症例写真(高山真実)
症例写真一覧
表示件数:91件 / 349963件
若返り / 目の下の切らないクマ・たるみ(ふくらみ)取り 他 No.362136
【若返り】【クマ治療】【ダウンタイム公開】最小限のダウンタイムを実感!【池袋東口院】高山Drクマ取り治療★
若返り / 目の下の切らないクマ・たるみ(ふくらみ)取り 他 No.361023
【目の下のクマ取り】【術後1ヶ月経過】【池袋東口院】池袋でクマ取りするなら高山医師にお任せください!
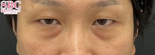
若返り / アイバックリムーブ法 他 No.359987
【目元若返り・クマ治療】【術後1ヶ月経過】【池袋東口院】「切開あり(アイバックリムーブ法)」で疲れ顔卒業!口コミ・紹介で人気の高山医師にお任せください!
医療ダイエット / クールスカルプティング(R)・ エリート(クルスカダブル) No.337073
【クルスカダブル10エリア+整減漢モニター】厚生労働省認定!米国でも大人気の医療ダイエットで理想の体型へ!
若返り / 目の下の切らないクマ・たるみ(ふくらみ)取り 他 No.335766
【目元若返り・クマ治療】【八王子院】目の下の切らないたるみ取りですっきり若々しい目元に★☆高山真実医師によるオーダーメイドクマ治療!
若返り / 眉下リフト(眉下切開) 他 No.335737
【目元若返り】【八王子院】目の下のクマ取り+眉下リフトですっきり若々しい目元に★☆高山真実医師による目元の若返り治療!
脂肪吸引 / 小顔用脂肪吸引注射 No.335730
【若返り・フェイスライン】【八王子院】もたつき感を一気に解消!自然なリフトアップで逆たまご型フェイスラインを実現★☆高山真実医師による脂肪吸引注射+糸リフト
若返り / 目の下の切らないクマ・たるみ(ふくらみ)取り 他 No.335421
【目元若返り・クマ治療】【八王子院】目の下の切らないたるみ取りですっきり若々しい目元に★☆高山真実医師によるオーダーメイドクマ治療!
若返り / 目の下の切らないクマ・たるみ(ふくらみ)取り 他 No.335418
【目元若返り・クマ治療】【八王子院】目の下の切らないたるみ取りですっきり若々しい目元に★☆高山真実医師によるオーダーメイドクマ治療!
若返り / 裏ハムラ法 No.334631
【目元若返り・クマ治療】【八王子院】人気治療「裏ハムラ法」ですっきり若々しい目元に★☆高山真実医師によるオーダーメイドクマ治療!
若返り / 裏ハムラ法 No.334627
【目元若返り・クマ治療】【八王子院】人気治療「裏ハムラ法」ですっきり若々しい目元に★☆高山真実医師によるオーダーメイドクマ治療!
若返り / 裏ハムラ法 No.334626
【目元若返り・クマ治療】【八王子院】人気治療「裏ハムラ法」ですっきり若々しい目元に★☆高山真実医師によるオーダーメイドクマ治療!
若返り / 目の下の切らないクマ・たるみ(ふくらみ)取り 他 No.332607
【目元若返り・クマ治療】【八王子院】目の下の切らないたるみ取りですっきり若々しい目元に★☆高山真実医師によるオーダーメイドクマ治療!
二重・二重整形 / クイックコスメティーク・ダブルNeo 他 No.332487
【二重・二重整形】【八王子院】本来の可愛さ・美しさを引き出す!高山真実医師によるオーダーメイド二重術★☆
若返り / VOV(ボブ)リフト 他 No.332439
【若返り・フェイスライン】【八王子院】もたつき感を一気に解消!自然なリフトアップで逆たまご型フェイスラインを実現★☆高山真実医師によるオーダーメイド糸リフト!
若返り / VOV(ボブ)リフト 他 No.332437
【若返り・フェイスライン】【八王子院】もたつき感を一気に解消!自然なリフトアップで逆たまご型フェイスラインを実現★☆高山真実医師によるオーダーメイド糸リフト!
二重・二重整形 / クイックコスメティーク・ダブルNeo No.332322
【二重・二重整形】【八王子院】本来の可愛さ・美しさを引き出す!高山真実医師によるオーダーメイド二重術★☆
二重・二重整形 / フォーエバー二重術(R) 他 No.332318
【二重・二重整形】【八王子院】本来の可愛さ・美しさを引き出す!高山真実医師によるオーダーメイド二重術★☆
若返り / シークレットリフト 他 No.332015
【若返り・フェイスライン】【八王子院】もたつき感を一気に解消!自然なリフトアップで逆たまご型フェイスラインを実現★☆高山真実医師によるオーダーメイド糸リフト!
若返り / VOV(ボブ)リフト 他 No.331450
【若返り・フェイスライン】【八王子院】もたつき感を一気に解消!自然なリフトアップで逆たまご型フェイスラインを実現★☆高山真実医師によるオーダーメイド糸リフト!










































