄院長へ!
若返り / ナチュラル脂肪注射コンデンスリッチ No.357657
◆◆美容外科専門医 名倉が叶える 美顔術!! へこみを無くして美しい輪郭へ!! ◆脂肪注入(頬)7ヶ月後のお写真
若返り / シークレットリフト No.357653
【若返りMuse】もえか先生の若返り術|お客様一人ひとりに合わせたパーソナルプランで自然な若返り?
若返り / 眉下リフト(眉下切開) No.357652
◆◆目元切開厳選医師の名倉が叶える -5歳!! 眉下リフト◆◆瞼のたるみでお悩みの方必見!!3ヶ月後のお写真
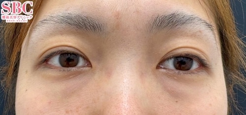
若返り / ナチュラル脂肪注射コンデンスリッチ 他 No.357651
◆◆美容外科専門医 名倉が叶える -5歳!! 目の下のたるみ取り+脂肪注入(目の下~ゴルゴ線)◆◆目の下のぷっくり、クマでお悩みの方必見!!◆1ヶ月後のお写真
若返り / プリマリフト No.357649
◆◆美容外科専門医 名倉が叶える小顔術!!糸リフト6年連続全国1位 (2019年~2024年)!※SBC内◆◆プリマリフト+脂肪吸引(頬+顎下)◆2ヶ月後のお写真
若返り / テスリフト 他 No.357634
【土田式ハリウッド糸リフト】京都で切らない若返り・リフトアップならリテスリフト症例数関西No.2(※)の土田博之医師にお任せ!(SBC内症例数 2025年上半期)
若返り / 目の下の切らないクマ・たるみ(ふくらみ)取り 他 No.357622
外科専門医による目元の印象を変える若返り術
若返り / 目の下の切らないクマ・たるみ(ふくらみ)取り 他 No.357619
外科専門医による目元の印象を変える若返り術
若返り / 裏ハムラ法 No.357614
【クマ取り 症例件数No.2の実績】綺麗な仕上がりなら茂木先生にお任せ☆ ※2025上期 SBC内中四国
若返り / 目の下の切らないクマ・たるみ(ふくらみ)取り 他 No.357611
【若返りmuse】二子玉川院院長の青柳萌花による目の下の切らないクマたるみ取り★若々しい目元に!
若返り / 切開ハムラ(表ハムラ)法 No.357608
【脂肪吸引】女性・眉下リフト、切開ハムラ、ナチュラル脂肪注射ナノリッチ【術後3ヶ月】
若返り / ナチュラル脂肪注射コンデンスリッチ 他 No.357604
目の下のクマを無くす!「疲れ目」から解放されませんか?新潟院なら選べる脱脂・脂肪注入・裏ハムラ!
若返り / ナチュラル脂肪注射コンデンスリッチ 他 No.357603
目の下のクマを無くす!「疲れ目」から解放されませんか?新潟院なら選べる脱脂・脂肪注入・裏ハムラ!
若返り / ナチュラル脂肪注射コンデンスリッチ 他 No.357602
目の下のクマを無くす!「疲れ目」から解放されませんか?新潟院なら選べる脱脂・脂肪注入・裏ハムラ!


































































