湘南美容の約束 湘南美容の約束

症例写真(進藤彰人、若返り)

症例写真一覧

表示件数:125件 / 346140件

若返り / シークレットリフト 他 No.347850

施術前

施術後1ヶ月後

黄金比に基づいた若返り術◆SBC公認糸リフト関東おすすめドクターの「自然」かつ「しっかり引き上げる」糸リフト!引き上げ具合を自分で決められる「オーダーメイドリフトアップ」で肌を切らずに若返り

施術担当:進藤彰人 医師

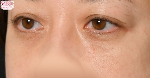
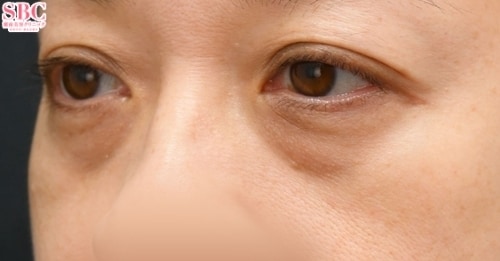
若返り / 目の下の切らないクマ・たるみ(ふくらみ)取り 他 No.347824

施術前

施術後3ヶ月後

【美しい仕上がりで紹介多数】北千住院院長の進藤彰人医師による目の下の切らないクマたるみ取り+脂肪注入☆目の下・ゴルゴ・額・こめかみへの脂肪注入で-10歳若返り!

施術担当:進藤彰人 医師

若返り / シークレットリフト 他 No.347818

施術前

施術後1週間後

黄金比に基づいた若返り術◆SBC公認糸リフト関東おすすめドクターの「自然」かつ「しっかり引き上げる」糸リフト!引き上げ具合を自分で決められる「オーダーメイドリフトアップ」で肌を切らずに若返り

施術担当:進藤彰人 医師

若返り / プリマリフト No.234933

施術前

施術後術直後

若返り症例多数 ベテランDr進藤による小顔&たるみ改善の糸リフト手術!(手術直後)

施術担当:進藤彰人 医師

若返り / シークレットリフト No.234165

施術前

施術後1週間後

若返り症例多数 ベテランDr進藤による小顔&たるみ改善の糸リフト手術!(手術1週間後)

施術担当:進藤彰人 医師

若返り / シークレットリフト 他 No.225958

施術前

施術後術直後

「娘の涙袋ヒアルロン酸を担当してくれた先生にお願いしたい! 顔のたるみをなくしたいです!」

施術担当:進藤彰人 医師

若返り / シークレットリフト 他 No.358179

施術前

施術後1ヶ月後

【50代の糸リフト】凹んだゴルゴライン、たるみフェイスラインを自然に改善!引き上げ具合を自分で決められる「オーダーメイドリフトアップ」で肌を切らずに若返り

施術担当:進藤彰人 医師

若返り / 目の下の切らないクマ・たるみ(ふくらみ)取り 他 No.357173

施術前

施術後3ヶ月後

【美しい仕上がりで紹介多数】北千住院院長の進藤彰人医師による目の下の切らないクマたるみ取り+脂肪注入☆目の下・ゴルゴへの脂肪注入でコンシーラーいらずの目元へ【50代のクマ取り】

施術担当:進藤彰人 医師

若返り / ナチュラル脂肪注射コンデンスリッチ No.356101

施術前

施術後1ヶ月後

まるいおでこで優しげな印象に【脂肪注入、コンデンスリッチ、額こめかみ】

施術担当:進藤彰人 医師

若返り / 目の下の切らないクマ・たるみ(ふくらみ)取り 他 No.355935

施術前

施術後1ヶ月後

【美しい仕上がりで紹介多数】北千住院院長の進藤彰人医師による目の下の切らないクマたるみ取り+脂肪注入☆目の下・ゴルゴラインへの脂肪注入で疲れ見え解消!【20代のクマ取り】

施術担当:進藤彰人 医師

若返り / 眉下リフト(眉下切開) 他 No.355650

施術前

施術後3ヶ月後

目周り若返り複合治療【眉下切開+クマ取り+埋没二重+脂肪注入】しっかり、かつ自然に若返るようにこだわっております。

施術担当:進藤彰人 医師

若返り / 眉下リフト(眉下切開) No.354570

施術前

施術後1ヶ月後

額のシワ、目の開きの悪さが原因でした。目の開きを改善して額のシワ&目の開き改善 【50代のたるみ取り】

施術担当:進藤彰人 医師

若返り / シークレットリフト 他 No.354039

施術前

施術後1ヶ月後

【20代の糸リフト】ほうれい線、たるみフェイスラインを自然に改善!引き上げ具合を自分で決められる「オーダーメイドリフトアップ」で肌を切らずに若返り

施術担当:進藤彰人 医師

若返り / シークレットリフト 他 No.354035

施術前

施術後1ヶ月後

【50代の糸リフト】頬のたるんだ脂肪を自然に持ち上げる。引き上げ具合を自分で決められる「オーダーメイドリフトアップ」で肌を切らずに若返り

施術担当:進藤彰人 医師

若返り / VOV(ボブ)リフト 他 No.354033

施術前

施術後1ヶ月後

【40代の糸リフト】凹んだゴルゴライン、たるみフェイスラインを自然に改善!引き上げ具合を自分で決められる「オーダーメイドリフトアップ」で肌を切らずに若返り

施術担当:進藤彰人 医師

若返り / シークレットリフト 他 No.353493

施術前

施術後1ヶ月後

【40代糸リフト】黄金比に基づいた若返り術◆SBC公認糸リフト関東おすすめドクターの「自然」かつ「しっかり引き上げる」糸リフト!引き上げ具合を自分で決められる「オーダーメイドリフトアップ」で肌を切らずに若返り

施術担当:進藤彰人 医師

若返り / VOV(ボブ)リフト No.353477

施術前

施術後1週間後

【40代糸リフト】黄金比に基づいた若返り術◆SBC公認糸リフト関東おすすめドクターの「自然」かつ「しっかり引き上げる」糸リフト!引き上げ具合を自分で決められる「オーダーメイドリフトアップ」で肌を切らずに若返り

施術担当:進藤彰人 医師

若返り / コンデンスリッチフェイス法(額・こめかみ脂肪注入) No.352876

施術前

施術後3ヶ月後

【180度全方向症例掲載】北千住院院長の進藤彰人医師による額・こめかみへの脂肪注入!痩せ型た額を自然にふっくらします

施術担当:進藤彰人 医師

若返り / 眉下リフト(眉下切開) No.352804

施術前

施術後3ヶ月後

目の開きを改善して-5歳見え!! 眉下リフトで隠れていた二重が現れる【50代のたるみ取り】

施術担当:進藤彰人 医師

若返り / 眉下リフト(眉下切開) No.352113

施術前

施術後6ヶ月後

目の開きを改善して-5歳見え!! 眉下リフトで目の開きが圧倒的に変わります【40代】

施術担当:進藤彰人 医師